Skuteczne metody na krwawiące dziąsła - poznaj przyczyny i leczenie
Poznaj skuteczne metody na krwawiące dziąsła. Dowiedz się, co na krwawiące dziąsła, jakie są przyczyny i jak je leczyć, aby cieszyć się zdrowiem jamy ustnej.
Skuteczne metody na krwawiące dziąsła - poznaj przyczyny i leczenie
Poznaj skuteczne metody na krwawiące dziąsła. Dowiedz się, co na krwawiące dziąsła, jakie są przyczyny i jak je leczyć, aby cieszyć się zdrowiem jamy ustnej.
Skuteczne sposoby na leczenie aft na dziąśle i złagodzenie bólu
Skuteczne sposoby na leczenie aft na dziąśle jak leczyć, łagodzenie bólu i przyspieszanie gojenia. Sprawdź nasze sprawdzone metody i ciesz się zdrowiem!
Jak pozbyć się ropy z dziąseł i uniknąć poważnych komplikacji
Pozbądź się ropy z dziąseł skutecznie i uniknij poważnych komplikacji zdrowotnych. Sprawdź, jak dbać o zdrowie jamy ustnej i zapobiegać infekcjom.
Zapalenie dziąseł u dziecka objawy, które mogą zaniepokoić rodziców
Zidentyfikuj objawy zapalenia dziąseł u dziecka, które mogą zaniepokoić rodziców. Dowiedz się, jak rozpoznać i reagować na te niepokojące sygnały.
Skuteczne sposoby na stan zapalny dziąseł, które przyniosą ulgę
Skuteczne metody na stan zapalny dziąseł, które przyniosą ulgę. Poznaj leki, zioła i domowe sposoby, aby zadbać o zdrowie swoich dziąseł.
Jak wygląda przerost dziąseł? Objawy, zmiany i co musisz wiedzieć
Poznaj, jak wygląda przerost dziąseł, jego objawy i zmiany. Dowiedz się, co musisz wiedzieć o tym schorzeniu i jak dbać o zdrowie jamy ustnej.
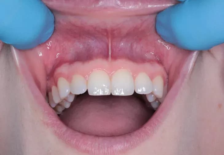
Jak wyglądają zdrowe dziąsła? Poznaj cechy i uniknij problemów zdrowotnych
Poznaj, jak wyglądają zdrowe dziąsła i jakie cechy je charakteryzują. Dowiedz się, jak uniknąć problemów zdrowotnych związanych z jamą ustną.
Zapalenie dziąseł od czego: poznaj przyczyny i uniknij problemów
Poznaj przyczyny zapalenia dziąseł od czego i dowiedz się, jak skutecznie unikać problemów z dziąsłami oraz zadbać o zdrowie jamy ustnej.
Górne jedynki ząbkowanie: jak wyglądają dziąsła u niemowlaka?
Ząbkowanie górnych jedynek to ważny etap. Dowiedz się, jak wyglądają dziąsła u niemowlaka i jakie objawy mogą wystąpić podczas tego procesu.
Ile kosztuje przeszczep dziąsła? Ceny w Polsce i różnice w klinikach
Ile kosztuje przeszczep dziąsła? Sprawdź ceny w Polsce oraz różnice między klinikami, aby podjąć świadomą decyzję o leczeniu.
Czym smarować dziąsło po wyrwaniu zęba, aby uniknąć bólu?
Dowiedz się, czym smarować dziąsło po wyrwaniu zęba, aby złagodzić ból i wspomóc gojenie. Poznaj skuteczne preparaty i naturalne metody.
Jak skutecznie leczyć chore dziąsła i uniknąć bólu oraz problemów
Skutecznie leczyć chore dziąsła jak leczyć? Poznaj sprawdzone metody, które pomogą Ci uniknąć bólu i problemów z dziąsłami.
Czym płukać dziąsła w ciąży, aby uniknąć bólu i problemów?
Dowiedz się, czym płukać dziąsła w ciąży, aby uniknąć bólu i problemów. Odkryj bezpieczne płyny i ziołowe płukanki dla zdrowia jamy ustnej.
Jak długo boli dziąsło po usunięciu zęba? Sprawdź, co musisz wiedzieć
Dowiedz się, jak długo boli dziąsło po usunięciu zęba. Poznaj czynniki wpływające na ból oraz skuteczne metody łagodzenia dolegliwości.
Najlepsza pasta na krwawiące dziąsła - skuteczne rozwiązania na problemy z dziąsłami
Szukasz skutecznej pasty na krwawiące dziąsła? Sprawdź nasze rekomendacje i dowiedz się, jak poprawić zdrowie swoich dziąseł!
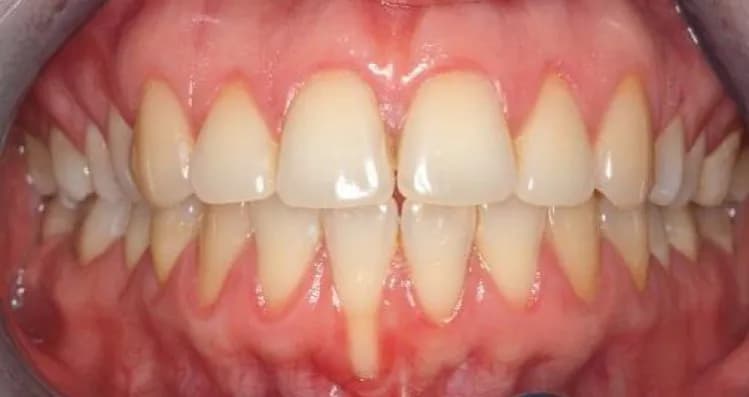
Dlaczego krwawią dziąsła? Oto najczęstsze przyczyny i rozwiązania
Dowiedz się, dlaczego krwawią dziąsła i jakie są najczęstsze przyczyny tego problemu. Odkryj skuteczne rozwiązania, by zadbać o zdrowie jamy ustnej.
Czy ściąganie szwów z dziąsła boli? Poznaj prawdę o bólu i dyskomforcie
Czy ściąganie szwów z dziąsła boli? Dowiedz się, jakie odczucia towarzyszą temu zabiegowi i jak się przygotować na ewentualny dyskomfort.
Jaki antybiotyk na zapalenie dziąseł? Skuteczne rozwiązania na ból
Poznaj skuteczne rozwiązania na ból i dowiedz się, jaki antybiotyk na zapalenie dziąseł pomoże w walce z infekcją i przyspieszy leczenie.
Jak wyglądają zdjęcia raka dziąseł? Objawy, które mogą zaniepokoić
Zobacz, jak wyglądają zdjęcia raka dziąseł i poznaj objawy, które mogą zaniepokoić. Dowiedz się, na co zwracać uwagę w zdrowiu jamy ustnej.
Co na ból dziąsła po wyrwaniu zęba? Skuteczne metody ulgi i objawy
Skuteczne metody na ból dziąsła po wyrwaniu zęba. Poznaj objawy, które mogą wskazywać na powikłania oraz sprawdź, jak dbać o jamę ustną po zabiegu.
Skuteczne sposoby na ból dziąsła, które naprawdę pomagają
Skuteczne metody na ból dziąsła, które przynoszą ulgę. Dowiedz się, co jest dobre na ból dziąsła i jak zadbać o zdrowie jamy ustnej.
Jak przebić ropień na dziąśle i uniknąć poważnych komplikacji
Dowiedz się, jak przebić ropień na dziąśle bez ryzyka poważnych komplikacji. Poznaj skuteczne metody i kiedy konieczna jest wizyta u dentysty.
Jak wygląda ropa na dziąśle? Objawy, przyczyny i skuteczne leczenie
Dowiedz się, jak wygląda ropa na dziąśle, jakie są jej objawy i przyczyny oraz jakie skuteczne metody leczenia mogą pomóc w rozwiązaniu tego problemu.
Skuteczne sposoby na podrażnione dziąsła - ulga i szybkie leczenie
Znajdź skuteczne metody na podrażnione dziąsła. Dowiedz się, co na podrażnione dziąsła pomoże złagodzić ból i przyspieszyć gojenie.
Skuteczne sposoby na wzmocnienie dziąseł i poprawę ich zdrowia
Poznaj skuteczne metody na wzmocnienie dziąseł. Dowiedz się, jak poprawić ich zdrowie dzięki odpowiedniej pielęgnacji i suplementacji.