
Poznaj kluczowe objawy ropowicy dna jamy ustnej, które mogą zagrażać życiu. Dowiedz się, jak je rozpoznać i kiedy szukać pomocy medycznej.

Jestem Klara Mróz, specjalistka w dziedzinie zdrowia z ponad 10-letnim doświadczeniem w pracy z pacjentami oraz w edukacji zdrowotnej. Ukończyłam studia z zakresu dietetyki oraz zdrowia publicznego, co pozwoliło mi zdobyć solidną wiedzę na temat wpływu diety i stylu życia na ogólne samopoczucie. Moja pasja do zdrowego stylu życia skłoniła mnie do specjalizacji w zakresie profilaktyki zdrowotnej oraz holistycznego podejścia do zdrowia, co staram się przekazywać poprzez moje artykuły. Wierzę, że każda osoba zasługuje na dostęp do rzetelnych informacji, które mogą pomóc w podejmowaniu świadomych decyzji dotyczących zdrowia. Pisząc dla fabrykausmiechu-leczna.pl, dążę do inspirowania innych do wprowadzenia pozytywnych zmian w ich życiu. Moim celem jest nie tylko dostarczanie wartościowych treści, ale także budowanie zaufania poprzez dokładne badania i weryfikację informacji, które przedstawiam.

Poznaj kluczowe objawy ropowicy dna jamy ustnej, które mogą zagrażać życiu. Dowiedz się, jak je rozpoznać i kiedy szukać pomocy medycznej.

Poznaj kluczowe różnice między szczoteczką soniczną a elektryczną. Dowiedz się, jak te innowacyjne technologie wpływają na Twoją higienę jamy ustnej.

Poznaj objawy kandydozy jamy ustnej i dowiedz się, jak je rozpoznać oraz skutecznie leczyć. Zadbaj o zdrowie swojej jamy ustnej już dziś!

Skuteczne metody leczenia paradontozy zębów, które przynoszą ulgę. Dowiedz się, jak leczyć paradontozę zębów i poprawić zdrowie jamy ustnej.

Poznaj kluczowe objawy raka płaskonabłonkowego jamy ustnej i dowiedz się, jak je rozpoznać oraz kiedy należy skonsultować się z lekarzem.

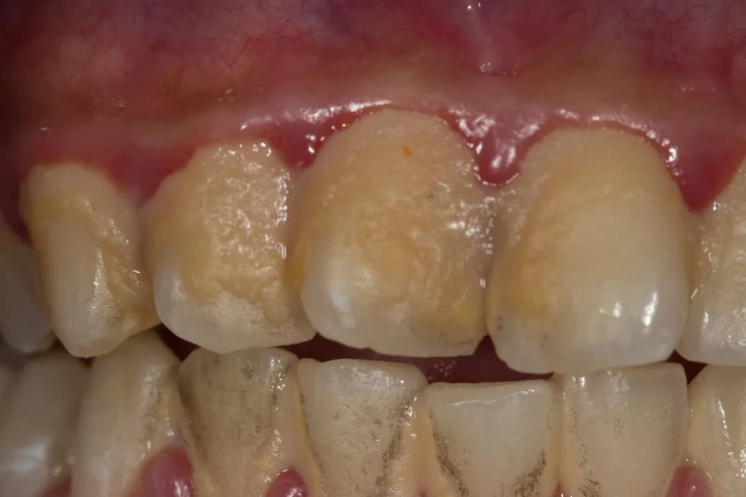
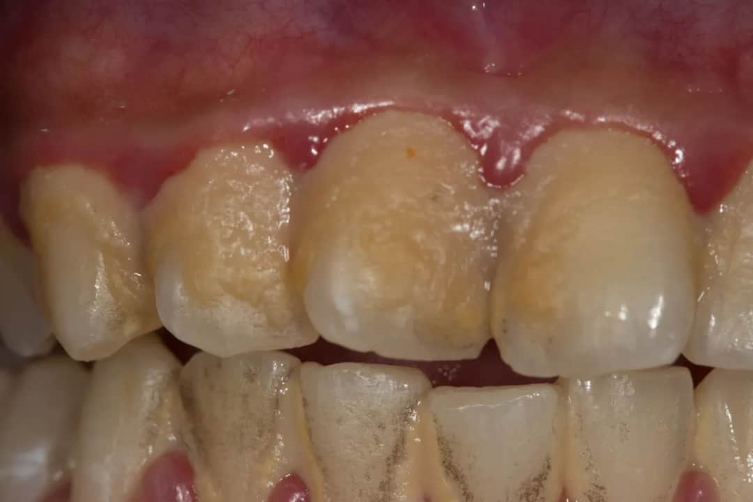
Dowiedz się, od czego robi się kamień na zębach, jakie są przyczyny jego powstawania oraz jak skutecznie go unikać, aby cieszyć się zdrowym uśmiechem.

Dowiedz się, jak dbać o jamę ustną niemowlaka, aby uniknąć problemów zdrowotnych. Odkryj skuteczne metody i zalecenia dla zdrowego uśmiechu Twojego dziecka.

Sprawdź, czy octenisept można stosować w jamie ustnej. Poznaj jego działanie, zastosowania oraz ważne ostrzeżenia dotyczące stosowania preparatu.

Dowiedz się, jak długo boli ząb po leczeniu kanałowym. Sprawdź, jakie są przyczyny bólu i kiedy warto skonsultować się z dentystą.

Dowiedz się, kiedy pierwsze zęby u niemowlaka się pojawiają, jakie są objawy ząbkowania oraz jak ulżyć dziecku w tym ważnym etapie rozwoju.