Ile trwa piaskowanie zębów? Czas zabiegu i co na to wpływa
Ile trwa piaskowanie zębów? Dowiedz się, jak długo trwa ten zabieg oraz co wpływa na czas jego trwania i efekty.
Ile trwa piaskowanie zębów? Czas zabiegu i co na to wpływa
Ile trwa piaskowanie zębów? Dowiedz się, jak długo trwa ten zabieg oraz co wpływa na czas jego trwania i efekty.
Jak dbać o zęby prezentacja dla dzieci - proste sposoby na zdrowe zęby
Naucz dzieci, jak dbać o zęby dzięki prostym i angażującym metodom. Sprawdź naszą prezentację o zdrowych zębach i stwórz radosne nawyki!
Jak zatruć nerw w zębie - niebezpieczeństwa i alternatywy leczenia
Dowiedz się, jak zatruć nerw w zębie, jakie niesie to niebezpieczeństwa oraz jakie są bezpieczniejsze alternatywy leczenia. Zadbaj o swoje zdrowie jamy ustnej!
Skuteczne metody leczenia paradontozy zębów, które przynoszą ulgę
Skuteczne metody leczenia paradontozy zębów, które przynoszą ulgę. Dowiedz się, jak leczyć paradontozę zębów i poprawić zdrowie jamy ustnej.
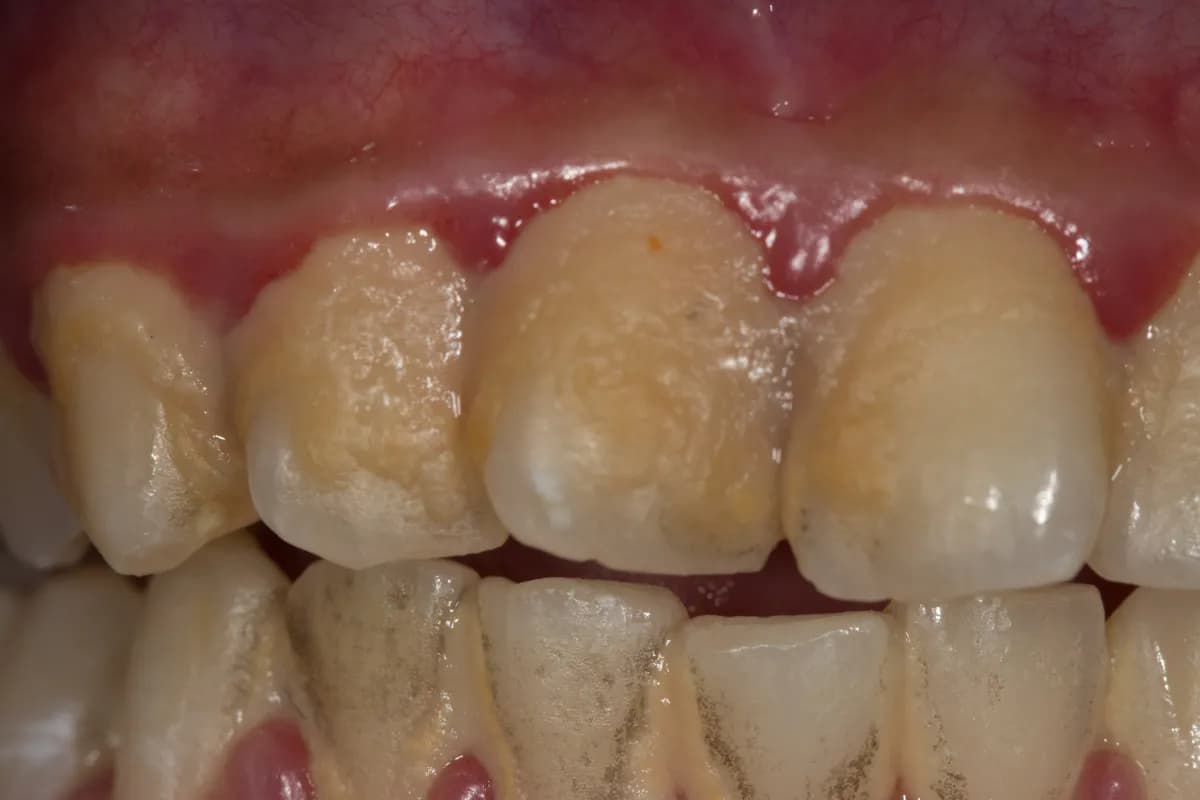
Od czego robi się kamień na zębach i jak go uniknąć?
Dowiedz się, od czego robi się kamień na zębach, jakie są przyczyny jego powstawania oraz jak skutecznie go unikać, aby cieszyć się zdrowym uśmiechem.
Jak długo boli ząb po leczeniu kanałowym? Oto co musisz wiedzieć
Dowiedz się, jak długo boli ząb po leczeniu kanałowym. Sprawdź, jakie są przyczyny bólu i kiedy warto skonsultować się z dentystą.
Kiedy pierwsze zęby u niemowlaka? Odkryj, co warto wiedzieć
Dowiedz się, kiedy pierwsze zęby u niemowlaka się pojawiają, jakie są objawy ząbkowania oraz jak ulżyć dziecku w tym ważnym etapie rozwoju.
Które zęby wypadają? Poznaj kolejność i wiek wymiany zębów mlecznych
Dowiedz się, które zęby wypadają i w jakiej kolejności. Poznaj wiek wymiany zębów mlecznych oraz praktyczne porady dla rodziców.
Ropień mózgu od zęba objawy: jak rozpoznać niebezpieczne sygnały
Poznaj objawy ropnia mózgu od zęba, takie jak ból głowy, gorączka i zmiany w zachowaniu. Szybka diagnoza może uratować życie.
Jak działa irygator do zębów i dlaczego warto go używać?
Dowiedz się, jak działa irygator do zębów i jakie ma zalety dla zdrowia jamy ustnej. Odkryj, jak poprawić higienę i zapobiegać problemom z zębami.