Warto również zwrócić uwagę na naturalne metody łagodzenia objawów, takie jak płukanki ziołowe. W przypadku silnego bólu lub dyskomfortu, dostępne są również leki przeciwzapalne, które mogą przynieść ulgę. Ignorowanie pierwszych objawów, takich jak zaczerwienienie czy krwawienie dziąseł, może prowadzić do poważniejszych problemów, w tym utraty zębów. Dlatego tak ważne jest, aby reagować na nie od razu.
Najistotniejsze informacje:
- Natychmiastowe działania w zakresie higieny jamy ustnej są kluczowe w leczeniu zapalenia dziąseł.
- Regularne szczotkowanie, nitkowanie i stosowanie płukanek antybakteryjnych mogą znacząco poprawić stan zdrowia dziąseł.
- Naturalne płukanki ziołowe, takie jak napar z rumianku czy szałwii, mają działanie przeciwzapalne.
- W przypadku silnego bólu można stosować leki przeciwzapalne dostępne bez recepty.
- Nie należy lekceważyć objawów zapalenia, ponieważ mogą prowadzić do poważniejszych problemów zdrowotnych.
- Konsultacja z dentystą jest niezbędna, aby zapobiec powikłaniom zdrowotnym.
Jak poprawić higienę jamy ustnej, aby leczyć zapalenie dziąseł?
Aby skutecznie leczyć zapalenie dziąseł, kluczowe jest podjęcie działań mających na celu poprawę higieny jamy ustnej. Regularne szczotkowanie zębów oraz nitkowanie to podstawowe czynności, które powinny stać się codziennym nawykiem. Właściwa technika szczotkowania oraz dobór odpowiednich produktów mogą znacząco wpłynąć na stan zdrowia dziąseł i zębów. Pamiętaj, że zapalenie dziąseł jest często wynikiem nagromadzenia płytki nazębnej, której można uniknąć poprzez staranną higienę.
Oprócz codziennego szczotkowania i nitkowania, warto również zainwestować w produkty, które wspierają zdrowie jamy ustnej. Wybierając szczoteczkę do zębów, warto postawić na model z delikatnym włosiem, który nie podrażni już wrażliwych dziąseł. Również płyny do płukania jamy ustnej o działaniu antybakteryjnym mogą pomóc w walce z zapaleniem. Regularne wizyty u dentysty są niezbędne, aby monitorować stan zdrowia jamy ustnej i wprowadzać ewentualne zmiany w pielęgnacji.
Regularne szczotkowanie i nitkowanie dla zdrowych dziąseł
Skuteczne szczotkowanie zębów powinno odbywać się co najmniej dwa razy dziennie, najlepiej rano i wieczorem. Używaj szczoteczki do zębów pod kątem 45 stopni do linii dziąseł i wykonuj delikatne, okrężne ruchy. Nie zapominaj o nitkowaniu, które powinno być wykonywane przynajmniej raz dziennie, aby usunąć resztki pokarmowe i płytkę nazębną z miejsc, do których nie dociera szczoteczka. Prawidłowe techniki szczotkowania i nitkowania nie tylko poprawiają zdrowie dziąseł, ale również wpływają na ogólną kondycję jamy ustnej.
Wybór odpowiednich produktów do pielęgnacji jamy ustnej
Wybierając produkty do pielęgnacji jamy ustnej, zwróć uwagę na skład pasty do zębów i płynów do płukania jamy ustnej. Szukaj past, które zawierają fluor, ponieważ wzmacnia on szkliwo zębów i pomaga w walce z próchnicą. Płyny do płukania jamy ustnej powinny mieć działanie antybakteryjne, a ich skład często zawiera składniki takie jak chlorheksydyna lub olejek z drzewa herbacianego, które skutecznie redukują stan zapalny. Dobrze dobrane produkty mogą znacznie wspierać proces leczenia zapalenia dziąseł.- Oto kilka rekomendowanych marek szczoteczek do zębów: Oral-B, Philips Sonicare, Curaprox.
- Wśród past do zębów warto zwrócić uwagę na Colgate Total, Sensodyne, Elmex.
- Płyny do płukania jamy ustnej, które warto wypróbować to Listerine, Corsodyl, Biotene.
Domowe sposoby na łagodzenie objawów zapalenia dziąseł
W przypadku zapalenia dziąseł, istnieje wiele domowych sposobów, które mogą pomóc złagodzić objawy i poprawić komfort. Naturalne metody, takie jak stosowanie płukanek ziołowych, mogą przynieść ulgę w bólu i stanach zapalnych. Warto również zwrócić uwagę na zmiany w diecie, które mogą wspierać zdrowie dziąseł. Wprowadzenie odpowiednich składników odżywczych może znacząco wpłynąć na proces leczenia.
Jednym z najprostszych sposobów na łagodzenie objawów zapalenia dziąseł jest stosowanie płukanek. Można przygotować je z łatwo dostępnych składników, takich jak zioła czy sól. Właściwe odżywianie również odgrywa kluczową rolę w zdrowiu jamy ustnej. Spożywanie pokarmów bogatych w witaminy i minerały, a jednocześnie unikanie tych, które mogą podrażniać dziąsła, pomoże w walce z zapaleniem.
Naturalne płukanki do ust, które przynoszą ulgę
Wśród skutecznych płukanek do ust, które mogą łagodzić objawy zapalenia dziąseł, można wymienić kilka sprawdzonych przepisów. Na przykład, napar z rumianku wykazuje działanie przeciwzapalne i może być stosowany jako płukanka, aby złagodzić podrażnienia. Kolejną opcją jest płukanka z szałwii, która również ma właściwości przeciwzapalne. Można przygotować ją, zalewając 2-3 łyżki szałwii wrzącą wodą i odczekując około 10 minut. Płukanka z soli rozpuszczonej w ciepłej wodzie to kolejny skuteczny sposób na zmniejszenie obrzęku i bólu.
| Przepis | Składniki | Korzyści |
|---|---|---|
| Napar z rumianku | 2 łyżki rumianku, 1 szklanka wrzącej wody | Działanie przeciwzapalne, łagodzenie podrażnień |
| Płukanka z szałwii | 2-3 łyżki szałwii, 1 szklanka wrzącej wody | Właściwości przeciwzapalne, wspomaganie gojenia |
| Płukanka z soli | 1 łyżeczka soli, 1 szklanka ciepłej wody | Zmniejszenie obrzęku, łagodzenie bólu |
Dieta wspierająca zdrowie dziąseł i jamy ustnej
Odpowiednia dieta jest kluczowa w walce z zapaleniem dziąseł. Spożywanie pokarmów bogatych w witaminę C, takich jak cytrusy, kiwi czy papryka, może wspierać zdrowie dziąseł. Orzechy oraz ryby dostarczają zdrowych tłuszczów i białka, które również korzystnie wpływają na stan jamy ustnej. Z drugiej strony, warto unikać pokarmów bogatych w cukry i kwasy, które mogą podrażniać dziąsła i sprzyjać rozwojowi płytki nazębnej. Zmiana diety na bardziej zrównoważoną może znacząco poprawić komfort i zdrowie dziąseł.
Czytaj więcej: Jak stosować olejek goździkowy na dziąsła, aby uniknąć bólu?
Jak rozpoznać wczesne objawy zapalenia dziąseł?
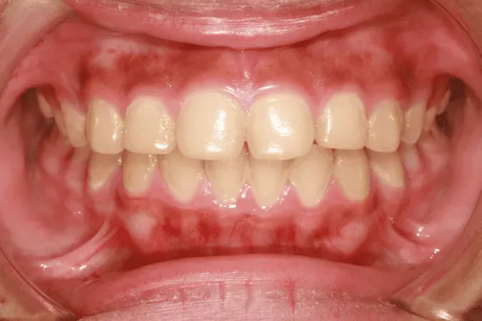
Wczesne objawy zapalenia dziąseł są kluczowe do szybkiego rozpoznania problemu i podjęcia odpowiednich działań. Wiele osób nie zdaje sobie sprawy, że pierwsze sygnały mogą być subtelne, ale ich ignorowanie może prowadzić do poważniejszych problemów zdrowotnych. Objawy takie jak zaczerwienienie i obrzęk dziąseł, a także ich wrażliwość, to pierwsze oznaki, które powinny zwrócić naszą uwagę. Wczesna interwencja może zapobiec dalszemu rozwojowi zapalenia i minimalizować ryzyko powikłań.
Warto również monitorować stan dziąseł pod kątem krwawienia podczas szczotkowania lub nitkowania. Takie objawy nie powinny być bagatelizowane, ponieważ mogą świadczyć o rozwijającym się zapaleniu. Regularne kontrolowanie stanu zdrowia jamy ustnej i zwracanie uwagi na te sygnały to klucz do utrzymania zdrowych dziąseł. Poniżej przedstawiamy listę najważniejszych objawów, na które warto zwrócić uwagę.
- Zaczerwienienie dziąseł, które mogą wyglądać na bardziej czerwone niż zwykle.
- Obrzęk lub powiększenie dziąseł, co może sprawiać wrażenie, że są one „napuchnięte”.
- Krwawienie podczas szczotkowania lub nitkowania zębów.
- Wrażliwość dziąseł na dotyk i pokarmy, zwłaszcza te gorące lub zimne.
- Nieprzyjemny zapach z ust, który może być oznaką stanu zapalnego.
Kluczowe sygnały ostrzegawcze, które warto znać
Wczesne objawy zapalenia dziąseł obejmują kilka kluczowych sygnałów, które powinny wzbudzić naszą czujność. Zaczerwienienie dziąseł jest jednym z pierwszych objawów, który może wskazywać na stan zapalny. Dodatkowo, obrzęk dziąseł oraz ich wrażliwość na dotyk są istotnymi sygnałami, które nie powinny być ignorowane. Krwawienie podczas szczotkowania lub nitkowania zębów to kolejny ważny objaw, który może świadczyć o problemach z dziąsłami. Zauważenie tych symptomów powinno skłonić do szybkiej reakcji, aby uniknąć poważniejszych komplikacji zdrowotnych.
Rola bólu i krwawienia w diagnozowaniu problemów
Ból i krwawienie dziąseł są kluczowymi wskaźnikami, które mogą sugerować rozwijające się zapalenie dziąseł. Gdy dziąsła są w stanie zapalnym, często stają się wrażliwe i mogą krwawić podczas szczotkowania zębów lub nitkowania. Ból, który towarzyszy tym objawom, może być oznaką, że stan zapalny postępuje i wymaga natychmiastowej uwagi. Ignorowanie tych symptomów może prowadzić do poważniejszych problemów zdrowotnych, takich jak zapalenie przyzębia, które może skutkować utratą zębów.
Dlaczego konsultacja z dentystą jest niezbędna?
Regularne wizyty u dentysty są kluczowe dla zachowania zdrowia jamy ustnej i wczesnego wykrywania zapalenia dziąseł. Dentysta może przeprowadzić profesjonalne badanie, które pozwoli ocenić stan zdrowia dziąseł oraz zębów. W przypadku wykrycia zapalenia, specjalista może zalecić odpowiednie leczenie, takie jak skaling czy root planing, które pomogą w usunięciu płytki nazębnej oraz osadów. Wczesne wykrycie problemów zdrowotnych w jamie ustnej jest kluczowe dla zapobiegania powikłaniom.
Oprócz leczenia, regularne wizyty u dentysty pozwalają na monitorowanie postępów w utrzymaniu zdrowia jamy ustnej. W zależności od indywidualnych potrzeb, dentysta może zalecić wizyty co 6 do 12 miesięcy. Takie podejście pozwala na bieżąco kontrolować stan dziąseł i wdrażać ewentualne zmiany w pielęgnacji jamy ustnej, co jest niezbędne dla utrzymania zdrowych dziąseł i zębów przez długi czas.
Profesjonalne zabiegi w leczeniu zapalenia dziąseł
W przypadku zapalenia dziąseł, kluczowe jest przeprowadzenie profesjonalnych zabiegów dentystycznych, które pomogą w przywróceniu zdrowia jamy ustnej. Skaling to jedna z najczęściej stosowanych procedur, polegająca na usuwaniu kamienia nazębnego oraz płytki nazębnej z powierzchni zębów i pod linią dziąseł. Zabieg ten jest niezwykle skuteczny w walce z zapaleniem dziąseł, ponieważ eliminuje bakterie odpowiedzialne za stan zapalny. Root planing, czyli wygładzanie korzeni zębów, jest kolejnym ważnym zabiegiem, który pomaga w usunięciu resztek osadów z powierzchni korzeni, co sprzyja lepszemu gojeniu się dziąseł. Regularne wykonywanie tych procedur może znacząco poprawić stan zdrowia jamy ustnej i zapobiec poważniejszym problemom zdrowotnym.
Jak często należy odwiedzać dentystę dla profilaktyki?
Aby utrzymać zdrowie dziąseł, zaleca się regularne wizyty u dentysty co najmniej co sześć miesięcy. Taka częstotliwość pozwala na bieżąco monitorować stan zdrowia jamy ustnej oraz wykrywać ewentualne problemy na wczesnym etapie. W przypadku osób z historią zapalenia dziąseł, dentysta może zalecić częstsze wizyty, co trzy do czterech miesięcy. Regularne kontrole pozwalają na wczesne wykrycie problemów i skuteczne wdrożenie odpowiednich działań, co jest kluczowe dla zapobiegania poważnym powikłaniom zdrowotnym.
Jak technologia wpływa na przyszłość leczenia zapalenia dziąseł?
W miarę jak technologia medyczna się rozwija, pojawiają się nowe metody diagnostyki i leczenia zapalenia dziąseł, które mogą zrewolucjonizować podejście do zdrowia jamy ustnej. Na przykład, technologia laserowa staje się coraz bardziej popularna w leczeniu stanów zapalnych. Lasery mogą skutecznie usuwać zainfekowane tkanki, minimalizując przy tym ból i czas rekonwalescencji. Dodatkowo, inteligentne aplikacje mobilne i urządzenia do monitorowania stanu zdrowia jamy ustnej mogą pomóc pacjentom w śledzeniu objawów i przypominaniu o wizytach u dentysty, co zwiększa ich zaangażowanie w dbanie o zdrowie.
Warto również zwrócić uwagę na nowe materiały i technologie stosowane w stomatologii, takie jak biokompatybilne implanty oraz innowacyjne pasty do zębów, które mogą zawierać probiotyki wspierające zdrowie dziąseł. Te nowoczesne podejścia mogą nie tylko wspierać leczenie, ale także zapobiegać przyszłym problemom, co jest kluczowe dla długoterminowego zdrowia jamy ustnej. Zrozumienie i wykorzystanie tych nowoczesnych technologii może znacząco wpłynąć na jakość życia osób zmagających się z zapaleniem dziąseł.






