
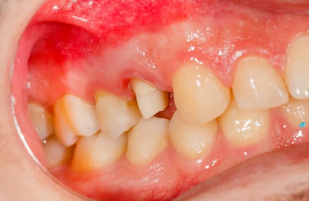
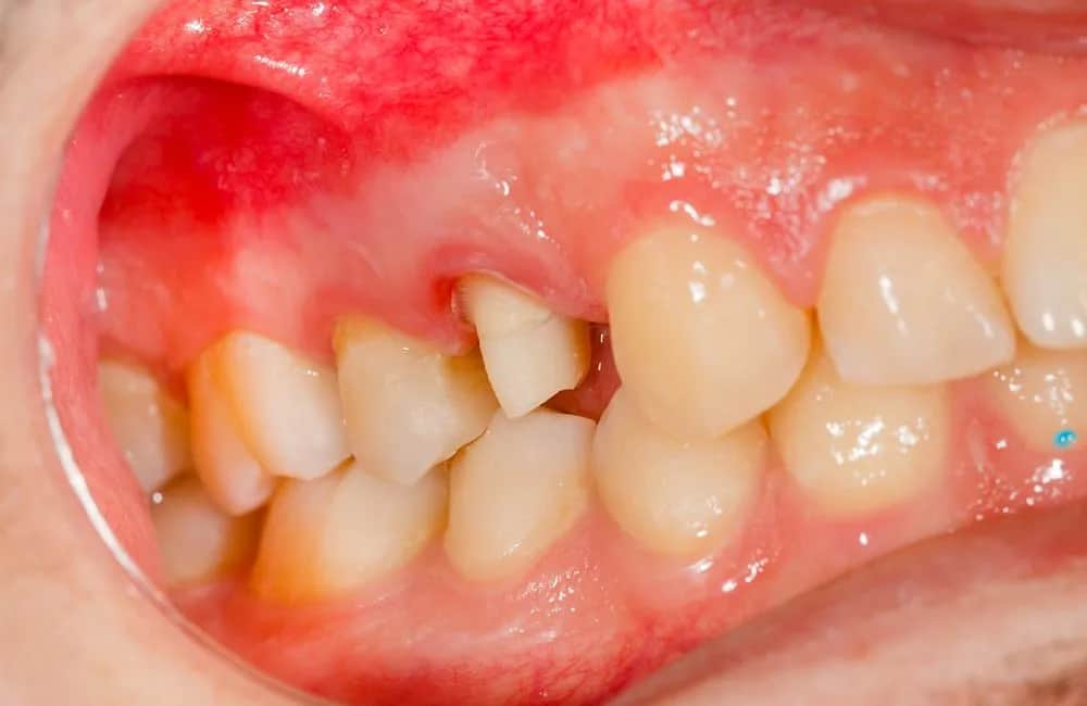
Poznaj skuteczne metody na krwawiące dziąsła. Dowiedz się, co na krwawiące dziąsła, jakie są przyczyny i jak je leczyć, aby cieszyć się zdrowiem jamy ustnej.
Jestem Klara Mróz, specjalistka w dziedzinie zdrowia z ponad 10-letnim doświadczeniem w pracy z pacjentami oraz w edukacji zdrowotnej. Ukończyłam studia z zakresu dietetyki oraz zdrowia publicznego, co pozwoliło mi zdobyć solidną wiedzę na temat wpływu diety i stylu życia na ogólne samopoczucie. Moja pasja do zdrowego stylu życia skłoniła mnie do specjalizacji w zakresie profilaktyki zdrowotnej oraz holistycznego podejścia do zdrowia, co staram się przekazywać poprzez moje artykuły. Wierzę, że każda osoba zasługuje na dostęp do rzetelnych informacji, które mogą pomóc w podejmowaniu świadomych decyzji dotyczących zdrowia. Pisząc dla fabrykausmiechu-leczna.pl, dążę do inspirowania innych do wprowadzenia pozytywnych zmian w ich życiu. Moim celem jest nie tylko dostarczanie wartościowych treści, ale także budowanie zaufania poprzez dokładne badania i weryfikację informacji, które przedstawiam.

Poznaj skuteczne metody na krwawiące dziąsła. Dowiedz się, co na krwawiące dziąsła, jakie są przyczyny i jak je leczyć, aby cieszyć się zdrowiem jamy ustnej.

Skuteczne sposoby na leczenie aft na dziąśle jak leczyć, łagodzenie bólu i przyspieszanie gojenia. Sprawdź nasze sprawdzone metody i ciesz się zdrowiem!

Pozbądź się ropy z dziąseł skutecznie i uniknij poważnych komplikacji zdrowotnych. Sprawdź, jak dbać o zdrowie jamy ustnej i zapobiegać infekcjom.

Zidentyfikuj objawy zapalenia dziąseł u dziecka, które mogą zaniepokoić rodziców. Dowiedz się, jak rozpoznać i reagować na te niepokojące sygnały.

Skuteczne metody na stan zapalny dziąseł, które przyniosą ulgę. Poznaj leki, zioła i domowe sposoby, aby zadbać o zdrowie swoich dziąseł.

Ząb 6 ile kanałów? Dowiedz się, ile kanałów ma ten kluczowy ząb trzonowy oraz jakie czynniki wpływają na ich liczbę. Sprawdź zaskakujące fakty!

Czy aparat retencyjny wyprostuje zęby? Dowiedz się, jak retainery stabilizują zęby po leczeniu ortodontycznym i zapobiegają ich przemieszczeniu.

Poznaj, jak wygląda przerost dziąseł, jego objawy i zmiany. Dowiedz się, co musisz wiedzieć o tym schorzeniu i jak dbać o zdrowie jamy ustnej.

Poznaj objawy suchości w jamie ustnej w nocy i dowiedz się, co mogą one oznaczać dla Twojego zdrowia. Zrozum przyczyny i skutki tego problemu.

Która szczoteczka lepsza: soniczna czy elektryczna? Sprawdź, jakie są różnice i wybierz najlepszą opcję dla swojej higieny jamy ustnej.