Oprócz domowych sposobów, takich jak naturalne płukanki czy zioła, omówimy również profesjonalne metody leczenia, które mogą być konieczne w bardziej zaawansowanych przypadkach. Dzięki odpowiednim produktom i zabiegom, można nie tylko złagodzić ból, ale również zapobiec dalszym problemom zdrowotnym związanym z dziąsłami.
Kluczowe informacje:
- Regularne szczotkowanie zębów i używanie nici dentystycznej są kluczowe w leczeniu zapalenia dziąseł.
- Profesjonalne czyszczenie zębów przez dentystę może pomóc w usunięciu płytki nazębnej i kamienia.
- Domowe sposoby, takie jak naturalne płukanki, mogą przynieść ulgę w bólu dziąseł.
- W przypadku zaawansowanego zapalenia, mogą być konieczne leki przeciwzapalne lub antybiotyki.
- Warto skonsultować się z dentystą, jeśli występują objawy wymagające natychmiastowej interwencji.
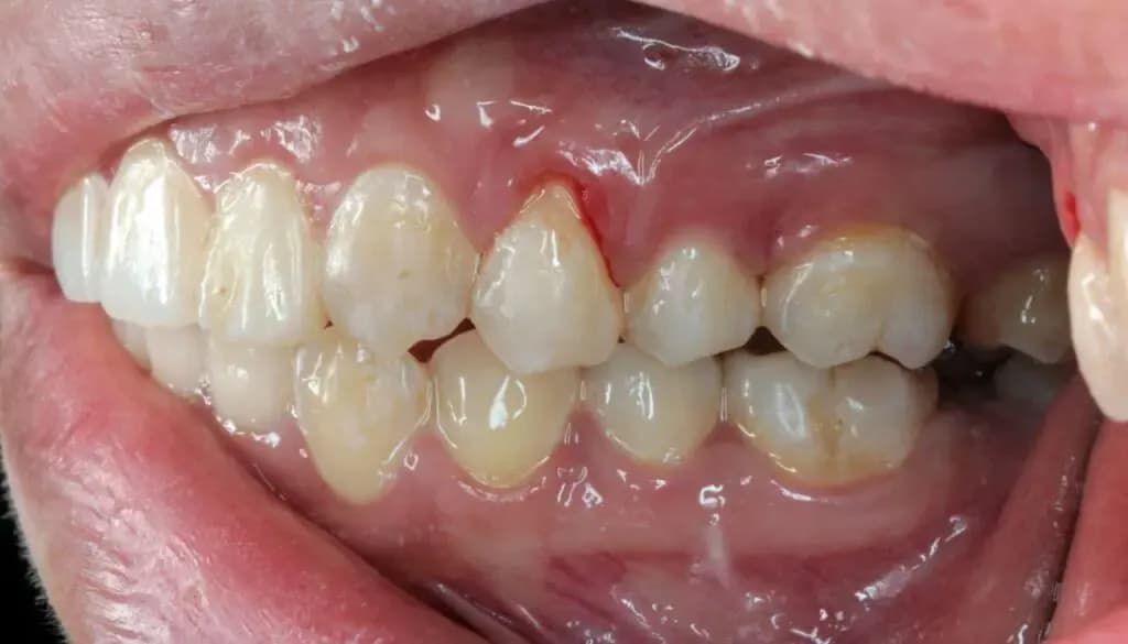
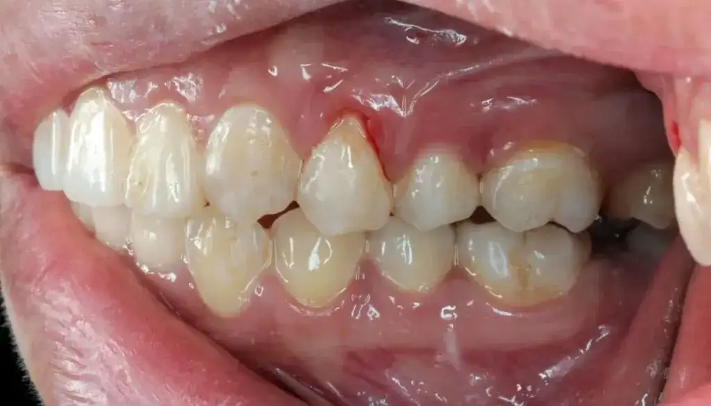
Jak poprawić higienę jamy ustnej, aby leczyć zapalenie dziąseł
Aby skutecznie leczyć zapalenie dziąseł, kluczowe jest dbanie o higienę jamy ustnej. Regularne szczotkowanie zębów, używanie nici dentystycznej oraz płukanie jamy ustnej to podstawowe działania, które pomagają w eliminacji bakterii i płytki nazębnej, które są główną przyczyną stanu zapalnego. Właściwa higiena jamy ustnej może znacząco poprawić stan dziąseł i zapobiec dalszym problemom zdrowotnym.Warto pamiętać, że zapalenie dziąseł można leczyć nie tylko w gabinecie dentystycznym, ale również poprzez codzienne nawyki. Używanie odpowiednich narzędzi, takich jak irygatory czy szczoteczki międzyzębowe, może wspierać codzienną pielęgnację. Dzięki tym prostym krokom można znacząco wpłynąć na zdrowie dziąseł oraz ogólną kondycję jamy ustnej.
Regularne szczotkowanie zębów jako klucz do zdrowia dziąseł
Regularne szczotkowanie zębów jest fundamentem zdrowia jamy ustnej. Zaleca się szczotkowanie co najmniej dwa razy dziennie przez około 2 minuty. Warto używać miękkiej szczoteczki do zębów, która nie podrażnia dziąseł, oraz pasty zawierającej fluor, która wzmacnia szkliwo. Technika szczotkowania powinna obejmować delikatne ruchy okrężne, aby skutecznie usunąć płytkę nazębną.
Znaczenie używania nici dentystycznej i irygatorów
Używanie nici dentystycznej oraz irygatorów jest niezwykle ważne w utrzymaniu zdrowia dziąseł. Nici dentystyczne pomagają w usuwaniu resztek pokarmowych i płytki nazębnej z przestrzeni międzyzębowych, które są trudno dostępne dla szczoteczki. Irygatory natomiast, za pomocą strumienia wody, skutecznie wypłukują zanieczyszczenia i bakterie, co przyczynia się do redukcji stanu zapalnego. Regularne stosowanie tych narzędzi znacznie poprawia higienę jamy ustnej i wspiera zdrowie dziąseł.
Domowe sposoby na zapalenie dziąseł, które przynoszą ulgę
W przypadku zapalenia dziąseł, istnieje wiele domowych sposobów, które mogą przynieść ulgę i wspierać proces gojenia. Naturalne płukanki do ust oraz ziołowe kuracje są skutecznymi metodami, które mogą złagodzić ból i stan zapalny. Warto jednak pamiętać, że te metody nie zastępują profesjonalnego leczenia, ale mogą być doskonałym uzupełnieniem codziennej pielęgnacji jamy ustnej.
Niektóre z najpopularniejszych domowych sposobów obejmują płukanki z soli, sody oczyszczonej oraz ziołowych naparów. Te proste rozwiązania są łatwe do przygotowania i mogą przynieść natychmiastową ulgę. Poniżej przedstawiamy listę skutecznych domowych remediów, które warto wypróbować.
- Płukanka z soli: Rozpuść 1 łyżeczkę soli w szklance ciepłej wody i płucz usta przez 30 sekund. Pomaga to w redukcji stanu zapalnego i bólu.
- Płukanka z sody oczyszczonej: Wymieszaj 1 łyżeczkę sody oczyszczonej w szklance ciepłej wody. Płukanie tym roztworem neutralizuje kwasy i łagodzi podrażnienia.
- Napar z rumianku: Zaparz torebkę rumianku w szklance wrzącej wody i po ostudzeniu użyj jako płukanki. Rumianek ma właściwości przeciwzapalne i łagodzące.
- Płukanka z octu jabłkowego: Wymieszaj 1 łyżkę octu jabłkowego z szklanką wody. Płukanie tym roztworem może pomóc w zwalczaniu bakterii.
Naturalne płukanki do ust jako remedium na ból
Naturalne płukanki do ust są doskonałym sposobem na łagodzenie bólu związanym z zapaleniem dziąseł. Płukanki te działają na zasadzie eliminacji bakterii oraz redukcji stanu zapalnego. Płukanka z soli, na przykład, nie tylko łagodzi ból, ale także pomaga w procesie gojenia dziąseł. Inne płukanki, takie jak te z rumianku czy sody oczyszczonej, również wykazują pozytywne efekty w walce z dyskomfortem.
Skuteczne zioła i oleje w leczeniu zapalenia dziąseł
W leczeniu zapalenia dziąseł skuteczne mogą być różne zioła i oleje eteryczne, które mają właściwości przeciwzapalne i antybakteryjne. Na przykład, olejek z drzewa herbacianego jest znany z działania przeciwzapalnego i może pomóc w redukcji bólu oraz obrzęku dziąseł. Inne zioła, takie jak rumianek, działają kojąco na podrażnione tkanki, a ich napar można stosować jako płukankę. Aloes również ma właściwości łagodzące, a jego żel może być aplikowany bezpośrednio na zmienione dziąsła, przynosząc ulgę i wspierając proces gojenia.
Niektóre z tych naturalnych środków mogą być stosowane samodzielnie lub w połączeniu z innymi terapiami, aby zwiększyć ich skuteczność. Na przykład, mieszanka olejku z drzewa herbacianego z olejem kokosowym może być używana jako naturalny środek do masażu dziąseł. Dzięki tym ziołowym i olejowym remediom można skutecznie wspomagać zdrowie dziąseł i łagodzić objawy zapalenia.
Jak przebiega profesjonalne czyszczenie zębów?
Profesjonalne czyszczenie zębów to kluczowy zabieg w utrzymaniu zdrowia jamy ustnej, szczególnie w przypadku zapalenia dziąseł. Proces ten zazwyczaj rozpoczyna się od dokładnego przeglądu stanu uzębienia przez dentystę lub higienistkę stomatologiczną. Następnie, za pomocą specjalistycznych narzędzi, takich jak skaler ultradźwiękowy, usuwane są płytka nazębna i kamień nazębny, które mogą prowadzić do stanu zapalnego. Po dokładnym oczyszczeniu zębów, często stosuje się również polerowanie, które wygładza powierzchnię zębów, co utrudnia osadzanie się bakterii.
Kiedy warto rozważyć leczenie farmakologiczne?
Leczenie farmakologiczne może być konieczne w przypadkach zaawansowanego zapalenia dziąseł, gdy domowe metody nie przynoszą efektów. W szczególności, jeśli występują objawy takie jak silny ból, ropienie czy krwawienie dziąseł, warto rozważyć zastosowanie antybiotyków. Leki te mogą pomóc w zwalczaniu infekcji bakteryjnej, która jest często przyczyną stanu zapalnego. W niektórych sytuacjach, lekarz może również zalecić stosowanie miejscowych leków przeciwzapalnych, które działają bezpośrednio na zmienione tkanki, przyspieszając proces gojenia.
Czytaj więcej: Jak długo goją się dziąsła pod protezę? Sprawdź, co musisz wiedzieć
Jakie produkty wspierają zdrowie dziąseł i ich regenerację?
Wybór odpowiednich produktów do pielęgnacji jamy ustnej jest kluczowy dla zdrowia dziąseł. Toothpaste i mouthwashes mogą znacząco wpłynąć na regenerację i ochronę dziąseł przed stanem zapalnym. Warto zwracać uwagę na skład produktów, aby zapewnić sobie maksymalne korzyści. Na przykład, pasty do zębów z dodatkiem fluor do wzmacniania szkliwa oraz składników przeciwzapalnych mogą pomóc w utrzymaniu zdrowia dziąseł. Oprócz tego, płyny do płukania ust, które zawierają składniki antybakteryjne, mogą skutecznie eliminować bakterie odpowiedzialne za zapalenie.Wybierając produkty do pielęgnacji jamy ustnej, warto również zwrócić uwagę na ich działanie regeneracyjne. Na rynku dostępne są pasty do zębów stworzone specjalnie dla osób z wrażliwymi dziąsłami, które zawierają składniki łagodzące. Dobrej jakości płyny do płukania ust mogą nie tylko odświeżać oddech, ale również wspierać zdrowie dziąseł, co jest szczególnie istotne w przypadku osób z tendencją do zapaleń. Poniżej znajduje się tabela porównawcza różnych produktów, które mogą wspierać zdrowie dziąseł.
| Nazwa produktu | Składniki | Korzyści |
|---|---|---|
| Pasta do zębów Sensodyne | Fluor, azotan potasu | Łagodzi wrażliwość zębów, wspiera zdrowie dziąseł |
| Pasta do zębów Elmex | Fluor, aminofluorek | Wzmacnia szkliwo, chroni przed próchnicą |
| Płyn do płukania ust Listerine | Alkohol, mentol, olejek eukaliptusowy | Redukuje bakterie, odświeża oddech |
| Płyn do płukania ust Corsodyl | Chlorheksydyna | Skutecznie zwalcza bakterie, wspiera gojenie dziąseł |
Jak dieta wpływa na zdrowie dziąseł i ich regenerację?
Oprócz stosowania odpowiednich produktów do pielęgnacji jamy ustnej, dieta ma kluczowe znaczenie dla zdrowia dziąseł. Spożywanie pokarmów bogatych w witaminy C i D oraz minerały, takie jak wapń i fosfor, może wspierać regenerację dziąseł i zapobiegać stanom zapalnym. Warto wprowadzić do swojej diety więcej świeżych owoców i warzyw, orzechów oraz produktów mlecznych, które wzmacniają szkliwo i wspierają zdrowie dziąseł.
W przyszłości, rozwój technologii żywieniowej może przynieść innowacyjne rozwiązania, takie jak suplementy diety zawierające składniki aktywne wspierające zdrowie jamy ustnej. Na przykład, probiotyki mogą pomóc w utrzymaniu równowagi mikroflory w jamie ustnej, co może zredukować ryzyko zapalenia dziąseł. Warto również zwrócić uwagę na nowoczesne badania nad naturalnymi ekstraktami roślinnymi, które mogą mieć działanie przeciwzapalne i wspomagać proces gojenia. Integracja zdrowej diety z odpowiednimi produktami do pielęgnacji jamy ustnej może przynieść znakomite efekty w walce z zapaleniem dziąseł.






