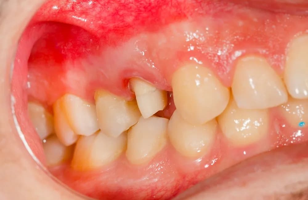
Zapalenie dziąseł u dziecka to problem, który może zaniepokoić wielu rodziców. Objawy tej choroby mogą być nie tylko uciążliwe, ale również wpływać na codzienne funkcjonowanie dziecka. Najczęściej występujące symptomy to zaczerwienienie i obrzęk dziąseł, które mogą powodować ból i dyskomfort, utrudniając jedzenie oraz mycie zębów. Warto zwrócić uwagę na takie objawy, jak krwawienie dziąseł podczas szczotkowania czy gryzienia twardych pokarmów, ponieważ mogą one wskazywać na poważniejsze problemy zdrowotne.
W artykule omówimy najważniejsze objawy zapalenia dziąseł u dzieci oraz podpowiemy, kiedy warto skonsultować się z lekarzem. Przedstawimy również domowe sposoby łagodzenia dolegliwości oraz najlepsze praktyki, które pomogą zapobiegać temu schorzeniu. Dzięki temu rodzice będą mogli lepiej zadbać o zdrowie jamy ustnej swoich pociech.Kluczowe informacje:
- Zapalenie dziąseł objawia się zaczerwienieniem, obrzękiem i bólem dziąseł.
- Krwawienie dziąseł podczas mycia zębów może być oznaką poważnych problemów zdrowotnych.
- Dzieci mogą skarżyć się na dyskomfort, co wpływa na ich apetyt i zdolność do żucia.
- W przypadku podwyższonej temperatury ciała, należy zwrócić uwagę na inne objawy, takie jak owrzodzenia czy nadmiar śliny.
- Domowe metody mogą pomóc w łagodzeniu objawów, ale ważne jest, aby znać moment, w którym należy skonsultować się z lekarzem.
- Wprowadzenie dobrych nawyków higienicznych oraz zdrowej diety może znacząco wpłynąć na zdrowie jamy ustnej dziecka.
Objawy zapalenia dziąseł u dziecka, które mogą zaniepokoić rodziców
Zapalenie dziąseł u dziecka objawia się przede wszystkim zaczerwienieniem i obrzękiem tkanek dziąsłowych. Te objawy mogą być bolesne w dotyku, co znacząco utrudnia dziecku jedzenie oraz mycie zębów. Warto zauważyć, że dziąsła mogą stać się miękkie i mniej sprężyste, co może prowadzić do ich niedostatecznej ochrony przed bakteriami. Obserwowanie tych symptomów jest kluczowe, aby zareagować na czas i zapobiec poważniejszym problemom zdrowotnym.Innym istotnym objawem jest krwawienie dziąseł podczas szczotkowania zębów lub gryzienia twardych pokarmów. To może być sygnał, że dziąsła są podrażnione lub zainfekowane. Dzieci mogą również skarżyć się na ból lub dyskomfort w okolicy dziąseł, co może wpływać na ich apetyt oraz chęć do jedzenia. W przypadku wystąpienia tych objawów, ważne jest, aby rodzice byli czujni i monitorowali stan zdrowia jamy ustnej swojego dziecka.
W niektórych przypadkach, zapalenie dziąseł może prowadzić do nawrotowych infekcji jamy ustnej, co może być szczególnie niebezpieczne. Dziecko może doświadczać trudności w żuciu, a także nieprzyjemnego zapachu z ust, co może wskazywać na zwiększoną płytkę bakteryjną. Dlatego tak ważne jest, aby rodzice znali objawy zapalenia dziąseł u dzieci, aby mogli odpowiednio reagować i zasięgnąć porady specjalisty, jeśli zajdzie taka potrzeba.
Zaczerwienienie i obrzęk dziąseł u dziecka – co to oznacza?
Zaczerwienienie i obrzęk dziąseł u dziecka to jedne z pierwszych objawów zapalenia. Te symptomy mogą wskazywać na stan zapalny, który jest wynikiem działania bakterii gromadzących się na zębach i dziąsłach. Jeśli nie zostaną podjęte odpowiednie kroki, mogą prowadzić do poważniejszych problemów zdrowotnych, takich jak recesja dziąseł czy nadwrażliwość zębów.
Krwawienie dziąseł podczas mycia zębów – jak to interpretować?
Krwawienie dziąseł podczas mycia zębów jest często oznaką, że dziąsła są podrażnione lub zainfekowane. Może to być spowodowane używaniem zbyt twardej szczoteczki do zębów lub niewłaściwą techniką szczotkowania. Warto zwrócić uwagę na ten objaw, ponieważ krwawienie może prowadzić do dalszych powikłań, jeśli nie zostanie szybko rozwiązane. Jeśli dziecko skarży się na ból podczas mycia zębów, rodzice powinni natychmiast skonsultować się ze specjalistą.- Zaczerwienienie i obrzęk dziąseł mogą być pierwszymi oznakami zapalenia.
- Krwawienie dziąseł podczas szczotkowania jest alarmującym sygnałem, który należy zbadać.
- Ból i dyskomfort w jamie ustnej mogą znacząco wpływać na apetyt dziecka.
Ból i dyskomfort w jamie ustnej – sygnały alarmowe dla rodziców
Ból i dyskomfort w jamie ustnej mogą być dla rodziców sygnałami alarmowymi, które wskazują na problemy z zapalenie dziąseł u dziecka. Dzieci często nie potrafią precyzyjnie określić, co im dolega, dlatego ważne jest, aby rodzice zwracali uwagę na zmiany w zachowaniu swoich pociech. Objawy takie jak drażliwość, niechęć do jedzenia czy skarżenie się na ból podczas jedzenia mogą być oznaką, że dziecko odczuwa dyskomfort w okolicy dziąseł.
Warto również obserwować, czy dziecko często dotyka swojej jamy ustnej lub unika mycia zębów. Te zachowania mogą sugerować, że coś jest nie tak. Jeśli dziecko wykazuje oznaki bólu lub dyskomfortu, rodzice powinni zasięgnąć porady specjalisty, aby zrozumieć, co może być przyczyną tych objawów i jak można pomóc dziecku.
Kiedy należy skonsultować się z lekarzem w przypadku zapalenia dziąseł?
Rodzice powinni być czujni i wiedzieć, kiedy należy skonsultować się z lekarzem w przypadku zapalenia dziąseł u dziecka. Jeśli zauważą, że dziecko ma trwałe krwawienie dziąseł lub silny ból, to znak, że należy niezwłocznie udać się do dentysty. Inne objawy, takie jak wysoka gorączka lub opuchlizna w okolicy twarzy, również powinny skłonić rodziców do szybkiej reakcji.
W przypadku, gdy dziąsła dziecka są czerwone i opuchnięte przez dłuższy czas, a także jeśli dziecko ma trudności z jedzeniem lub piciem z powodu bólu, warto niezwłocznie skonsultować się z lekarzem. Ignorowanie tych objawów może prowadzić do poważniejszych problemów zdrowotnych, dlatego szybka interwencja jest kluczowa.
Objawy wymagające natychmiastowej interwencji medycznej
Niektóre objawy wymagają natychmiastowej interwencji medycznej. Jeśli dziecko ma silny ból zębów lub dziąseł, które nie ustępuje, to jest to powód do pilnej wizyty u dentysty. Dodatkowo, jeśli występują opuchnięcia twarzy lub trudności w oddychaniu, należy natychmiast wezwać pomoc medyczną. Takie objawy mogą wskazywać na poważniejsze infekcje, które wymagają szybkiego leczenia.
| Objaw | Znaczenie |
| Trwałe krwawienie dziąseł | Może wskazywać na poważne problemy zdrowotne |
| Silny ból | Wymaga natychmiastowej konsultacji z dentystą |
| Opuchlizna twarzy | Może być oznaką infekcji |
| Trudności w oddychaniu | Stan zagrożenia życia, wymaga natychmiastowej pomocy |
Jakie badania mogą być zlecone przez dentystę?
Kiedy rodzice zauważają objawy zapalenia dziąseł u dziecka, dentysta może zlecić kilka specjalistycznych badań, aby dokładnie ocenić stan zdrowia jamy ustnej. Pierwszym krokiem jest zazwyczaj badanie kliniczne, podczas którego dentysta ocenia stan dziąseł, zębów oraz całej jamy ustnej dziecka. Może to obejmować sprawdzenie, czy dziąsła są zaczerwienione, opuchnięte lub czy występują jakiekolwiek oznaki krwawienia.
W niektórych przypadkach, dentysta może również zalecić zdjęcia rentgenowskie, aby zobaczyć, co dzieje się pod powierzchnią zębów i dziąseł. To badanie pozwala ocenić, czy istnieją problemy z korzeniami zębów lub inne ukryte infekcje. Dodatkowo, dentysta może przeprowadzić testy na obecność bakterii, aby zidentyfikować rodzaje bakterii, które mogą przyczyniać się do zapalenia dziąseł. Dzięki tym badaniom, można dokładniej zrozumieć przyczyny problemów z dziąsłami i podjąć odpowiednie kroki w celu ich rozwiązania.
Czytaj więcej: Jak zadbać o dziąsła w ciąży, aby uniknąć bólu i komplikacji
Domowe sposoby na łagodzenie objawów zapalenia dziąseł u dzieci
Rodzice często poszukują domowych sposobów na łagodzenie objawów zapalenia dziąseł u dzieci. Istnieje wiele naturalnych metod, które mogą przynieść ulgę. Na przykład, płukanie jamy ustnej roztworem soli może pomóc w redukcji stanu zapalnego i bólu. Wystarczy rozpuścić łyżeczkę soli w szklance ciepłej wody i poprosić dziecko o płukanie ust przez kilka sekund. To prosta i skuteczna metoda, która może przynieść ulgę.
Innym skutecznym sposobem jest stosowanie żelu aloesowego bezpośrednio na podrażnione dziąsła. Aloes ma właściwości przeciwzapalne i może pomóc w łagodzeniu bólu oraz przyspieszeniu procesu gojenia. Dodatkowo, chłodne kompresy na zewnętrznej stronie policzka mogą również przynieść ulgę w przypadku bólu dziąseł. Ważne jest, aby rodzice obserwowali reakcje dziecka na te metody i konsultowali się z dentystą, jeśli objawy się nie poprawiają.
- Płukanie jamy ustnej roztworem soli – 1 łyżeczka soli w szklance ciepłej wody.
- Żel aloesowy – stosowanie bezpośrednio na dziąsła.
- Chłodne kompresy – aplikowanie na zewnętrzną stronę policzka w celu złagodzenia bólu.
Jakie produkty do higieny jamy ustnej są bezpieczne dla dzieci?
Wybór odpowiednich produktów do higieny jamy ustnej jest kluczowy dla zdrowia dzieci. Bezpieczne i skuteczne produkty powinny być dostosowane do wrażliwej jamy ustnej maluchów. Na przykład, szczoteczki do zębów dla dzieci, takie jak Oral-B Stages, są zaprojektowane z myślą o małych rączkach i delikatnych dziąsłach. Posiadają miękkie włosie, które skutecznie usuwa płytkę bakteryjną, nie podrażniając przy tym dziąseł. Dodatkowo, pasty do zębów z fluorem, jak Elmex Kids, pomagają w ochronie zębów przed próchnicą, a ich smak jest przyjemny dla dzieci, co zachęca je do regularnego szczotkowania.
Nie można zapomnieć o płynach do płukania ust, które są odpowiednie dla dzieci, takich jak Listerine Zero, które nie zawierają alkoholu i są bezpieczne do stosowania przez najmłodszych. Te produkty pomagają w utrzymaniu świeżości oddechu oraz dodatkowo chronią przed próchnicą. Warto również zwrócić uwagę na nitki dentystyczne dla dzieci, takie jak Plackers Kids, które ułatwiają usuwanie resztek jedzenia z przestrzeni między zębami. Wybierając te produkty, rodzice mogą być pewni, że dbają o zdrowie jamy ustnej swoich dzieci.

Zapobieganie zapaleniu dziąseł u dzieci – najlepsze praktyki
Aby zapobiegać zapalenie dziąseł u dzieci, kluczowe jest wprowadzenie odpowiednich praktyk higienicznych. Regularne szczotkowanie zębów co najmniej dwa razy dziennie, przy użyciu odpowiedniej szczoteczki i pasty, jest podstawą zdrowia jamy ustnej. Rodzice powinni również nauczyć dzieci, jak prawidłowo szczotkować zęby, aby dotrzeć do wszystkich miejsc, w tym do linii dziąseł. Warto również wprowadzić nawyk używania nici dentystycznej, aby skutecznie usuwać resztki jedzenia z przestrzeni między zębami.
Kolejnym ważnym aspektem jest dieta. Ograniczenie spożycia słodyczy i napojów słodzonych pomoże w ochronie zębów przed próchnicą i stanami zapalnymi. Zachęcanie dzieci do picia wody zamiast słodzonych napojów oraz wprowadzenie zdrowych przekąsek, takich jak owoce i warzywa, może znacząco wpłynąć na ich zdrowie jamy ustnej. Regularne wizyty u dentysty również są kluczowe, ponieważ pozwalają na wczesne wykrywanie i leczenie problemów z dziąsłami.
- Regularne szczotkowanie zębów co najmniej dwa razy dziennie.
- Używanie nici dentystycznej do usuwania resztek jedzenia.
- Ograniczenie spożycia słodyczy i napojów słodzonych.
- Wprowadzenie zdrowych przekąsek, takich jak owoce i warzywa.
- Regularne wizyty u dentysty.
Jakie nawyki higieniczne warto wprowadzić u dziecka?
Wprowadzenie dobrych nawyków higienicznych u dzieci jest kluczowe dla ich zdrowia jamy ustnej. Należy nauczyć dzieci, aby szczotkowały zęby przez co najmniej dwie minuty, używając odpowiedniej techniki. Ważne jest, aby dzieci rozumiały, że szczotkowanie zębów to nie tylko codzienny obowiązek, ale także sposób na dbanie o zdrowie. Można również wprowadzić zabawne rytuały, takie jak śpiewanie piosenek podczas szczotkowania, aby uczynić ten proces przyjemniejszym.
Rodzice powinni także zachęcać dzieci do samodzielnego dbania o higienę jamy ustnej, na przykład poprzez samodzielne wybieranie szczoteczki do zębów lub pasty. Ważne jest, aby dzieci miały poczucie, że są odpowiedzialne za swoje zdrowie. Dodatkowo, regularne przypominanie o myciu zębów po posiłkach może pomóc w utrwaleniu tych nawyków. Wspieranie dzieci w tworzeniu zdrowych nawyków może przynieść długoterminowe korzyści dla ich zdrowia jamy ustnej.
Rola diety w zdrowiu jamy ustnej dziecka – co unikać?
Dieta odgrywa kluczową rolę w zdrowiu jamy ustnej dziecka, a odpowiednie wybory żywieniowe mogą pomóc w zapobieganiu zapalenie dziąseł u dziecka. Należy unikać produktów bogatych w cukry, takich jak słodycze, ciastka i napoje gazowane, które mogą prowadzić do powstawania płytki bakteryjnej i próchnicy. Słodycze kleiste, takie jak cukierki i gumy do żucia, są szczególnie szkodliwe, ponieważ łatwo przyczepiają się do zębów i są trudne do usunięcia podczas szczotkowania.
Również kwasowe pokarmy, takie jak cytrusy i soki owocowe, mogą osłabiać szkliwo zębów, co zwiększa ryzyko rozwoju problemów z dziąsłami. Warto ograniczyć spożycie tych produktów, zwłaszcza w przypadku dzieci, które mają już problemy z jamą ustną. Zamiast tego, rodzice powinni zachęcać dzieci do jedzenia zdrowych przekąsek, takich jak warzywa i owoce, które są nie tylko korzystne dla ogólnego zdrowia, ale także dla zdrowia jamy ustnej.
Wspieranie zdrowia jamy ustnej dziecka poprzez edukację i zabawę
Aby skutecznie zapobiegać zapalenie dziąseł u dzieci, warto wprowadzić elementy edukacyjne i zabawowe do codziennej rutyny higieny jamy ustnej. Rodzice mogą stworzyć interaktywne gry dotyczące zdrowia jamy ustnej, które zachęcą dzieci do nauki o właściwych nawykach higienicznych. Na przykład, można stworzyć planszę, na której każde prawidłowe szczotkowanie zębów lub użycie nici dentystycznej będzie nagradzane punktami, co zwiększy zaangażowanie dzieci w dbanie o ich zęby.
Dodatkowo, warto rozważyć organizację warsztatów lub spotkań z dentystą, które będą miały na celu edukację dzieci na temat zdrowia jamy ustnej w formie zabawy. Tego typu wydarzenia mogą obejmować pokazy, w których dzieci będą mogły zobaczyć, jak prawidłowo szczotkować zęby, oraz dowiedzieć się, jakie produkty są dla nich najlepsze. W ten sposób, dzieci nie tylko zdobędą wiedzę, ale także rozwiną pozytywne nawyki, które będą miały długoterminowy wpływ na ich zdrowie jamy ustnej.






