
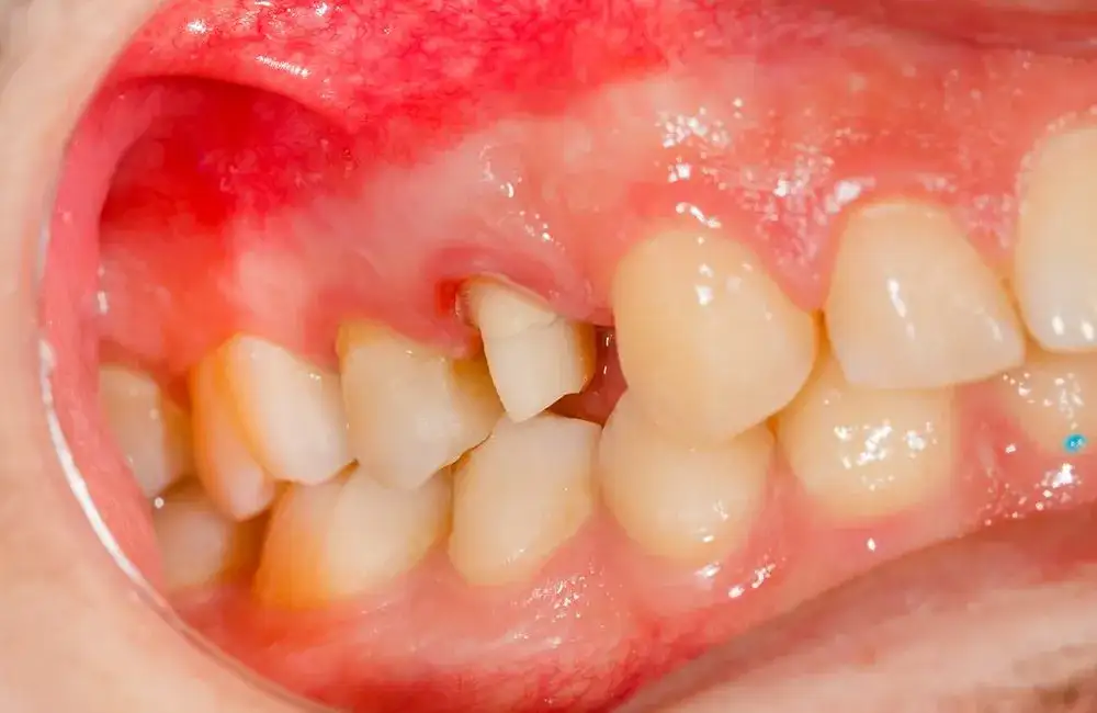
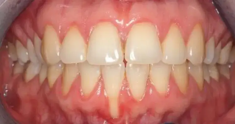
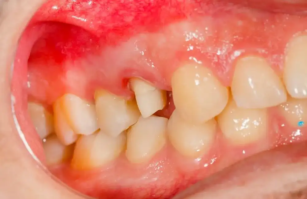
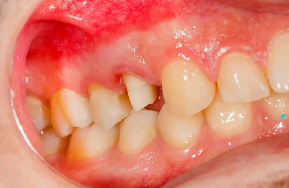
Jak pozbyć się ropy z dziąseł i uniknąć poważnych komplikacji
Klara Mróz
•5 października 2025
Witaj w Fabryce Uśmiechu – miejscu, gdzie pasjonaci zdrowia dzielą się swoją wiedzą i doświadczeniem. Nasz blog to zbiorowisko różnorodnych autorów, którzy poruszają tematy związane z zdrowiem, wellness oraz zdrowym stylem życia. Znajdziesz tu rzetelne informacje, praktyczne porady oraz inspirujące artykuły, które pomogą Ci poprawić samopoczucie i wprowadzić pozytywne zmiany w swoim życiu. Zachęcamy do eksploracji naszych treści, które są tworzone z myślą o Twoim zdrowiu i dobrym samopoczuciu. Dołącz do naszej społeczności i odkryj, jak łatwo można zadbać o siebie!

Zidentyfikuj objawy zapalenia dziąseł u dziecka, które mogą zaniepokoić rodziców. Dowiedz się, jak rozpoznać i reagować na te niepokojące sygnały.
Zidentyfikuj objawy zapalenia dziąseł u dziecka, które mogą zaniepokoić rodziców. Dowiedz się, jak rozpoznać i reagować na te niepokojące sygnały.
Skuteczne metody na stan zapalny dziąseł, które przyniosą ulgę. Poznaj leki, zioła i domowe sposoby, aby zadbać o zdrowie swoich dziąseł.
Ząb 6 ile kanałów? Dowiedz się, ile kanałów ma ten kluczowy ząb trzonowy oraz jakie czynniki wpływają na ich liczbę. Sprawdź zaskakujące fakty!
Czy aparat retencyjny wyprostuje zęby? Dowiedz się, jak retainery stabilizują zęby po leczeniu ortodontycznym i zapobiegają ich przemieszczeniu.
Ząbkowanie górnych jedynek to ważny etap. Dowiedz się, jak wyglądają dziąsła u niemowlaka i jakie objawy mogą wystąpić podczas tego procesu.
Ile kosztuje przeszczep dziąsła? Sprawdź ceny w Polsce oraz różnice między klinikami, aby podjąć świadomą decyzję o leczeniu.
Dowiedz się, czym smarować dziąsło po wyrwaniu zęba, aby złagodzić ból i wspomóc gojenie. Poznaj skuteczne preparaty i naturalne metody.
Skutecznie leczyć chore dziąsła jak leczyć? Poznaj sprawdzone metody, które pomogą Ci uniknąć bólu i problemów z dziąsłami.
Dowiedz się, czy można palić po wizycie u dentysty. Poznaj ryzyka, zalecenia oraz zdrowe nawyki wspierające gojenie po zabiegach stomatologicznych.
Dowiedz się, jak często chodzić do dentysty, aby uniknąć problemów z zębami. Odkryj zalecenia i praktyczne porady dotyczące zdrowia jamy ustnej.
Czy dentysta w ciąży jest za darmo? Sprawdź, jakie usługi stomatologiczne przysługują przyszłym mamom i jak skorzystać z bezpłatnej opieki zdrowotnej.
Ile zarabia dentysta na godzinę? Sprawdź różnice w zarobkach w Polsce oraz czynniki wpływające na wynagrodzenie dentystów w różnych sektorach.