
Wybierz najlepszą szczoteczkę do zębów! Porównaj szczoteczkę Oral-B i soniczną, aby dowiedzieć się, która lepiej zadba o Twoje zęby.
Jestem Klara Mróz, specjalistka w dziedzinie zdrowia z ponad 10-letnim doświadczeniem w pracy z pacjentami oraz w edukacji zdrowotnej. Ukończyłam studia z zakresu dietetyki oraz zdrowia publicznego, co pozwoliło mi zdobyć solidną wiedzę na temat wpływu diety i stylu życia na ogólne samopoczucie. Moja pasja do zdrowego stylu życia skłoniła mnie do specjalizacji w zakresie profilaktyki zdrowotnej oraz holistycznego podejścia do zdrowia, co staram się przekazywać poprzez moje artykuły. Wierzę, że każda osoba zasługuje na dostęp do rzetelnych informacji, które mogą pomóc w podejmowaniu świadomych decyzji dotyczących zdrowia. Pisząc dla fabrykausmiechu-leczna.pl, dążę do inspirowania innych do wprowadzenia pozytywnych zmian w ich życiu. Moim celem jest nie tylko dostarczanie wartościowych treści, ale także budowanie zaufania poprzez dokładne badania i weryfikację informacji, które przedstawiam.

Wybierz najlepszą szczoteczkę do zębów! Porównaj szczoteczkę Oral-B i soniczną, aby dowiedzieć się, która lepiej zadba o Twoje zęby.

Poznaj objawy nadwrażliwości zębów, które mogą zaskoczyć. Dowiedz się, jakie czynniki wywołują ból i jak sobie z nim radzić.

Czy szczoteczka soniczna niszczy szkliwo? Dowiedz się, jak prawidłowe użytkowanie może chronić Twoje zęby i wspierać ich zdrowie.

Czy na ból zęba można dostać zwolnienie? Dowiedz się, jakie warunki muszą być spełnione, aby uzyskać L4 i jakie zabiegi mogą to umożliwić.

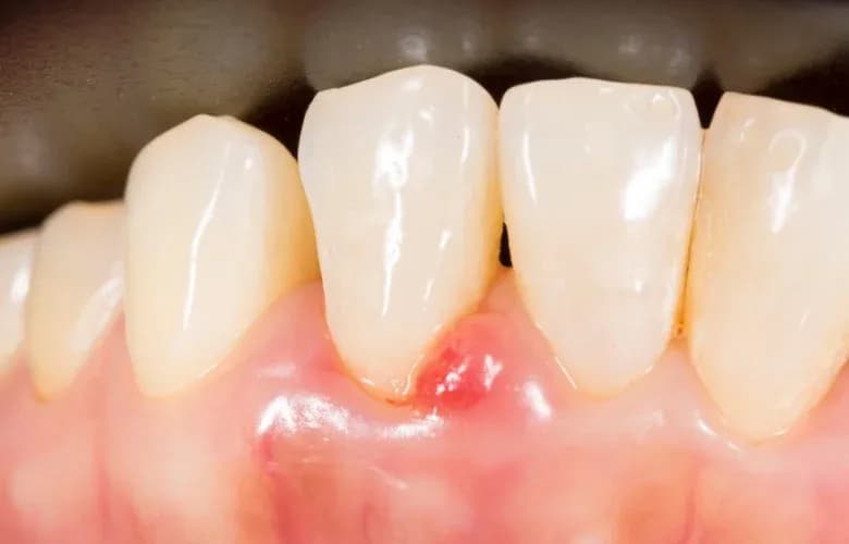
Skutecznie leczyć chore dziąsła jak leczyć? Poznaj sprawdzone metody, które pomogą Ci uniknąć bólu i problemów z dziąsłami.

Dowiedz się, w jakim wieku rośnie ząb mądrości i jakie czynniki wpływają na jego rozwój. Poznaj zaskakujące fakty o ósemkach!

Dowiedz się, czego nie jeść przy grzybicy jamy ustnej, aby uniknąć bólu i dyskomfortu. Ogranicz cukry, węglowodany rafinowane i alkohol w diecie.

Dowiedz się, czym płukać dziąsła w ciąży, aby uniknąć bólu i problemów. Odkryj bezpieczne płyny i ziołowe płukanki dla zdrowia jamy ustnej.

Skuteczne metody leczenia krwiaka w jamie ustnej jak leczyć? Sprawdź domowe sposoby i kiedy warto skonsultować się z lekarzem.

Ile goi się rana w jamie ustnej? Dowiedz się, kiedy warto udać się do dentysty oraz jakie objawy mogą wskazywać na powikłania.