
Dowiedz się, które zęby wypadają i w jakiej kolejności. Poznaj wiek wymiany zębów mlecznych oraz praktyczne porady dla rodziców.
Jestem Klara Mróz, specjalistka w dziedzinie zdrowia z ponad 10-letnim doświadczeniem w pracy z pacjentami oraz w edukacji zdrowotnej. Ukończyłam studia z zakresu dietetyki oraz zdrowia publicznego, co pozwoliło mi zdobyć solidną wiedzę na temat wpływu diety i stylu życia na ogólne samopoczucie. Moja pasja do zdrowego stylu życia skłoniła mnie do specjalizacji w zakresie profilaktyki zdrowotnej oraz holistycznego podejścia do zdrowia, co staram się przekazywać poprzez moje artykuły. Wierzę, że każda osoba zasługuje na dostęp do rzetelnych informacji, które mogą pomóc w podejmowaniu świadomych decyzji dotyczących zdrowia. Pisząc dla fabrykausmiechu-leczna.pl, dążę do inspirowania innych do wprowadzenia pozytywnych zmian w ich życiu. Moim celem jest nie tylko dostarczanie wartościowych treści, ale także budowanie zaufania poprzez dokładne badania i weryfikację informacji, które przedstawiam.

Dowiedz się, które zęby wypadają i w jakiej kolejności. Poznaj wiek wymiany zębów mlecznych oraz praktyczne porady dla rodziców.

Poznaj objawy ropnia mózgu od zęba, takie jak ból głowy, gorączka i zmiany w zachowaniu. Szybka diagnoza może uratować życie.

Dowiedz się, jak działa irygator do zębów i jakie ma zalety dla zdrowia jamy ustnej. Odkryj, jak poprawić higienę i zapobiegać problemom z zębami.

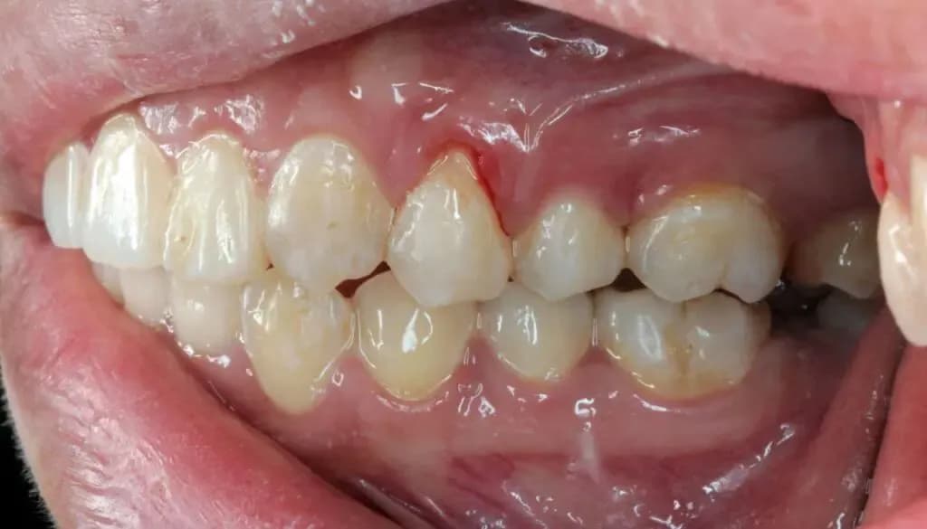
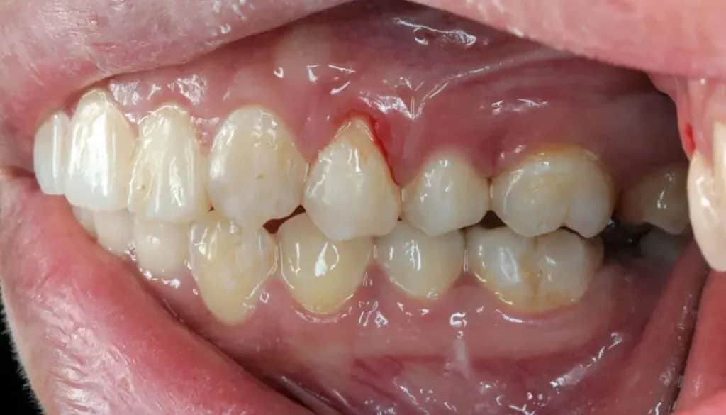
Skuteczne metody na zapalenie dziąseł jak leczyć, aby uniknąć bólu i poprawić zdrowie jamy ustnej. Sprawdź nasze sprawdzone porady!

Poznaj kluczowe objawy sepsy po wyrwaniu zęba, które mogą wskazywać na poważne komplikacje. Nie bagatelizuj tych sygnałów i działaj szybko!

Ile kosztuje usunięcie zęba? Sprawdź średnie ceny oraz czynniki wpływające na koszty ekstrakcji zębów w Polsce. Zyskaj cenną wiedzę przed wizytą u dentysty.

Skuteczne metody na ulgę przy ropie w dziąśle. Dowiedz się, co na ropę w dziąśle i jak szybko złagodzić ból oraz zapobiec powikłaniom.

Porównaj szczoteczki soniczne Braun i Philips, aby dowiedzieć się, która z nich lepiej spełni Twoje potrzeby w codziennej higienie jamy ustnej.

Ile dni boli po wyrwaniu zęba? Dowiedz się, jak długo utrzymuje się ból i co robić, aby złagodzić dolegliwości oraz kiedy szukać pomocy.

Dowiedz się, co wzmacnia zęby i dziąsła. Poznaj skuteczne metody, które pomogą utrzymać zdrowie jamy ustnej i poprawić kondycję dziąseł.