Jak skutecznie leczyć zapalenie dziąseł i uniknąć bólu
Skuteczne metody na zapalenie dziąseł jak leczyć, aby uniknąć bólu i poprawić zdrowie jamy ustnej. Sprawdź nasze sprawdzone porady!
Jak skutecznie leczyć zapalenie dziąseł i uniknąć bólu
Skuteczne metody na zapalenie dziąseł jak leczyć, aby uniknąć bólu i poprawić zdrowie jamy ustnej. Sprawdź nasze sprawdzone porady!
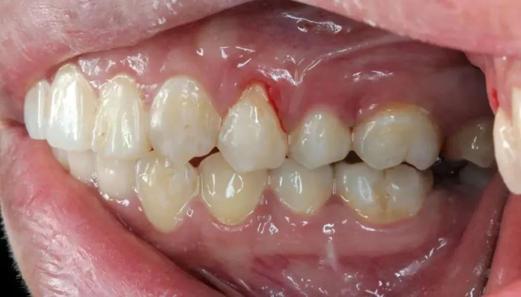
Jak skutecznie leczyć zapalenie dziąseł i uniknąć poważnych problemów
Skuteczne metody na zapalenie dziąseł co robić? Poznaj sprawdzone techniki leczenia, domowe sposoby i zalecenia, aby uniknąć poważnych problemów zdrowotnych.