Najważniejsze informacje:
- Krwawienie dziąseł może być wynikiem stanu zapalnego spowodowanego płytką nazębną.
- Stosowanie płynów do płukania jamy ustnej bez alkoholu z chlorheksydyną może pomóc w leczeniu.
- Domowe sposoby, takie jak płukanie solą morską, mogą łagodzić objawy.
- Właściwa higiena jamy ustnej, w tym regularne szczotkowanie i nitkowanie, jest kluczowa w zapobieganiu krwawieniu.
- W przypadku utrzymującego się krwawienia należy skonsultować się z dentystą w celu dalszego leczenia.
Przyczyny krwawienia dziąseł i ich wpływ na zdrowie jamy ustnej
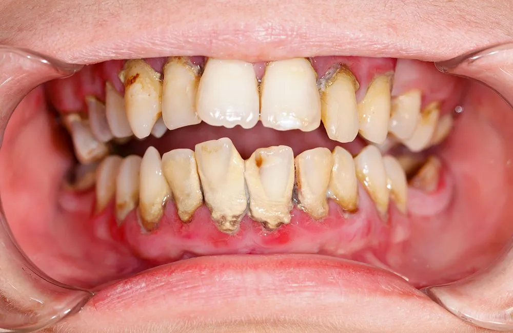
Krwawienie dziąseł jest często sygnałem, że w jamie ustnej dzieje się coś niepokojącego. Najczęściej jest to spowodowane stanem zapalnym, który rozwija się na skutek nagromadzenia płytki nazębnej i obecności bakterii. Gdy dziąsła są podrażnione, mogą krwawić, co jest oznaką, że organizm walczy z infekcją. Ignorowanie tego objawu może prowadzić do poważniejszych problemów zdrowotnych, w tym chorób przyzębia, które mogą wpływać na ogólny stan zdrowia.
Nie tylko zdrowie jamy ustnej jest zagrożone przez krwawienie dziąseł. Badania pokazują, że stan zapalny w jamie ustnej może mieć wpływ na inne części ciała, takie jak serce, co zwiększa ryzyko chorób sercowo-naczyniowych. Dlatego tak ważne jest, aby nie bagatelizować tego objawu i zwracać uwagę na zdrowie dziąseł. Wczesne wykrycie problemów może zapobiec poważnym konsekwencjom zdrowotnym.
Zrozumienie stanu zapalnego dziąseł i jego skutków
Stan zapalny dziąseł, znany również jako gingiwitis, jest pierwszym etapem choroby przyzębia. Objawia się zaczerwienieniem, opuchlizną i krwawieniem dziąseł, zwłaszcza podczas szczotkowania zębów. W miarę postępu stanu zapalnego, jeśli nie zostanie on w porę leczony, może prowadzić do poważniejszych problemów, takich jak paradontoza, która może skutkować utratą zębów. Zrozumienie tych skutków jest kluczowe dla podjęcia odpowiednich działań w celu ochrony zdrowia jamy ustnej.
Rola płytki nazębnej w krwawieniu dziąseł
Płytka nazębna to miękka, lepką warstwa bakterii, która gromadzi się na zębach i dziąsłach. Gdy nie jest regularnie usuwana, przekształca się w twardy kamień nazębny, który może prowadzić do stanu zapalnego. Bakterie obecne w płytce nazębnej produkują toksyny, które podrażniają dziąsła, co skutkuje ich krwawieniem. Dlatego regularne szczotkowanie i nitkowanie zębów są kluczowe w zapobieganiu krwawieniu dziąseł i utrzymaniu zdrowia jamy ustnej.
Skuteczne metody leczenia krwawiących dziąseł
W przypadku krwawiących dziąseł istnieje wiele skutecznych metod leczenia, które mogą pomóc w złagodzeniu objawów i poprawie zdrowia jamy ustnej. Warto zacząć od stosowania domowych sposobów, które są łatwo dostępne i mogą przynieść ulgę. Przykładowo, płukanie jamy ustnej solą morską lub sodą oczyszczoną działa antyseptycznie i zmniejsza stan zapalny. Oprócz tego, dostępne są również różne produkty bez recepty, które zawierają składniki aktywne wspomagające gojenie dziąseł.Wybór odpowiednich produktów może znacząco wpłynąć na proces leczenia. Wiele osób korzysta z płynów do płukania jamy ustnej, które są specjalnie zaprojektowane, aby wspierać zdrowie dziąseł. Działają one przeciwzapalnie i antyseptycznie, co jest kluczowe w walce z krwawieniem. Dlatego warto zwrócić uwagę na skład i działanie tych produktów, aby uzyskać jak najlepsze rezultaty.
Domowe sposoby na krwawiące dziąsła i ich skuteczność
Domowe metody leczenia krwawiących dziąseł są popularne i często skuteczne. Płukanie jamy ustnej roztworem soli morskiej jest jednym z najprostszych i najskuteczniejszych sposobów. Działa ono antyseptycznie i pomaga w redukcji stanu zapalnego. Kolejną skuteczną metodą są płukanki ziołowe, takie jak te z szałwii, rumianku czy tymianku, które mają działanie przeciwzapalne i wspomagają gojenie. Regularne stosowanie tych metod może przynieść zauważalne efekty w poprawie stanu zdrowia dziąseł.
Najlepsze płyny do płukania jamy ustnej na krwawienie
Na rynku dostępnych jest wiele płynów do płukania jamy ustnej, które mogą pomóc w leczeniu krwawiących dziąseł. Produkty zawierające chlorheksydynę w stężeniu 0,05% lub 0,12% są szczególnie polecane, ponieważ skutecznie eliminują bakterie i wspomagają gojenie tkanek. Przykłady to Curaprox PERIO PLUS, Dentaid PERIO-AID oraz Eludril. Te płyny działają przeciwzapalnie i pomagają w walce z krwawieniem dziąseł, co czyni je doskonałym wyborem dla osób z tym problemem.
| Produkt | Składnik aktywny | Wskazania |
| Curaprox PERIO PLUS | Chlorheksydyna 0,12% | Stany zapalne dziąseł, krwawienie |
| Dentaid PERIO-AID | Chlorheksydyna 0,12% | Profilaktyka i leczenie chorób przyzębia |
| Eludril | Chlorheksydyna 0,05% | Stany zapalne, podrażnienia dziąseł |
Czytaj więcej: Co na ból dziąsła po wyrwaniu zęba? Skuteczne metody ulgi i objawy
Jak zapobiegać krwawieniu dziąseł i dbać o zdrowie
Aby zapobiegać krwawieniu dziąseł, kluczowe jest przestrzeganie zasad odpowiedniej higieny jamy ustnej. Regularne szczotkowanie zębów co najmniej dwa razy dziennie oraz stosowanie nici dentystycznej to podstawowe kroki, które pomagają usunąć płytkę nazębną i resztki pokarmowe. Nie mniej ważne są regularne wizyty u dentysty, które umożliwiają wczesne wykrycie problemów i ich skuteczne rozwiązanie. Pamiętaj, że zdrowe dziąsła są fundamentem zdrowia jamy ustnej, dlatego warto zainwestować czas w codzienną pielęgnację.
Oprócz praktyk higienicznych, dieta również odgrywa istotną rolę w zdrowiu dziąseł. Spożywanie pokarmów bogatych w witaminy A, C, K oraz D wspiera regenerację dziąseł i ich odporność na infekcje. Produkty takie jak owoce cytrusowe, warzywa liściaste, orzechy oraz ryby są doskonałym źródłem tych składników odżywczych. Zbilansowana dieta nie tylko wspiera zdrowie jamy ustnej, ale także wpływa na ogólne samopoczucie organizmu.
Znaczenie higieny jamy ustnej w profilaktyce krwawienia
Higiena jamy ustnej jest kluczowa w zapobieganiu krwawieniu dziąseł. Regularne szczotkowanie zębów, najlepiej pastą zawierającą fluor, pomaga w usuwaniu płytki nazębnej, która jest główną przyczyną stanów zapalnych. Używanie nici dentystycznej pozwala dotrzeć do miejsc, które są niedostępne dla szczoteczki, co znacząco zmniejsza ryzyko krwawienia. Dodatkowo, regularne wizyty u dentysty co najmniej raz na sześć miesięcy są niezbędne, aby monitorować stan zdrowia jamy ustnej i wprowadzać ewentualne zmiany w pielęgnacji.
Dieta wspierająca zdrowie dziąseł i ich regenerację
Odpowiednia dieta jest niezbędna dla zdrowia dziąseł. Spożywanie pokarmów bogatych w witaminę C (np. pomarańcze, truskawki) wspiera produkcję kolagenu, co jest kluczowe dla zdrowia tkanek dziąseł. Witamina D, obecna w rybach i produktach mlecznych, wspomaga wchłanianie wapnia, co jest istotne dla zdrowia zębów i kości. Warto również wprowadzić do diety pokarmy bogate w cynk, takie jak orzechy i nasiona, które mają działanie przeciwzapalne i wspierają regenerację tkanek. Taka zbilansowana dieta może znacząco wpłynąć na kondycję dziąseł i ich odporność na choroby.

Kiedy zgłosić się do specjalisty w przypadku krwawienia
W przypadku krwawienia dziąseł istotne jest, aby zwracać uwagę na objawy, które mogą wskazywać na potrzebę interwencji specjalisty. Jeśli krwawienie utrzymuje się przez dłuższy czas, nawet po zastosowaniu domowych metod, należy jak najszybciej udać się do dentysty. Niekiedy towarzyszą mu inne objawy, takie jak silny ból lub opuchlizna, które mogą sugerować poważniejsze problemy zdrowotne. Ignorowanie tych symptomów może prowadzić do dalszych komplikacji, takich jak zaawansowana choroba przyzębia.
Inne niepokojące objawy to krwawienie podczas szczotkowania lub nitkowania zębów, które mogą wskazywać na stan zapalny dziąseł. Jeśli zauważysz, że dziąsła krwawią przy minimalnym nacisku, warto skonsultować się ze specjalistą. Wczesna diagnoza i odpowiednie leczenie są kluczowe dla zachowania zdrowia jamy ustnej i zapobiegania poważnym schorzeniom w przyszłości.
Objawy wymagające pilnej interwencji stomatologicznej
Niektóre objawy wymagają natychmiastowej interwencji stomatologicznej. Silny ból w obrębie dziąseł lub zębów, który nie ustępuje, to sygnał, że należy jak najszybciej zgłosić się do dentysty. Utrzymujące się krwawienie, zwłaszcza po szczotkowaniu, również wskazuje na potrzebę pilnej wizyty. Dodatkowo, jeśli zauważysz opuchliznę lub zmiany w kolorze dziąseł, mogą to być oznaki poważniejszych problemów zdrowotnych, które wymagają fachowej pomocy. W takich przypadkach nie należy zwlekać z wizytą u specjalisty, aby uniknąć dalszych komplikacji.
Możliwe terapie i zabiegi stomatologiczne na krwawienie
W przypadku krwawienia dziąseł, które nie ustępuje po zastosowaniu domowych metod, konieczne mogą być interwencje stomatologiczne. Jednym z podstawowych zabiegów jest profesjonalne oczyszczenie zębów, które polega na usunięciu płytki nazębnej i kamienia, co może znacząco poprawić stan zdrowia dziąseł. W niektórych przypadkach, gdy stan zapalny jest bardziej zaawansowany, lekarz może zalecić piaskowanie lub wygładzanie korzeni zębów, co pomaga w redukcji bakterii i przywróceniu zdrowia tkanek.
W sytuacjach, gdy krwawienie jest wynikiem zaawansowanej choroby przyzębia, mogą być konieczne bardziej inwazyjne procedury, takie jak leczenie chirurgiczne. Chirurgia może obejmować zabiegi mające na celu usunięcie zainfekowanej tkanki lub regenerację tkanek dziąseł. W ciężkich przypadkach lekarz może również przepisać antybiotyki, które pomogą zwalczyć infekcję. Kluczowe jest, aby nie ignorować objawów i skonsultować się z dentystą, aby ustalić odpowiednią strategię leczenia.
Innowacyjne metody wspierające zdrowie dziąseł w przyszłości
W miarę postępu technologii, pojawiają się nowe, innowacyjne metody wspierające zdrowie dziąseł, które mogą zrewolucjonizować sposób, w jaki podchodzimy do profilaktyki i leczenia krwawiących dziąseł. Jednym z obiecujących kierunków są terapie regeneracyjne, takie jak zastosowanie komórek macierzystych, które mogą wspierać naturalne procesy gojenia i regeneracji tkanek. Badania nad wykorzystaniem komórek macierzystych w stomatologii pokazują, że mogą one pomóc w odbudowie uszkodzonych dziąseł oraz poprawie ich kondycji.
Dodatkowo, rozwój technologii drukowania 3D w stomatologii otwiera nowe możliwości w zakresie tworzenia spersonalizowanych aparatów ortodontycznych oraz implantów, które mogą lepiej dostosować się do indywidualnych potrzeb pacjentów. W przyszłości, połączenie tych nowoczesnych technik z tradycyjnymi metodami leczenia może przynieść jeszcze lepsze rezultaty w walce z problemami zdrowotnymi dziąseł, zapewniając pacjentom skuteczniejsze i mniej inwazyjne opcje leczenia.






