
Dowiedz się, kiedy można założyć aparat na zęby, aby uniknąć problemów z zgryzem. Odkryj optymalne przedziały wiekowe i korzyści wczesnej interwencji.
Jestem Klara Mróz, specjalistka w dziedzinie zdrowia z ponad 10-letnim doświadczeniem w pracy z pacjentami oraz w edukacji zdrowotnej. Ukończyłam studia z zakresu dietetyki oraz zdrowia publicznego, co pozwoliło mi zdobyć solidną wiedzę na temat wpływu diety i stylu życia na ogólne samopoczucie. Moja pasja do zdrowego stylu życia skłoniła mnie do specjalizacji w zakresie profilaktyki zdrowotnej oraz holistycznego podejścia do zdrowia, co staram się przekazywać poprzez moje artykuły. Wierzę, że każda osoba zasługuje na dostęp do rzetelnych informacji, które mogą pomóc w podejmowaniu świadomych decyzji dotyczących zdrowia. Pisząc dla fabrykausmiechu-leczna.pl, dążę do inspirowania innych do wprowadzenia pozytywnych zmian w ich życiu. Moim celem jest nie tylko dostarczanie wartościowych treści, ale także budowanie zaufania poprzez dokładne badania i weryfikację informacji, które przedstawiam.

Dowiedz się, kiedy można założyć aparat na zęby, aby uniknąć problemów z zgryzem. Odkryj optymalne przedziały wiekowe i korzyści wczesnej interwencji.

Dowiedz się, jak się zakłada aparat na zęby, jakie są etapy procesu oraz co musisz wiedzieć przed wizytą u ortodonty. Zachowaj zdrowy uśmiech!

Skuteczne metody na ból dziąseł. Dowiedz się, co pomaga na bolące dziąsła i poznaj domowe sposoby na ulgę oraz profesjonalne zabiegi.

Poznaj, jak wygląda aparat ruchomy na zęby dla dzieci. Dowiedz się o jego cechach, kolorach oraz korzyściach dla zdrowia jamy ustnej Twojego dziecka.

Dowiedz się, kiedy trzeba nosić aparat na zęby, aby uniknąć problemów ze zgryzem. Poznaj korzyści wczesnej interwencji ortodontycznej i dostępne opcje.

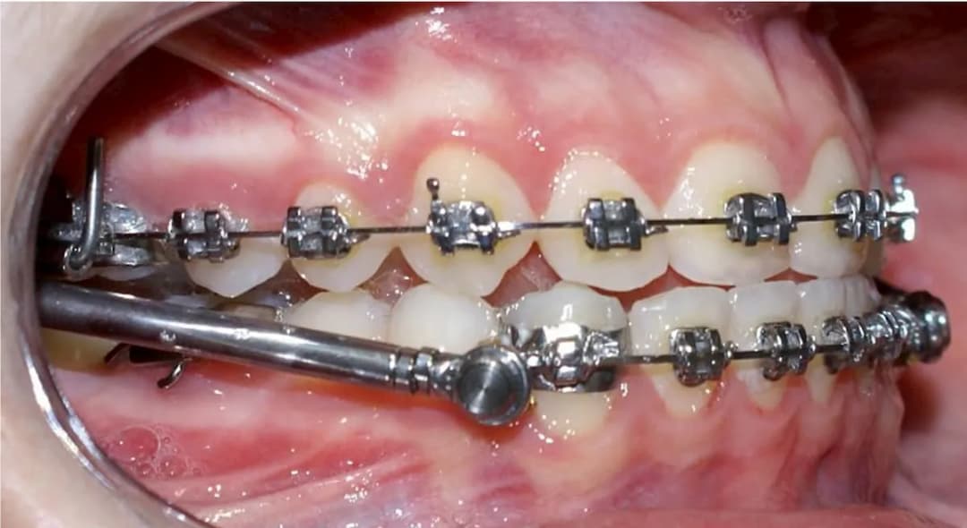
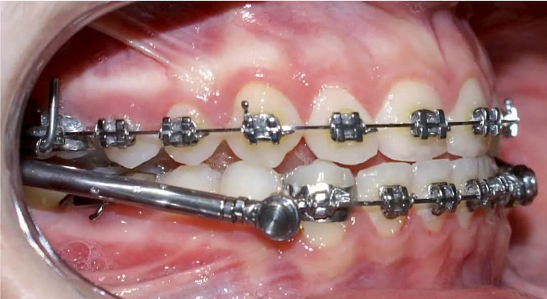
Dowiedz się, na jakie zęby zakłada się aparat ortodontyczny oraz kiedy najlepiej rozpocząć leczenie, aby uzyskać zdrowy i piękny uśmiech.

Czy aparat na zęby powiększa usta? Dowiedz się, jak działanie aparatu wpływa na wygląd ust i jakie efekty możesz zauważyć w trakcie leczenia.

Sprawdź, czy aparat na zęby jest refundowany przez NFZ. Dowiedz się, kto może skorzystać z refundacji i jakie są dostępne opcje leczenia.

Dowiedz się, jak działa aparat na zęby, jakie siły na nie wpływają oraz jak skutecznie poprawić swój zgryz dzięki nowoczesnym metodom ortodontycznym.

Dowiedz się, aparat na zęby dla dzieci od kiedy można stosować oraz jakie są kluczowe informacje i porady dotyczące leczenia ortodontycznego.