
Szukasz najlepszej szczoteczki do zębów? Porównaj soniczne i magnetyczne szczoteczki, aby dowiedzieć się, która lepiej dba o Twoje zęby!
Jestem Klara Mróz, specjalistka w dziedzinie zdrowia z ponad 10-letnim doświadczeniem w pracy z pacjentami oraz w edukacji zdrowotnej. Ukończyłam studia z zakresu dietetyki oraz zdrowia publicznego, co pozwoliło mi zdobyć solidną wiedzę na temat wpływu diety i stylu życia na ogólne samopoczucie. Moja pasja do zdrowego stylu życia skłoniła mnie do specjalizacji w zakresie profilaktyki zdrowotnej oraz holistycznego podejścia do zdrowia, co staram się przekazywać poprzez moje artykuły. Wierzę, że każda osoba zasługuje na dostęp do rzetelnych informacji, które mogą pomóc w podejmowaniu świadomych decyzji dotyczących zdrowia. Pisząc dla fabrykausmiechu-leczna.pl, dążę do inspirowania innych do wprowadzenia pozytywnych zmian w ich życiu. Moim celem jest nie tylko dostarczanie wartościowych treści, ale także budowanie zaufania poprzez dokładne badania i weryfikację informacji, które przedstawiam.

Szukasz najlepszej szczoteczki do zębów? Porównaj soniczne i magnetyczne szczoteczki, aby dowiedzieć się, która lepiej dba o Twoje zęby!

Zastanawiasz się, która szczoteczka lepiej dba o zęby? Porównaj szczoteczkę soniczną czy zwykłą i wybierz najlepszą dla swojego zdrowia jamy ustnej.

Dowiedz się, jak prawidłowo ładować szczoteczkę soniczną DermoFuture. Proste kroki, porady i wskazówki, aby zapewnić jej długotrwałe działanie.

Dowiedz się, jak odbudować florę bakteryjną w jamie ustnej, aby poprawić zdrowie zębów i zapobiegać problemom zdrowotnym.

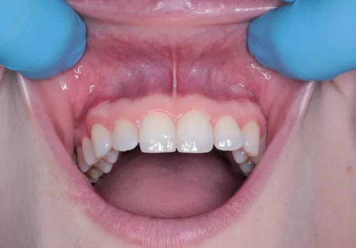
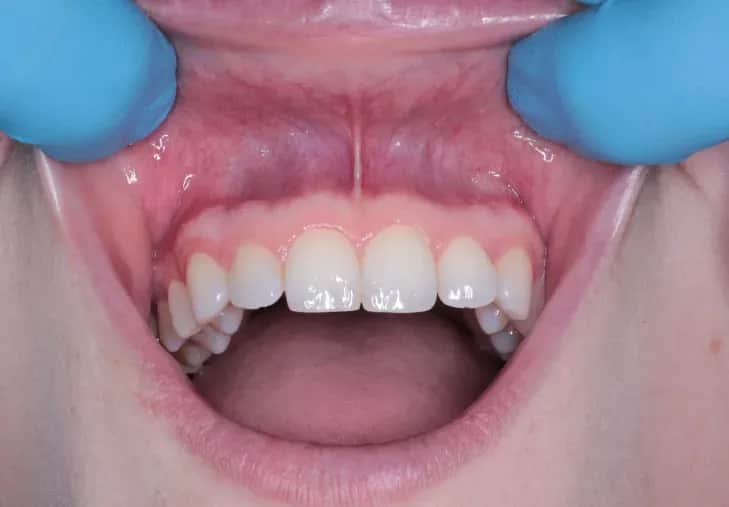
Poznaj, jak wyglądają zdrowe dziąsła i jakie cechy je charakteryzują. Dowiedz się, jak uniknąć problemów zdrowotnych związanych z jamą ustną.

Dowiedz się, kiedy pierwsze zęby u dziecka się pojawiają. Poznaj objawy ząbkowania oraz skuteczne metody łagodzenia dyskomfortu.

Poznaj przyczyny zapalenia dziąseł od czego i dowiedz się, jak skutecznie unikać problemów z dziąsłami oraz zadbać o zdrowie jamy ustnej.

Poznaj objawy HPV w jamie ustnej, ich charakterystykę oraz dowiedz się, jak reagować na niepokojące zmiany. Dbaj o zdrowie jamy ustnej!

Dowiedz się, czym płukać jamę ustną, aby skutecznie zwalczyć stany zapalne. Odkryj naturalne i komercyjne płukanki, które poprawią Twoje zdrowie jamy ustnej.

Krwawienie po wyrwaniu zęba jak długo trwa? Dowiedz się, kiedy jest to normalne, a kiedy może wskazywać na powikłania wymagające interwencji.