Czym płukać dziąsła w ciąży, aby uniknąć bólu i problemów? To pytanie nurtuje wiele przyszłych mam, które pragną zadbać o swoje zdrowie jamy ustnej oraz bezpieczeństwo swojego dziecka. W czasie ciąży szczególnie ważne jest, aby stosować płukanki, które są bezpieczne i łagodne dla dziąseł. Wybór odpowiednich produktów może pomóc w zapobieganiu problemom z dziąsłami, takim jak stan zapalny czy krwawienie. W artykule omówimy, jakie płukanki są zalecane, a także jakie składniki powinny być w nich obecne.
Warto zwrócić uwagę na płukanki bezalkoholowe, które są najlepszym wyborem dla kobiet w ciąży. Dodatkowo, składniki takie jak fluor, szałwia, rumianek i mięta mogą przynieść ulgę i wspierać zdrowie jamy ustnej. Pamiętajmy, że niektóre płukanki, takie jak te z chlorheksydyną, powinny być stosowane tylko na zalecenie stomatologa.
Kluczowe informacje:
- Płukanki bezalkoholowe są najbezpieczniejsze dla kobiet w ciąży.
- Fluor jest ważnym składnikiem, który pomaga w zapobieganiu próchnicy.
- Herbatki ziołowe, takie jak szałwia i rumianek, mają właściwości przeciwzapalne.
- Mięta może łagodzić ból dziąseł i przynosić ulgę w dyskomforcie.
- Chlorheksydyna powinna być stosowana tylko na zalecenie dentysty w II i III trymestrze.
- Kora dębu może być pomocna w przypadku krwawienia dziąseł.
Jakie płukanki do dziąseł są bezpieczne w ciąży i dlaczego?
W czasie ciąży zdrowie jamy ustnej jest niezwykle ważne, dlatego warto zwrócić uwagę na płukanki do dziąseł, które są bezpieczne dla przyszłych mam. Zaleca się stosowanie płynów, które są bezalkoholowe i nie zawierają szkodliwych chemikaliów. Unikanie alkoholu w płynach do płukania jest kluczowe, ponieważ może on wpływać negatywnie na zdrowie zarówno matki, jak i rozwijającego się płodu. Wybierając płukanki, warto zwrócić uwagę na ich skład, aby były łagodne dla dziąseł i jednocześnie skuteczne w zapobieganiu problemom zdrowotnym.
Bezpieczne płukanki powinny zawierać składniki, które wspierają zdrowie jamy ustnej, takie jak fluor, który pomaga w zapobieganiu próchnicy i zmniejsza płytkę nazębną. Płukanki z dodatkiem ziół, takich jak szałwia czy rumianek, również mogą przynieść ulgę w stanach zapalnych, jednak w tej sekcji skupimy się na płynach bezalkoholowych. Warto pamiętać, że wszystkie płukanki powinny być wolne od SLS (Sodium Laureth Sulfate), aby zapewnić bezpieczeństwo ich stosowania w czasie ciąży.
Płukanki bezalkoholowe jako najlepszy wybór dla kobiet w ciąży
Płukanki bezalkoholowe są uważane za najlepszy wybór dla kobiet w ciąży, ponieważ są bezpieczne i łagodne dla dziąseł. Alkohol w płynach do płukania jamy ustnej może powodować podrażnienia i nie jest zalecany w tym szczególnym okresie. Wiele kobiet korzysta z produktów, które zawierają składniki wspomagające zdrowie jamy ustnej, a jednocześnie są bezpieczne dla płodu. Przykłady takich płukanek to:
- Elmex Mouthwash - płyn do płukania z fluorem, który wzmacnia szkliwo i zapobiega próchnicy.
- Oral-B Pro-Expert - bezalkoholowy płyn, który pomaga w redukcji płytki nazębnej i dba o zdrowie dziąseł.
- Colgate Plax - płyn do płukania jamy ustnej, który nie zawiera alkoholu i ma właściwości odświeżające.
| Nazwa produktu | Kluczowe składniki |
| Elmex Mouthwash | Fluor, bezalkoholowy |
| Oral-B Pro-Expert | Bezalkoholowy, składniki przeciwpłytkowe |
| Colgate Plax | Odświeżające, bezalkoholowy |
Dlaczego fluor jest ważny w płukankach dla przyszłych mam?
Fluor jest kluczowym składnikiem, który odgrywa istotną rolę w ochronie zdrowia jamy ustnej, zwłaszcza w czasie ciąży. Pomaga w zapobieganiu próchnicy poprzez wzmacnianie szkliwa zębów, co jest szczególnie ważne, gdy organizm kobiety przechodzi wiele zmian hormonalnych. Płukanki zawierające fluor mogą także zmniejszać ryzyko płytki nazębnej, co jest istotne dla utrzymania zdrowych dziąseł i zębów.
Stosowanie płukanek z fluorem w czasie ciąży jest zalecane, ponieważ skutecznie chronią one zęby przed demineralizacją. Regularne płukanie jamy ustnej tymi produktami może pomóc w utrzymaniu zdrowia jamy ustnej, co jest kluczowe dla ogólnego samopoczucia matki i rozwijającego się dziecka. Warto jednak pamiętać, że nadmiar fluoru może być szkodliwy, dlatego należy stosować płukanki zgodnie z zaleceniami.
Ziołowe płukanki na dziąsła: naturalne wsparcie w ciąży
Wiele kobiet w ciąży sięga po ziołowe płukanki, które oferują naturalne wsparcie dla zdrowia jamy ustnej. Zioła takie jak szałwia, rumianek i mięta mają właściwości, które mogą pomóc w łagodzeniu stanów zapalnych i bólu dziąseł. Szałwia działa antyseptycznie, co sprawia, że jest skuteczna w walce z bakteriami w jamie ustnej. Rumianek z kolei ma działanie przeciwzapalne i przeciwbólowe, co czyni go doskonałym wyborem dla kobiet z wrażliwymi dziąsłami.
Mięta jest znana ze swojego działania odświeżającego i łagodzącego, co czyni ją popularnym składnikiem płukanek. Płukanki ziołowe są nie tylko skuteczne, ale również bezpieczne dla kobiet w ciąży, o ile są stosowane w odpowiednich proporcjach. Warto jednak pamiętać, że każda kobieta jest inna, dlatego przed rozpoczęciem stosowania jakiejkolwiek płukanki ziołowej warto skonsultować się z lekarzem.Korzyści z używania szałwii i rumianku w płukankach
Szałwia i rumianek to zioła, które mają wiele korzyści zdrowotnych, szczególnie w kontekście zdrowia jamy ustnej. Szałwia działa antyseptycznie, co oznacza, że pomaga w zwalczaniu bakterii i zapobiega infekcjom w jamie ustnej. Dzięki swoim właściwościom kojącym, szałwia może również łagodzić podrażnienia dziąseł, co jest istotne dla kobiet w ciąży, które mogą doświadczać wrażliwości w tym obszarze. Rumianek z kolei ma działanie przeciwzapalne i przeciwbólowe, co czyni go doskonałym wyborem dla osób z bolącymi dziąsłami.
Oba zioła mogą być stosowane w formie płukanek, co przynosi ulgę i wspiera zdrowie jamy ustnej. Płukanki z szałwii i rumianku mogą pomóc w zapobieganiu stanom zapalnym oraz w łagodzeniu dyskomfortu, co jest szczególnie ważne w czasie ciąży. Warto jednak pamiętać, że każda osoba jest inna, dlatego przed rozpoczęciem stosowania jakiejkolwiek płukanki ziołowej warto skonsultować się z lekarzem.
Jak miętowe płukanki mogą pomóc w łagodzeniu bólu?
Mięta jest znana ze swojego działania odświeżającego i łagodzącego, co czyni ją popularnym składnikiem płukanek do jamy ustnej. Płukanki z miętą mogą przynieść ulgę kobietom w ciąży, które doświadczają bólu dziąseł lub dyskomfortu. Działanie miętowe może pomóc w złagodzeniu bólu poprzez działanie chłodzące, które zmniejsza wrażliwość zakończeń nerwowych w jamie ustnej. Co więcej, mięta ma właściwości antybakteryjne, co dodatkowo wspiera zdrowie jamy ustnej.
Stosowanie płukanek miętowych jest łatwe i przyjemne, a ich regularne stosowanie może przyczynić się do poprawy ogólnego samopoczucia. Dzięki odświeżającemu zapachowi, płukanki z miętą mogą również poprawić świeżość oddechu, co jest istotne dla kobiet w ciąży. Warto jednak pamiętać, aby nie stosować ich w nadmiarze, aby uniknąć ewentualnych podrażnień.

Czytaj więcej: Dlaczego boli dziąsło po wyrwaniu zęba? Oto co musisz wiedzieć
Kiedy warto skonsultować się z dentystą w ciąży?
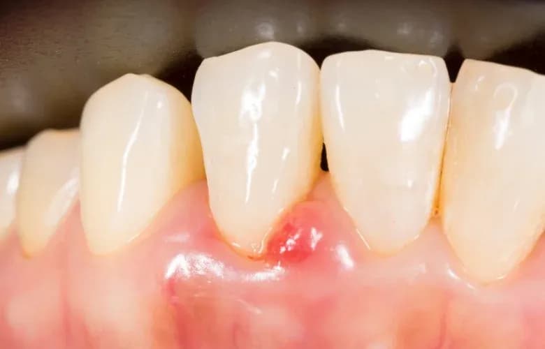
W czasie ciąży zmiany hormonalne mogą wpływać na zdrowie jamy ustnej, dlatego ważne jest, aby być czujnym na wszelkie objawy, które mogą wymagać konsultacji z dentystą. Kobiety w ciąży powinny zwrócić uwagę na krwawienie dziąseł, które może być oznaką zapalenia dziąseł. Jeśli krwawienie występuje regularnie lub jest intensywne, warto jak najszybciej udać się do specjalisty. Również ból zębów lub dziąseł, który nie ustępuje po zastosowaniu domowych środków zaradczych, jest sygnałem, że należy skonsultować się z dentystą.Inne objawy, które powinny skłonić do wizyty u dentysty, to opuchlizna dziąseł oraz zmiany w odczuciach smakowych, które mogą wskazywać na infekcję. Regularne kontrole stomatologiczne są również zalecane, aby monitorować stan zdrowia jamy ustnej w trakcie ciąży. Warto pamiętać, że zdrowie jamy ustnej ma istotny wpływ na ogólne zdrowie matki i rozwijającego się dziecka, dlatego nie należy ignorować żadnych niepokojących objawów.
Chlorheksydyna: kiedy i jak ją stosować w ciąży?
Chlorheksydyna jest płynem do płukania jamy ustnej, który może być stosowany w czasie ciąży, ale tylko na zalecenie dentysty. Jest to środek antyseptyczny, który pomaga w zwalczaniu bakterii i zmniejszaniu stanów zapalnych w jamie ustnej. Stosowanie chlorheksydyny jest wskazane w przypadku poważnych problemów z dziąsłami, takich jak zapalenie dziąseł lub paradontoza. Ważne jest, aby przestrzegać zaleceń dotyczących dawkowania i częstotliwości stosowania, aby uniknąć potencjalnych skutków ubocznych, takich jak podrażnienia błony śluzowej jamy ustnej.Przed rozpoczęciem stosowania chlorheksydyny, należy upewnić się, że nie ma przeciwwskazań zdrowotnych. Kobiety w ciąży powinny być świadome, że nadmierne stosowanie tego środka może prowadzić do przebarwień zębów, dlatego ważne jest, aby używać go zgodnie z zaleceniami dentysty. W przypadku jakichkolwiek wątpliwości zawsze warto skonsultować się z lekarzem przed rozpoczęciem kuracji.
Objawy, które powinny skłonić do wizyty u stomatologa
W czasie ciąży zdrowie jamy ustnej jest niezwykle ważne, dlatego każda kobieta powinna być czujna na objawy, które mogą wymagać wizyty u dentysty. Severe gum bleeding to jeden z najważniejszych sygnałów, który powinien skłonić do szybkiej konsultacji. Jeśli krwawienie występuje regularnie lub jest intensywne, może to wskazywać na zapalenie dziąseł, które wymaga profesjonalnej interwencji. Ból zębów lub dziąseł, który nie ustępuje po zastosowaniu domowych środków, również jest powodem do niepokoju i powinien być skonsultowany z dentystą.
Inne objawy, które mogą wskazywać na potrzebę wizyty u stomatologa, to opuchlizna dziąseł oraz zmiany w odczuciach smakowych, które mogą sugerować infekcję. Również nieprzyjemny zapach z ust może być oznaką problemów zdrowotnych w jamie ustnej. Regularne kontrole stomatologiczne są zalecane, aby monitorować stan zdrowia jamy ustnej w trakcie ciąży i zapobiegać poważniejszym problemom.
- Krwawienie dziąseł: Regularne lub intensywne krwawienie może wskazywać na zapalenie dziąseł.
- Ból zębów: Utrzymujący się ból, który nie ustępuje, wymaga konsultacji z dentystą.
- Opuchlizna dziąseł: Może być oznaką infekcji lub zapalenia.
- Zmiany w odczuciach smakowych: Mogą sugerować problemy zdrowotne w jamie ustnej.
- Nieprzyjemny zapach z ust: Może być oznaką infekcji lub innego problemu zdrowotnego.
Jak dbać o zdrowie jamy ustnej w czasie ciąży: praktyczne wskazówki
Oprócz stosowania płukanek i regularnych wizyt u dentysty, istnieje wiele innych sposobów, aby zadbać o zdrowie jamy ustnej w czasie ciąży. Odpowiednia dieta jest kluczowa — warto wprowadzić do swojego jadłospisu pokarmy bogate w wapń, takie jak nabiał, orzechy i zielone warzywa liściaste, które wspierają zdrowie zębów i dziąseł. Unikanie nadmiaru cukrów prostych oraz kwasów, które mogą prowadzić do erozji szkliwa, również przyczyni się do utrzymania zdrowej jamy ustnej.
Warto także rozważyć techniki relaksacyjne, takie jak joga czy medytacja, które mogą pomóc w redukcji stresu. Zmniejszenie poziomu stresu może pozytywnie wpłynąć na zdrowie jamy ustnej, ponieważ stres jest często związany z problemami z dziąsłami. Pamiętajmy, że zdrowie psychiczne i fizyczne są ze sobą powiązane, a dbanie o siebie w czasie ciąży przynosi korzyści nie tylko matce, ale również dziecku.






