
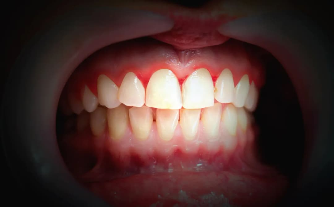
Dowiedz się, dlaczego boli dziąsło po wyrwaniu zęba, jakie objawy są normalne oraz kiedy warto skonsultować się z dentystą. Zadbaj o swoje zdrowie!
Jestem Klara Mróz, specjalistka w dziedzinie zdrowia z ponad 10-letnim doświadczeniem w pracy z pacjentami oraz w edukacji zdrowotnej. Ukończyłam studia z zakresu dietetyki oraz zdrowia publicznego, co pozwoliło mi zdobyć solidną wiedzę na temat wpływu diety i stylu życia na ogólne samopoczucie. Moja pasja do zdrowego stylu życia skłoniła mnie do specjalizacji w zakresie profilaktyki zdrowotnej oraz holistycznego podejścia do zdrowia, co staram się przekazywać poprzez moje artykuły. Wierzę, że każda osoba zasługuje na dostęp do rzetelnych informacji, które mogą pomóc w podejmowaniu świadomych decyzji dotyczących zdrowia. Pisząc dla fabrykausmiechu-leczna.pl, dążę do inspirowania innych do wprowadzenia pozytywnych zmian w ich życiu. Moim celem jest nie tylko dostarczanie wartościowych treści, ale także budowanie zaufania poprzez dokładne badania i weryfikację informacji, które przedstawiam.

Dowiedz się, dlaczego boli dziąsło po wyrwaniu zęba, jakie objawy są normalne oraz kiedy warto skonsultować się z dentystą. Zadbaj o swoje zdrowie!

Poznaj, co jest w jamie ustnej oraz kluczowe elementy i ich funkcje. Dowiedz się, jak zęby, język i gruczoły ślinowe wpływają na zdrowie.

Dowiedz się, jak płukać jamę ustną wodą utlenioną, aby uniknąć podrażnień. Odkryj skuteczne metody i proporcje dla zdrowej jamy ustnej.

Sprawdź, czy szczoteczka soniczna jest lepsza od elektrycznej. Porównaj ich skuteczność, komfort użytkowania i wybierz idealną dla siebie!

Poznaj objawy przewiania dziąseł i twarzy oraz skuteczne metody ich rozpoznawania i leczenia, aby szybko odzyskać komfort i zdrowie.

Naucz dzieci, jak dbać o zęby dzięki prostym i angażującym metodom. Sprawdź naszą prezentację o zdrowych zębach i stwórz radosne nawyki!

Dowiedz się, jak zatruć nerw w zębie, jakie niesie to niebezpieczeństwa oraz jakie są bezpieczniejsze alternatywy leczenia. Zadbaj o swoje zdrowie jamy ustnej!

Skuteczne metody na ból i krwawienie dziąseł w ciąży. Poznaj bezpieczne sposoby na ulgę i dbaj o zdrowie swoje oraz dziecka.

Poznaj skuteczne metody na spuchnięte dziąsła. Dowiedz się, co jest dobre na spuchnięte dziąsło i jak szybko uzyskać ulgę w dolegliwościach.

Poznaj objawy czerniaka jamy ustnej, aby szybko je rozpoznać i uniknąć powikłań. Dowiedz się, na co zwracać uwagę w swoim zdrowiu.