Leczenie paradontozy zębów to kluczowy element dbania o zdrowie jamy ustnej, który wymaga kompleksowego podejścia. Paradontoza, znana również jako choroba przyzębia, to schorzenie, które może prowadzić do poważnych problemów, w tym utraty zębów. Właściwe leczenie zależy od stopnia zaawansowania choroby oraz indywidualnych potrzeb pacjenta. W artykule przedstawimy skuteczne metody leczenia, zarówno profesjonalne, jak i domowe, które pomogą w walce z tym schorzeniem.
W początkowych stadiach leczenie opiera się na usunięciu płytki bakteryjnej i kamienia nazębnego, co można osiągnąć dzięki zabiegom takim jak skaling i kiretaż. W bardziej zaawansowanych przypadkach może być konieczne zastosowanie antybiotykoterapii lub nawet interwencji chirurgicznych. Ważne jest również, aby pacjenci dbali o higienę jamy ustnej w domu, co może znacząco wpłynąć na efekty leczenia.
Najważniejsze informacje:
- Paradontoza jest poważnym schorzeniem, które może prowadzić do utraty zębów.
- Skaling i kiretaż są kluczowymi zabiegami w terapii paradontozy.
- Antybiotykoterapia może wspierać leczenie w walce z infekcją bakteryjną.
- Prawidłowa higiena jamy ustnej jest niezbędna do zapobiegania postępowi choroby.
- Regularne wizyty u stomatologa pozwalają na wczesne wykrycie problemów.
- Styl życia, w tym dieta i nawyki, mają istotny wpływ na zdrowie dziąseł.
Skuteczne metody profesjonalnego leczenia paradontozy zębów
Profesjonalne leczenie paradontozy zębów jest kluczowe dla zachowania zdrowia jamy ustnej. Wczesna interwencja może zapobiec poważnym konsekwencjom, takim jak utrata zębów. W zależności od stopnia zaawansowania choroby, lekarze stosują różne metody, które mają na celu usunięcie przyczyn schorzenia oraz przywrócenie zdrowia dziąseł.
Do najważniejszych procedur należy skaling i kiretaż, które skutecznie eliminują płytkę bakteryjną i kamień nazębny. Te zabiegi są niezbędne, aby zapobiec dalszemu rozwojowi choroby. W bardziej zaawansowanych przypadkach lekarze mogą również zalecać antybiotykoterapię, aby zwalczyć infekcje bakteryjne, co jest istotnym elementem kompleksowego podejścia do leczenia paradontozy.
Skaling i kiretaż – kluczowe zabiegi w terapii paradontozy
Skaling i kiretaż to podstawowe zabiegi stosowane w terapii paradontozy. Skaling polega na usunięciu kamienia nazębnego z powierzchni zębów oraz z kieszonek przyzębnych. Z kolei kiretaż to bardziej zaawansowany proces, który polega na oczyszczeniu korzeni zębów oraz usunięciu zainfekowanej tkanki. Oba zabiegi są przeprowadzane przez wykwalifikowanych stomatologów przy użyciu specjalistycznych narzędzi, takich jak skaler ultradźwiękowy.
Efektywność tych zabiegów jest ogromna, ponieważ pozwalają one na przywrócenie zdrowia dziąseł i zapobiegają dalszemu postępowi choroby. Regularne przeprowadzanie skalingu i kiretażu jest kluczowe w terapii pacjentów z paradontozą, a ich skuteczność może być znacznie zwiększona, gdy są stosowane w połączeniu z innymi metodami leczenia.
Antybiotykoterapia – wsparcie w walce z infekcją
Antybiotykoterapia odgrywa kluczową rolę w leczeniu paradontozy zębów, szczególnie w przypadkach, gdy infekcja bakteryjna jest obecna. Wśród najczęściej stosowanych antybiotyków znajdują się amoksycylina, metronidazol oraz tetracyklina. Amoksycylina działa na wiele szczepów bakterii, co czyni ją skuteczną w eliminacji infekcji. Metronidazol jest szczególnie efektywny w zwalczaniu beztlenowców, które często są odpowiedzialne za rozwój paradontozy.
Antybiotyki mogą być stosowane miejscowo, na przykład w formie żeli aplikowanych bezpośrednio do kieszonek dziąsłowych, lub ogólnoustrojowo, w postaci tabletek. Ich zastosowanie wspiera proces gojenia i zmniejsza ryzyko dalszego rozwoju choroby. Ważne jest, aby antybiotykoterapia była prowadzona pod kontrolą lekarza, aby zapewnić jej skuteczność i zminimalizować ryzyko oporności bakterii na leki.
Domowe sposoby na leczenie paradontozy zębów
Domowe sposoby na leczenie paradontozy zębów są istotnym uzupełnieniem profesjonalnych metod. Prawidłowa higiena jamy ustnej, w tym regularne szczotkowanie zębów oraz nitkowanie, to podstawowe działania, które mogą znacząco wpłynąć na stan dziąseł. Warto również stosować pasty do zębów zawierające substancje antybakteryjne, takie jak chlorheksydyna, które pomagają w walce z płytką bakteryjną.Oprócz tego, naturalne płukanki, na przykład z szałwii lub rumianku, mogą wspierać zdrowie dziąseł i działać przeciwzapalnie. Regularne stosowanie tych metod w połączeniu z profesjonalnym leczeniem może przynieść znaczną ulgę i poprawić kondycję jamy ustnej. Pamiętaj, że każdy przypadek paradontozy jest inny, dlatego warto skonsultować się z dentystą przed wprowadzeniem nowych metod do swojej rutyny.
Prawidłowa higiena jamy ustnej jako podstawa zdrowia
Utrzymanie prawidłowej higieny jamy ustnej jest kluczowe w walce z paradontozą. Należy szczotkować zęby co najmniej dwa razy dziennie, używając pasty zawierającej fluor. Ważne jest, aby stosować odpowiednią technikę szczotkowania, która obejmuje ruchy okrężne oraz pionowe, co pozwala na dokładne oczyszczenie powierzchni zębów i przestrzeni międzyzębowych. Dodatkowo, regularne nitkowanie zębów pomaga usunąć resztki pokarmowe oraz płytkę bakteryjną z miejsc, do których szczoteczka nie ma dostępu.
Naturalne płukanki i pasty – skuteczne wsparcie w terapii
Naturalne płukanki i pasty mogą stanowić cenne wsparcie w terapii paradontozy. Na przykład, płukanka z szałwii ma właściwości przeciwzapalne i antybakteryjne, co może pomóc w łagodzeniu stanów zapalnych dziąseł. Z kolei pasta do zębów z dodatkiem chlorheksydyny skutecznie zwalcza bakterie, co przyczynia się do poprawy zdrowia jamy ustnej. Oto kilka produktów, które warto rozważyć:
| Produkt | Składniki | Korzyści |
|---|---|---|
| Płukanka z szałwii | Szałwia, woda | Przeciwzapalne, łagodzi podrażnienia |
| Pasta do zębów z chlorheksydyną | Chlorheksydyna, fluor | Antybakteryjna, zapobiega powstawaniu płytki |
| Płukanka z rumianku | Rumianek, woda | Łagodzi podrażnienia, wspiera zdrowie dziąseł |
Czytaj więcej: Ile kosztują sztuczne zęby? Sprawdź ceny i oszczędź na protezach
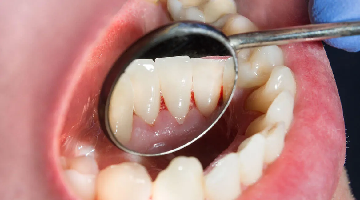
Etapy rozwoju paradontozy – jak rozpoznać problem na czas
Paradontoza rozwija się w kilku etapach, które mogą prowadzić do poważnych problemów zdrowotnych, jeśli nie zostaną odpowiednio zidentyfikowane i leczone. W początkowej fazie, znanej jako gingiwita, pacjenci mogą zauważyć zaczerwienienie i obrzęk dziąseł, które mogą krwawić podczas szczotkowania. To jest moment, w którym należy podjąć działania, aby zapobiec dalszemu rozwojowi choroby.
W miarę postępu choroby, objawy stają się bardziej zaawansowane. Dziąsła mogą się cofać, co prowadzi do odsłonięcia korzeni zębów. Pacjenci mogą również doświadczać nieprzyjemnego zapachu z ust oraz uczucia ruchomości zębów. W tym etapie ważne jest, aby być czujnym na te zmiany, ponieważ mogą one prowadzić do poważnych konsekwencji, takich jak utrata zębów.
Objawy wczesnej paradontozy – co warto obserwować
Wczesne objawy paradontozy mogą być subtelne, ale istotne dla wczesnej diagnozy. Pacjenci powinni zwracać uwagę na krwawienie dziąseł podczas szczotkowania lub nitkowania, a także na zaczerwienienie i obrzęk dziąseł. Inne sygnały to nieprzyjemny zapach z ust oraz uczucie, że zęby są luźniejsze niż zwykle. Wczesne wykrycie tych objawów może znacząco wpłynąć na skuteczność leczenia i zapobiec dalszym komplikacjom.
Zaawansowane stadia paradontozy – zagrożenia i konsekwencje
Zaawansowane stadia paradontozy niosą ze sobą poważne zagrożenia dla zdrowia jamy ustnej oraz ogólnego samopoczucia pacjenta. W miarę postępu choroby, może dochodzić do utraty kości oraz zębów, co prowadzi do nieodwracalnych zmian w strukturze szczęki. Nieleczona paradontoza może również powodować rozwój innych schorzeń, takich jak cukrzyca czy choroby serca, ponieważ bakterie z jamy ustnej mogą przedostawać się do krwiobiegu i wpływać na organizm.
Pacjenci z zaawansowaną paradontozą często doświadczają bólu oraz dyskomfortu, co może znacząco wpłynąć na jakość życia. Ponadto, problemy z zębami mogą prowadzić do trudności w jedzeniu, co z kolei może wpływać na dietę i ogólny stan zdrowia. Dlatego tak ważne jest, aby nie lekceważyć objawów choroby i jak najszybciej zgłosić się do specjalisty w celu podjęcia odpowiednich działań.

Styl życia a leczenie paradontozy zębów – jak wpływa na zdrowie
Styl życia ma ogromny wpływ na leczenie i zarządzanie paradontozą zębów. Odpowiednia dieta, bogata w witaminy i minerały, może wspierać zdrowie dziąseł i kości. Spożywanie pokarmów bogatych w witaminę C, takich jak owoce cytrusowe, oraz wapń, obecny w nabiale, jest kluczowe dla utrzymania zdrowych dziąseł. Z drugiej strony, dieta uboga w składniki odżywcze może przyspieszać rozwój choroby, dlatego warto zadbać o zrównoważony jadłospis. Również nawyki takie jak palenie tytoniu mają negatywny wpływ na zdrowie jamy ustnej. Palacze są bardziej narażeni na rozwój paradontozy, ponieważ dym papierosowy osłabia układ odpornościowy, co utrudnia organizmowi walkę z infekcjami. Ograniczenie lub zaprzestanie palenia może znacząco poprawić stan zdrowia dziąseł i wspierać efekty leczenia. Oprócz diety i nawyków, regularne wizyty u stomatologa są niezbędne, aby monitorować stan zdrowia jamy ustnej i zapobiegać dalszym problemom.Nowoczesne technologie w leczeniu paradontozy – co przyniesie przyszłość?
W miarę postępu technologii, nowe metody leczenia paradontozy stają się coraz bardziej dostępne i efektywne. Jednym z obiecujących kierunków są terapie laserowe, które umożliwiają precyzyjne usuwanie zainfekowanej tkanki oraz bakterii przy jednoczesnym minimalizowaniu uszkodzeń zdrowych tkanek. Laseroterapia nie tylko przyspiesza proces gojenia, ale również zmniejsza dyskomfort pacjenta, co czyni ją atrakcyjną alternatywą dla tradycyjnych metod leczenia.
Dodatkowo, rozwój technologii cyfrowych, takich jak skanowanie 3D, pozwala na dokładniejsze diagnozowanie i monitorowanie stanu zdrowia jamy ustnej. Dzięki tym innowacjom lekarze mogą precyzyjnie ocenić postęp choroby oraz dostosować plany leczenia do indywidualnych potrzeb pacjentów. W przyszłości możemy również spodziewać się większej integracji telemedycyny, co umożliwi pacjentom łatwiejszy dostęp do specjalistów oraz szybsze konsultacje, co jest kluczowe w zarządzaniu przewlekłymi schorzeniami, takimi jak paradontoza.






