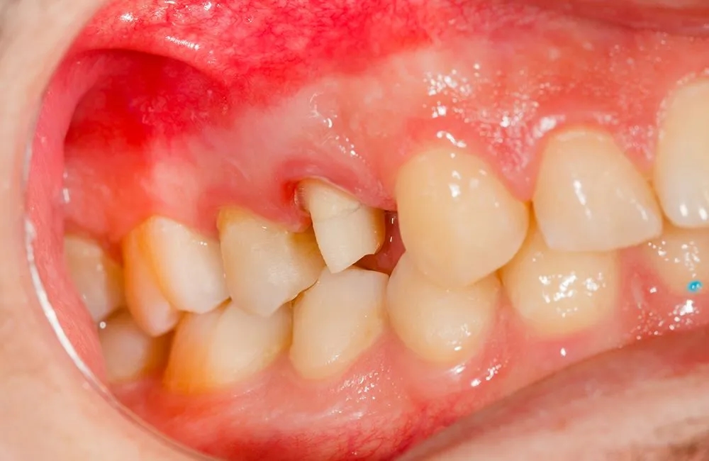
Ropień w dziąsłach to poważny problem, który wymaga natychmiastowej interwencji stomatologicznej. Objawia się on obecnością ropy, która jest wynikiem głębokiego stanu zapalnego, najczęściej związanym z zębem. Ignorowanie tego stanu może prowadzić do poważnych komplikacji zdrowotnych, takich jak infekcje ogólnoustrojowe. Dlatego kluczowe jest, aby jak najszybciej udać się do dentysty, który podejmie odpowiednie kroki w celu usunięcia ropy i leczenia przyczyny problemu.
W artykule omówimy, jak skutecznie pozbyć się ropy z dziąseł, jakie są metody leczenia w gabinecie stomatologicznym oraz jakie domowe sposoby mogą pomóc w łagodzeniu objawów. Zrozumienie objawów oraz odpowiednich działań pozwoli uniknąć poważnych konsekwencji zdrowotnych.
Kluczowe informacje:
- Ropień w dziąsłach jest objawem głębokiego stanu zapalnego i wymaga wizyty u dentysty.
- Domowe metody mogą jedynie łagodzić objawy, nie eliminując przyczyny problemu.
- Najważniejszym krokiem w leczeniu jest drenaż ropnia, który może obejmować nacięcie dziąsła.
- W przypadku ropnia zębowego może być konieczne leczenie kanałowe lub usunięcie zęba.
- Stosowanie płukanek z soli lub sody oczyszczonej może pomóc w zmniejszeniu bólu i obrzęku.
- Ignorowanie ropnia może prowadzić do poważnych komplikacji, takich jak zapalenie wsierdzia.
Jak skutecznie usunąć ropę z dziąseł i poprawić zdrowie jamy ustnej
Ropień w dziąsłach to poważny problem zdrowotny, który wymaga natychmiastowej uwagi. Ignorowanie ropy w jamie ustnej może prowadzić do poważnych komplikacji, takich jak infekcje ogólnoustrojowe. Dlatego tak ważne jest, aby jak najszybciej podjąć działania w celu jego usunięcia. Odpowiednia interwencja stomatologiczna jest kluczem do poprawy zdrowia jamy ustnej oraz uniknięcia dalszych problemów zdrowotnych.
Właściwe podejście do leczenia ropy w dziąsłach nie tylko łagodzi objawy, ale również przyczynia się do lepszego stanu zdrowia jamy ustnej. Dbanie o higienę jamy ustnej, regularne wizyty u dentysty oraz stosowanie się do zaleceń lekarza mogą znacząco wpłynąć na zdrowie zębów i dziąseł. Warto pamiętać, że domowe metody mogą jedynie przynieść chwilową ulgę, a nie usunąć przyczynę problemu. Dlatego kluczowe jest, aby nie zwlekać z wizytą u specjalisty.Dlaczego ropień w dziąsłach jest poważnym problemem zdrowotnym?
Ropień w dziąsłach to oznaka głębokiego stanu zapalnego, który może prowadzić do wielu poważnych problemów zdrowotnych, jeśli nie zostanie odpowiednio leczony. Nieleczony ropień może spowodować rozprzestrzenienie się infekcji na inne części ciała, co może skutkować zapaleniem wsierdzia lub zapaleniem opon mózgowo-rdzeniowych. Ponadto, ropień może prowadzić do utraty zębów oraz poważnych bóli, które znacznie obniżają komfort życia. Dlatego tak ważne jest, aby nie ignorować objawów i jak najszybciej skonsultować się z dentystą.
Jakie są objawy ropnia w dziąsłach i kiedy udać się do dentysty?
Ropień w dziąsłach może objawiać się na różne sposoby. Najczęściej występującymi symptomami są ból, opuchlizna oraz czerwoność w obrębie dziąseł. Często pojawia się również ropa, którą można zauważyć w okolicy zainfekowanego miejsca. W przypadku wystąpienia gorączki lub ogólnego osłabienia organizmu, to również może być oznaką, że infekcja się rozwija. Ważne jest, aby nie ignorować tych objawów, ponieważ mogą one prowadzić do poważniejszych komplikacji.
Jeśli zauważysz którykolwiek z tych objawów, powinieneś jak najszybciej udać się do dentysty. Wczesna interwencja jest kluczowa dla uniknięcia poważnych problemów zdrowotnych. Dentysta przeprowadzi odpowiednie badania i zdecyduje o dalszym leczeniu. Ignorowanie objawów ropnia może prowadzić do rozprzestrzenienia się infekcji na inne części ciała, co może być niebezpieczne dla zdrowia. Dlatego, gdy tylko zauważysz niepokojące objawy, nie zwlekaj z wizytą u specjalisty.
Metody leczenia ropy z dziąseł w gabinecie stomatologicznym
W gabinecie stomatologicznym istnieje kilka skutecznych metod leczenia ropy z dziąseł. Najczęściej stosowaną metodą jest drenaż, który polega na nacięciu dziąsła i usunięciu ropnej zawartości. Taki zabieg pozwala na oczyszczenie obszaru zainfekowanego i zmniejszenie bólu. Po drenażu stomatolog może zalecić dalsze leczenie, takie jak stosowanie antybiotyków, które pomagają zwalczać infekcję bakteryjną. Ważne jest, aby nie próbować przeprowadzać drenażu samodzielnie, ponieważ może to prowadzić do poważnych komplikacji.
W przypadku, gdy ropień jest spowodowany przez głębokie uszkodzenie zęba, dentysta może zalecić leczenie kanałowe. To procedura, która polega na usunięciu zakażonej miazgi z wnętrza zęba oraz oczyszczeniu kanałów korzeniowych. Leczenie kanałowe jest skuteczną metodą na uratowanie zęba, który w przeciwnym razie mógłby wymagać usunięcia. Po zakończeniu leczenia kanałowego, dentysta może zalecić dodatkowe wizyty kontrolne, aby upewnić się, że infekcja została całkowicie wyleczona.
Jak przebiega drenaż ropnia i co warto wiedzieć przed wizytą?
Drenaż ropnia to kluczowy zabieg, który ma na celu usunięcie ropy z dziąseł. Procedura ta zazwyczaj zaczyna się od znieczulenia miejscowego, aby zminimalizować dyskomfort pacjenta. Następnie stomatolog wykonuje nacięcie w obrębie zainfekowanego dziąsła, co umożliwia ewakuację ropnej zawartości. Po usunięciu ropy, lekarz może przepłukać obszar, aby upewnić się, że jest on czysty i wolny od bakterii. Ważne jest, aby pacjent był świadomy, że drenaż jest nie tylko zabiegiem leczniczym, ale również diagnostycznym, który może pomóc w określeniu przyczyny infekcji.
Przed wizytą u dentysty warto przygotować się, aby proces przebiegł sprawniej. Pacjenci powinni unikać jedzenia i picia na kilka godzin przed zabiegiem, aby zminimalizować ryzyko powikłań. Dobrze jest również zabrać ze sobą listę przyjmowanych leków oraz informować lekarza o wszelkich alergiach. Po zabiegu zaleca się stosowanie zimnych okładów na zewnątrz twarzy, co może pomóc w zmniejszeniu obrzęku. Pamiętaj, że samodzielne próby przebicia ropnia są niebezpieczne i mogą prowadzić do poważnych infekcji.
Jakie leczenie kanałowe może być konieczne w przypadku ropnia?
Leczenie kanałowe jest często konieczne, gdy ropień jest wynikiem głębokiego uszkodzenia zęba, które prowadzi do zakażenia miazgi. W takim przypadku stomatolog usuwa zakażoną miazgę, a następnie oczyszcza kanały korzeniowe, aby zapobiec dalszemu rozprzestrzenieniu się infekcji. Po zakończeniu czyszczenia, kanały są szczelnie wypełniane materiałem, co pozwala na zachowanie zęba. Leczenie kanałowe jest skuteczną metodą na uratowanie zęba, który w przeciwnym razie mógłby wymagać usunięcia.
Warto wiedzieć, że po leczeniu kanałowym pacjenci mogą odczuwać pewien dyskomfort, który powinien ustąpić w ciągu kilku dni. Stomatolog może zalecić stosowanie leków przeciwbólowych oraz kontrolne wizyty, aby upewnić się, że ząb goi się prawidłowo. W przypadku wystąpienia jakichkolwiek niepokojących objawów, takich jak nasilający się ból czy obrzęk, należy niezwłocznie skontaktować się z dentystą. Leczenie kanałowe, mimo że jest skomplikowane, jest kluczowym krokiem w walce z infekcją i zachowaniu zdrowia jamy ustnej.
Czytaj więcej: Skuteczne sposoby na podrażnione dziąsła - ulga i szybkie leczenie
Domowe sposoby na złagodzenie objawów ropnia w dziąsłach
W przypadku ropnia w dziąsłach, istnieje wiele domowych sposobów, które mogą pomóc w złagodzeniu objawów, takich jak ból i obrzęk. Chociaż te metody nie eliminują przyczyny problemu, mogą przynieść tymczasową ulgę. Na przykład, płukanie jamy ustnej roztworem soli fizjologicznej może pomóc w zmniejszeniu stanu zapalnego i bólu. Warto również rozważyć stosowanie naturalnych wywarów, takich jak szałwia czy rumianek, które działają łagodząco na podrażnione dziąsła.
Innym skutecznym sposobem na złagodzenie objawów ropnia jest stosowanie zimnych okładów na zewnątrz twarzy. Zimno pomaga zmniejszyć obrzęk oraz przynosi ulgę w bólu. Pamiętaj, że te metody mogą być stosowane jako wsparcie w oczekiwaniu na wizytę u dentysty, ale nie powinny zastępować profesjonalnego leczenia. Oto kilka konkretnych domowych sposobów, które mogą pomóc w walce z objawami ropnia:- Płukanka z soli: Rozpuść 1-2 łyżeczki soli w szklance ciepłej wody i płucz usta przez kilka minut.
- Płukanka z szałwii: Przygotuj wywar z 1-2 łyżeczek suszonej szałwii na szklankę wrzątku, zaparz przez 15 minut, a następnie płucz usta.
- Płukanka z rumianku: Zaparz 1-2 łyżeczki suszonego rumianku w szklance wrzątku i użyj do płukania jamy ustnej.
Jakie płukanki i naturalne metody mogą pomóc w bólu?
Płukanki są jednymi z najprostszych i najskuteczniejszych metod na złagodzenie bólu związane z ropniem w dziąsłach. Płukanka z sody oczyszczonej jest również popularnym wyborem; wystarczy rozpuścić 1 łyżeczkę sody w szklance ciepłej wody i płukać usta. Działa ona bakteriostatycznie i może pomóc w zmniejszeniu stanu zapalnego. Płukanka z octu jabłkowego to kolejna skuteczna opcja; wystarczy wymieszać 1-2 łyżki octu z wodą i stosować jako płukankę. Te naturalne metody mogą przynieść ulgę w bólu, ale pamiętaj, że nie zastąpią one wizyty u dentysty, która jest niezbędna do rozwiązania problemu.

Jak uniknąć poważnych komplikacji zdrowotnych związanych z ropniem?
Aby uniknąć poważnych komplikacji zdrowotnych związanych z ropniem w dziąsłach, kluczowe jest utrzymanie dobrej higieny jamy ustnej. Regularne szczotkowanie zębów oraz nitkowanie pomagają w usuwaniu resztek pokarmowych i bakterii, które mogą prowadzić do stanów zapalnych. Ważne są także regularne wizyty u dentysty, które pozwalają na wczesne wykrycie problemów i ich skuteczne leczenie. Osoby z predyspozycjami do chorób dziąseł powinny zwracać szczególną uwagę na objawy, takie jak ból czy obrzęk, i nie ignorować ich, aby uniknąć poważniejszych problemów zdrowotnych.Inne istotne środki zapobiegawcze to unikanie palenia tytoniu oraz ograniczenie spożycia cukrów, które sprzyjają rozwojowi bakterii w jamie ustnej. Należy również dbać o ogólny stan zdrowia, ponieważ choroby ogólnoustrojowe mogą wpływać na zdrowie jamy ustnej. Właściwe nawyki żywieniowe, takie jak spożywanie pokarmów bogatych w witaminy i minerały, wspierają układ odpornościowy i pomagają w walce z infekcjami. Pamiętaj, że zapobieganie jest zawsze lepsze niż leczenie, dlatego warto podejmować działania, które pomogą utrzymać zdrowie jamy ustnej na dłużej.
Jakie są ryzyka ignorowania ropnia w dziąsłach?
Ignorowanie ropnia w dziąsłach może prowadzić do poważnych konsekwencji zdrowotnych. Nieleczona infekcja może rozprzestrzenić się na inne części ciała, co może skutkować zapaleniem wsierdzia, a nawet zapaleniem opon mózgowo-rdzeniowych. W przypadku, gdy ropień jest spowodowany przez bakterie, które dostają się do krwiobiegu, może to prowadzić do sepsy, co stanowi zagrożenie dla życia. Dodatkowo, nieleczony ropień może prowadzić do utraty zębów oraz przewlekłych bólów, które znacznie obniżają jakość życia. Dlatego tak ważne jest, aby nie lekceważyć objawów i jak najszybciej skonsultować się z dentystą.
Jak wzmocnić odporność jamy ustnej, aby uniknąć ropni?
Wzmacnianie odporności jamy ustnej to kluczowy krok w zapobieganiu ropniom i innym infekcjom. Warto wprowadzić do diety pokarmy bogate w witaminę C, takie jak cytrusy, papryka czy brokuły, które wspierają zdrowie dziąseł i układ odpornościowy. Dodatkowo, probiotyki mogą pomóc w utrzymaniu równowagi mikroflory w jamie ustnej, co zmniejsza ryzyko rozwoju bakterii patogennych. Można je znaleźć w jogurtach, kefirze czy suplementach diety.
Oprócz diety, warto również rozważyć techniki relaksacyjne, takie jak medytacja czy joga, które mogą pomóc w redukcji stresu. Stres wpływa na naszą odporność, a jego zmniejszenie może przyczynić się do lepszego zdrowia jamy ustnej. Regularne ćwiczenia fizyczne także wspierają układ immunologiczny, co może pomóc w zapobieganiu infekcjom. Przyjmując te proste, ale skuteczne kroki, można znacząco wpłynąć na zdrowie jamy ustnej i zmniejszyć ryzyko wystąpienia ropni oraz innych problemów zdrowotnych.






