Przerost dziąseł to schorzenie, które może dotknąć wiele osób, a jego objawy mogą być nie tylko nieprzyjemne, ale również niebezpieczne dla zdrowia jamy ustnej. Zmiany w tkankach dziąseł mogą przybierać różne formy, od łagodnych do poważnych, gdzie dziąsła całkowicie zakrywają korony zębów. Warto zrozumieć, jak wygląda przerost dziąseł, aby móc szybko zareagować i zapobiec dalszym komplikacjom.
W niniejszym artykule omówimy objawy oraz zmiany zachodzące w dziąsłach przy przerostach, a także rodzaje tego schorzenia. Zrozumienie przyczyn przerostu dziąseł oraz dostępnych metod leczenia pomoże w skutecznym zarządzaniu tym problemem. Wiedza na ten temat jest kluczowa, aby zachować zdrowie jamy ustnej i uniknąć poważniejszych powikłań.
Najistotniejsze informacje:
- Przerost dziąseł to patologiczne zwiększenie objętości tkanek, które może mieć różne formy i objawy.
- Zmiany w kolorze i konsystencji dziąseł mogą wskazywać na poważne problemy zdrowotne.
- Istnieją różne typy przerostu dziąseł, takie jak przerost brodawkowy i marginalny, które różnią się wyglądem i lokalizacją.
- Czynniki ryzyka obejmują hormonalne zmiany, leki oraz złe nawyki higieniczne.
- Dostępne są zarówno domowe sposoby, jak i profesjonalne metody leczenia przerostu dziąseł.
Przerost dziąseł: Objawy i charakterystyka zmian w jamie ustnej
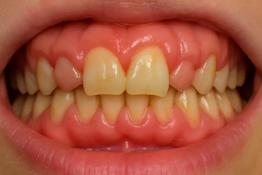
Przerost dziąseł to patologiczne zwiększenie objętości tkanek dziąseł, które może występować w różnych formach. Osoby z tym schorzeniem mogą zauważyć, że ich dziąsła stają się czerwone lub ciemnoczerwone, a także nierówne i odstające od zębów. W miarę postępu przerostu, dziąsła mogą całkowicie przykrywać korony zębów, co prowadzi do wizualnego skrócenia zębów. W przypadku zaawansowanego przerostu, dziąsła mogą przybierać siwy odcień, co jest sygnałem do natychmiastowej interwencji.
Osoby z przerostem dziąseł często doświadczają krwawienia podczas szczotkowania zębów lub jedzenia twardych pokarmów. Może to być związane z stanem zapalnym dziąseł, który prowadzi do bólu i nadwrażliwości. Ważne jest, aby zrozumieć, że zmiany w kształcie, konsystencji i kolorze dziąseł są istotnymi objawami, które mogą wskazywać na poważniejsze problemy zdrowotne, takie jak uszkodzenie przyzębia czy utrata zębów.
Jak wygląda przerost dziąseł i jego wizualne cechy?
Przerost dziąseł charakteryzuje się wyraźnymi zmianami wizualnymi. Dziąsła zdrowe są różowe, gładkie i ściśle przylegają do zębów. W przypadku przerostu, mogą one stać się grube i opuchnięte, a ich kształt może ulegać deformacji. Osoby z przerostem dziąseł mogą dostrzegać, że dziąsła odstają od zębów i tworzą kieszonki, co jest niepokojącym objawem. W bardziej zaawansowanych przypadkach, dziąsła mogą całkowicie zakrywać zęby, co wpływa na estetykę uśmiechu.
Zmiany w kolorze i konsystencji dziąseł przy przerostach
Kolor dziąseł jest jednym z kluczowych wskaźników ich zdrowia. Przy przerostach, zmiany koloru mogą obejmować przejście od naturalnego różowego do czerwonego, a nawet niebieskawego odcienia. Dodatkowo, konsystencja dziąseł może zmieniać się z gładkiej na nierówną i szorstką. Te zmiany są istotne, ponieważ mogą wskazywać na stan zapalny, który wymaga uwagi stomatologa. Regularne monitorowanie tych objawów pozwala na wczesne wykrycie problemów zdrowotnych i podjęcie odpowiednich działań.
- Przerost dziąseł prowadzi do ich czerwonego lub ciemnoczerwonego zabarwienia.
- Wizualne cechy przerostu obejmują nierówności oraz odstające dziąsła.
- Zmiany koloru mogą wskazywać na poważne problemy zdrowotne.
Rodzaje przerostu dziąseł: Co warto wiedzieć o ich typach?
Przerost dziąseł można podzielić na kilka typów, z których każdy ma swoje unikalne cechy. Wśród najczęściej występujących rodzajów wyróżniamy przerost brodawkowy oraz marginalny. Każdy z tych typów różni się zarówno wyglądem, jak i lokalizacją w jamie ustnej, co sprawia, że ich identyfikacja jest kluczowa dla dalszego postępowania.
Przerost brodawkowy ogranicza się głównie do brodawek międzyzębowych, co sprawia, że jego wygląd jest specyficzny. Z kolei przerost marginalny dotyczy głównie dziąseł brzeżnych, co również wpływa na jego charakterystykę. Zrozumienie różnic między tymi typami przerostu jest istotne, aby móc skutecznie monitorować zmiany w jamie ustnej i podjąć odpowiednie kroki, gdy zajdzie taka potrzeba.
Przerost brodawkowy: Specyfika i wygląd
Przerost brodawkowy charakteryzuje się powiększeniem tkanek w obszarze brodawek międzyzębowych. Zmiany te mogą przybierać formę małych, wypukłych guzków, które są wyraźnie widoczne pomiędzy zębami. Dziąsła w tym przypadku mogą być czerwone, a ich powierzchnia często jest gładka. Przerost brodawkowy występuje zazwyczaj w miejscach, gdzie gromadzą się resztki pokarmowe, co może prowadzić do podrażnień i dalszego rozwoju stanu zapalnego.
Przerost marginalny: Cechy i różnice w wyglądzie
Przerost marginalny dotyczy głównie dziąseł brzeżnych, które otaczają zęby. W tym przypadku dziąsła stają się grubsze i mogą występować w formie nierównych wałków otaczających zęby. Przerost ten może sprawiać wrażenie, że dziąsła "przykrywają" zęby, co wpływa na estetykę uśmiechu. W przeciwieństwie do przerostu brodawkowego, zmiany te nie ograniczają się do przestrzeni międzyzębowych, co czyni je bardziej rozległymi i zauważalnymi w całej jamie ustnej.
| Typ przerostu | Lokalizacja | Wygląd |
|---|---|---|
| Przerost brodawkowy | Brodawek międzyzębowych | Małe, wypukłe guzki, czerwone, gładkie |
| Przerost marginalny | Dziąsła brzeżne | Nierówne wałki, grubsze, mogą przykrywać zęby |
Czytaj więcej: Jak wyglądają zdjęcia raka dziąseł? Objawy, które mogą zaniepokoić
Przyczyny przerostu dziąseł: Dlaczego występuje ta dolegliwość?
Przerost dziąseł może być wynikiem wielu czynników, które wpływają na zdrowie jamy ustnej. Hormonalne zmiany są jednym z głównych powodów, dla których dochodzi do zwiększenia objętości tkanek dziąseł. Na przykład, zmiany hormonalne związane z ciążą, menstruacją czy menopauzą mogą prowadzić do nadmiernego wzrostu dziąseł. Ponadto, skutki uboczne leków, takich jak niektóre leki przeciwpadaczkowe czy immunosupresyjne, mogą również przyczynić się do tego problemu. Z kolei niewłaściwa higiena jamy ustnej sprzyja gromadzeniu się płytki nazębnej, co może prowadzić do stanu zapalnego i przerostu dziąseł.
Warto również zwrócić uwagę na czynniki genetyczne, które mogą predysponować niektóre osoby do rozwoju przerostu dziąseł. Osoby z rodzinną historią chorób przyzębia są bardziej narażone na ten problem. Dodatkowo, niektóre schorzenia, takie jak cukrzyca, mogą zwiększać ryzyko przerostu dziąseł poprzez wpływ na ogólny stan zdrowia jamy ustnej. Zrozumienie tych przyczyn jest kluczowe dla zapobiegania przerostowi dziąseł i utrzymania zdrowia jamy ustnej.
Czynniki ryzyka i ich wpływ na zdrowie dziąseł
Istnieje wiele czynników ryzyka, które mogą prowadzić do przerostu dziąseł. Genetyka odgrywa ważną rolę, ponieważ osoby z rodzinną historią problemów z dziąsłami są bardziej podatne na ten stan. Również choroby przewlekłe, takie jak cukrzyca, mogą negatywnie wpływać na zdrowie dziąseł, zwiększając ryzyko ich przerostu. Dodatkowo, niewłaściwe nawyki żywieniowe i brak odpowiedniej higieny jamy ustnej mogą sprzyjać rozwojowi płytki nazębnej, co przyczynia się do stanu zapalnego. Zrozumienie tych czynników ryzyka może pomóc w podjęciu działań zapobiegawczych i utrzymaniu zdrowych dziąseł.

Leczenie przerostu dziąseł: Jakie metody są najskuteczniejsze?
Istnieje wiele metod leczenia przerostu dziąseł, które można podzielić na domowe sposoby oraz profesjonalne terapie. Domowe metody, takie jak płukanie jamy ustnej solą, mogą przynieść ulgę i zmniejszyć stan zapalny. Na przykład, mieszanka ciepłej wody z solą może pomóc w łagodzeniu dyskomfortu i przyspieszeniu procesu gojenia. Inne popularne domowe sposoby to stosowanie oleju kokosowego do płukania ust oraz ziołowe napary, takie jak napar z rumianku, które mają działanie przeciwzapalne.
W przypadku bardziej zaawansowanego przerostu dziąseł, profesjonalne metody leczenia mogą być konieczne. Stomatolodzy często zalecają skaling, czyli usuwanie płytki nazębnej i kamienia nazębnego, co pomaga w redukcji stanu zapalnego. W niektórych przypadkach może być potrzebna chirurgia, aby usunąć nadmiar tkanki dziąsłowej. Zastosowanie laserów w stomatologii również staje się coraz bardziej popularne, ponieważ pozwala na precyzyjne usunięcie zmienionych tkanek bez uszkadzania okolicznych zdrowych dziąseł.
Domowe sposoby na łagodzenie objawów przerostu dziąseł
Wiele osób decyduje się na domowe sposoby jako pierwszą linię obrony w walce z przerostem dziąseł. Płukanie jamy ustnej solą to jedna z najprostszych i najskuteczniejszych metod, która pomaga w łagodzeniu bólu i redukcji stanu zapalnego. Dodatkowo, stosowanie oleju kokosowego do płukania ust, znane jako oil pulling, może pomóc w usuwaniu bakterii i poprawie zdrowia jamy ustnej. Inne ziołowe napary, takie jak napar z rumianku czy szałwii, również mają właściwości przeciwzapalne i mogą przynieść ulgę. Warto również zwrócić uwagę na zdrową dietę, bogatą w witaminy i minerały, które wspierają zdrowie dziąseł.
- Płukanie jamy ustnej solą: łagodzi ból i stan zapalny.
- Olej kokosowy: skuteczne w usuwaniu bakterii.
- Napar z rumianku: działa przeciwzapalnie i kojąco.
Profesjonalne metody leczenia: Co oferuje stomatologia?
W przypadku przerostu dziąseł, profesjonalne metody leczenia są kluczowe dla przywrócenia zdrowia jamy ustnej. Stomatolodzy oferują różnorodne terapie, które mogą skutecznie zredukować przerost tkanki dziąsłowej. Jedną z najczęściej stosowanych metod jest skaling, który polega na usuwaniu płytki nazębnej i kamienia nazębnego, co pomaga w redukcji stanu zapalnego. W bardziej zaawansowanych przypadkach, lekarze mogą zalecić chirurgiczne usunięcie nadmiaru dziąseł, co pozwala na przywrócenie prawidłowej anatomii jamy ustnej.
Inną skuteczną metodą jest terapia periodontalna, która obejmuje bardziej złożone zabiegi mające na celu leczenie chorób przyzębia. W niektórych przypadkach stosuje się również lasery, które umożliwiają precyzyjne usunięcie zmienionych tkanek bez uszkadzania zdrowych dziąseł. Takie podejście minimalizuje ból i przyspiesza proces gojenia. Wybór odpowiedniej metody leczenia zależy od stopnia zaawansowania przerostu oraz indywidualnych potrzeb pacjenta.
Innowacyjne podejścia w zapobieganiu przerostowi dziąseł
W miarę jak świadomość zdrowia jamy ustnej rośnie, innowacyjne podejścia do zapobiegania przerostowi dziąseł stają się coraz bardziej popularne. Jednym z takich podejść jest wykorzystanie technologii cyfrowych w stomatologii, takich jak skanery 3D i oprogramowanie do analizy stanu zdrowia dziąseł. Te narzędzia pozwalają stomatologom na dokładne monitorowanie zmian w jamie ustnej, co umożliwia wczesne wykrycie problemów i skuteczniejsze planowanie leczenia. Dzięki tym technologiom pacjenci mogą być lepiej informowani o swoim stanie zdrowia i podejmować świadome decyzje dotyczące pielęgnacji jamy ustnej.
Dodatkowo, personalizowane programy higieny oparte na analizach genetycznych i mikrobiologicznych stają się coraz bardziej dostępne. Takie programy pozwalają na dostosowanie strategii pielęgnacji jamy ustnej do indywidualnych potrzeb pacjenta, co może znacznie zmniejszyć ryzyko przerostu dziąseł. W przyszłości, integracja tych nowoczesnych technik z tradycyjnymi metodami leczenia może zrewolucjonizować sposób, w jaki podchodzimy do zdrowia dziąseł, czyniąc je bardziej skutecznymi i spersonalizowanymi.






