W artykule omówimy, jak powstaje kamień na zębach, co sprzyja jego tworzeniu oraz jakie są jego skutki. Skupimy się również na metodach zapobiegania, które pomogą utrzymać zdrowie jamy ustnej. Dzięki tym informacjom zrozumiesz, jak dbać o swoje zęby i uniknąć problemów związanych z kamieniem nazębnym.
Najistotniejsze informacje:
- Kamień nazębny powstaje z mineralizacji płytki nazębnej, która tworzy się na zębach w ciągu kilku godzin po ich umyciu.
- Regularne szczotkowanie i nitkowanie są kluczowe w zapobieganiu powstawaniu kamienia.
- Czynniki sprzyjające tworzeniu się kamienia to niewłaściwa higiena, dieta bogata w węglowodany oraz palenie papierosów.
- Nagromadzenie kamienia może prowadzić do problemów zdrowotnych, takich jak choroby dziąseł i próchnica.
- Estetyka uśmiechu jest również zagrożona przez obecność kamienia, co może wpływać na pewność siebie.
- Skuteczne metody zapobiegania obejmują odpowiednią higienę jamy ustnej oraz zdrową dietę.
Jak powstaje kamień na zębach i co go powoduje?
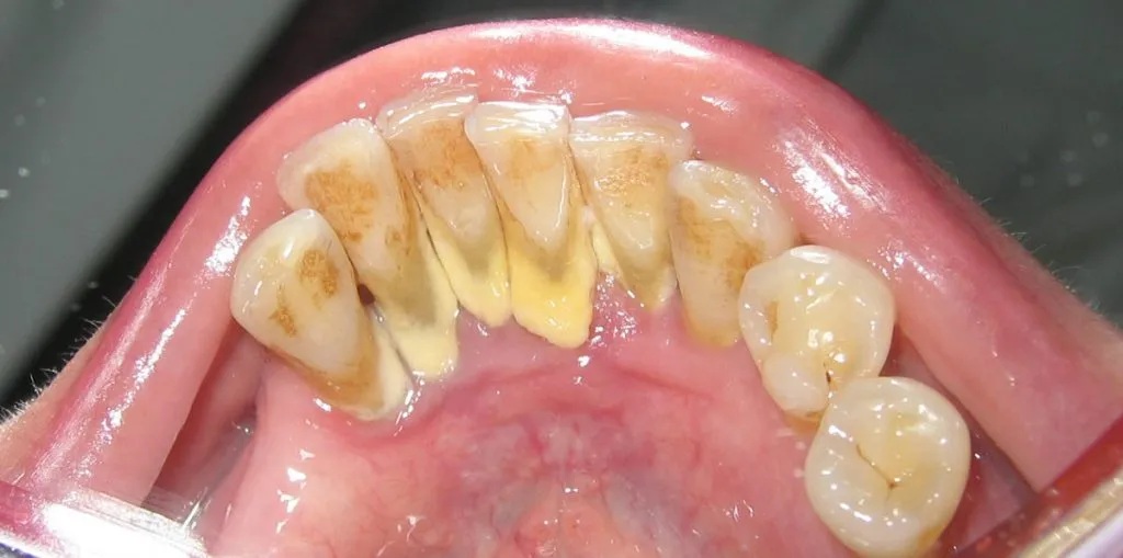
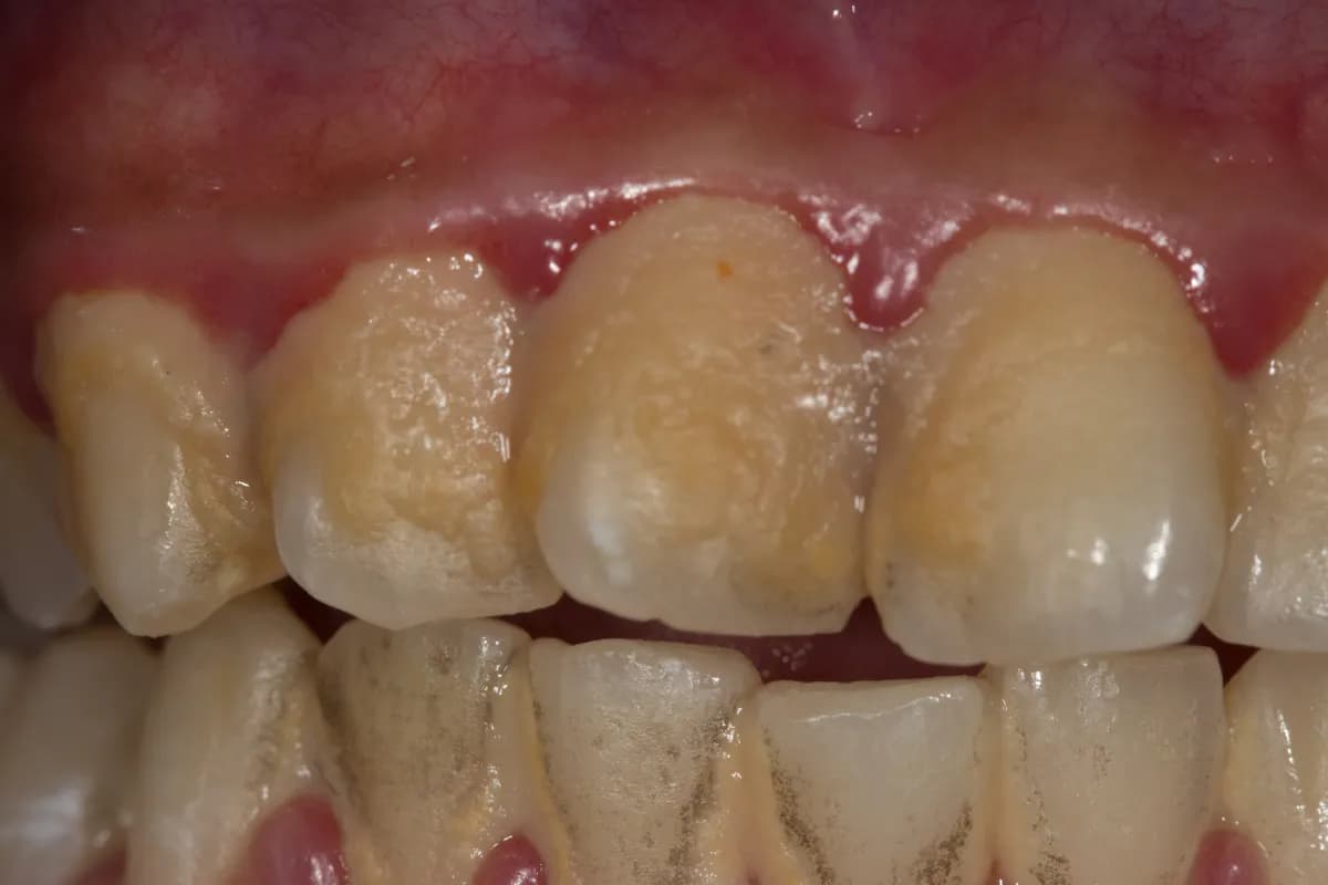
Kamień na zębach, znany również jako kamień nazębny, powstaje w wyniku zmineralizacji płytki nazębnej. Ta miękka, lepka warstwa gromadzi się na zębach już kilka godzin po ich umyciu. Płytka nazębna składa się z bakterii, resztek jedzenia i śliny, a jej obecność jest naturalnym zjawiskiem. Jeśli nie jest regularnie usuwana poprzez szczotkowanie i nitkowanie, zaczyna ulegać mineralizacji. Proces ten może rozpocząć się już w ciągu 2–3 dni od momentu powstania płytki.
Mineralizacja płytki nazębnej zachodzi pod wpływem składników obecnych w ślinie, takich jak sole wapnia i fosforu. Te substancje przyczyniają się do twardnienia płytki, przekształcając ją w kamień nazębny. Kamień nazębny jest nie tylko twardy, ale także stanowi idealne środowisko dla dalszego rozwoju bakterii, co może prowadzić do poważnych problemów zdrowotnych. W skład kamienia wchodzą również białka, złuszczone komórki nabłonka oraz produkty przemiany materii bakterii próchnicotwórczych.
Proces tworzenia płytki nazębnej i jej mineralizacja
Płytka nazębna zaczyna się formować w wyniku działania bakterii, które osiedlają się na zębach. W ciągu kilku godzin po umyciu zębów, bakterie zaczynają tworzyć biofilm, który przekształca się w płytkę nazębną. W miarę upływu czasu, jeśli płytka nie zostanie usunięta, staje się ona coraz grubsza i bardziej złożona. W ciągu 2-3 dni następuje proces mineralizacji, w którym sole wapnia i fosforu z śliny zaczynają twardnieć, przekształcając płytkę w kamień nazębny.
Czynniki sprzyjające powstawaniu kamienia nazębnego
Powstawanie kamienia nazębnego jest wynikiem różnych czynników, które mogą przyspieszać ten proces. Niewłaściwa higiena jamy ustnej jest jednym z głównych powodów, dla których na zębach gromadzi się płytka nazębna, która następnie ulega mineralizacji. Regularne szczotkowanie i nitkowanie zębów są kluczowe, aby zapobiec gromadzeniu się resztek jedzenia i bakterii. Dodatkowo, dieta bogata w węglowodany i słodycze również sprzyja powstawaniu kamienia, ponieważ cukry są pożywką dla bakterii, które tworzą płytkę nazębną.
Inne czynniki, takie jak palenie papierosów oraz zagęszczenie śliny, mogą również wpływać na proces tworzenia się kamienia nazębnego. Palenie nie tylko osłabia zdrowie jamy ustnej, ale także sprzyja tworzeniu się osadów na zębach. Z kolei zagęszczenie śliny, które może być spowodowane odwodnieniem, wpływa na zdolność organizmu do neutralizowania kwasów i usuwania resztek pokarmowych. Warto zwrócić uwagę na te czynniki, aby skutecznie zmniejszyć ryzyko powstawania kamienia nazębnego.
- Produkty bogate w cukry: Słodycze, napoje gazowane i ciasta.
- Węglowodany: Biały chleb, makarony i inne przetworzone produkty zbożowe.
- Kwaśne napoje: Soki cytrusowe i napoje energetyczne, które mogą osłabiać szkliwo zębów.

Jakie są skutki nagromadzenia kamienia na zębach?
Nagromadzenie kamienia nazębnego może prowadzić do poważnych problemów zdrowotnych oraz estetycznych. Główne zagrożenia związane z kamieniem to choroby dziąseł i próchnica zębów. Kamień nazębny tworzy twardą warstwę, która utrudnia prawidłowe szczotkowanie zębów, co sprzyja rozwojowi bakterii. Te bakterie mogą prowadzić do zapalenia dziąseł, które objawia się ich zaczerwienieniem, obrzękiem oraz krwawieniem. Jeśli nie zostanie to w porę leczone, może dojść do poważniejszych schorzeń, takich jak parodontoza, która zagraża utracie zębów.
Oprócz problemów zdrowotnych, kamień nazębny ma również negatywny wpływ na estetykę uśmiechu. Zęby pokryte kamieniem mogą wyglądać niezdrowo i nieestetycznie, co wpływa na pewność siebie osoby. Osoby z nagromadzonym kamieniem często doświadczają problemów z odczuwaniem bólu podczas jedzenia oraz wystąpieniem nieprzyjemnego zapachu z ust. Dlatego tak ważne jest, aby regularnie dbać o higienę jamy ustnej i usuwać kamień nazębny, aby uniknąć tych nieprzyjemnych skutków.
Problemy zdrowotne związane z kamieniem nazębnym
Kamień nazębny jest główną przyczyną wielu problemów zdrowotnych w jamie ustnej. W pierwszej kolejności, może prowadzić do zapalenia dziąseł, które jest stanem zapalnym tkanek otaczających zęby. Objawy obejmują ból, obrzęk i krwawienie podczas szczotkowania. Jeśli zapalenie nie zostanie wyleczone, może przerodzić się w poważniejsze schorzenie, takie jak parodontoza, która może prowadzić do utraty zębów. Dodatkowo, kamień nazębny sprzyja powstawaniu próchnicy, ponieważ bakterie w płytce nazębnej produkują kwasy, które niszczą szkliwo zębów. To wszystko sprawia, że regularne usuwanie kamienia nazębnego jest kluczowe dla zachowania zdrowia jamy ustnej.
Estetyka uśmiechu a obecność kamienia na zębach
Obecność kamienia nazębnego ma znaczący wpływ na estetykę uśmiechu. Zęby pokryte kamieniem wyglądają na żółte lub brązowe, co może negatywnie wpływać na pewność siebie osoby. Kamień nazębny tworzy nieestetyczne osady, które są trudne do usunięcia domowymi metodami. Osoby z nagromadzonym kamieniem często czują się niekomfortowo przy uśmiechu, co może prowadzić do unikania sytuacji społecznych. Dlatego tak ważne jest, aby dbać o higienę jamy ustnej, aby uniknąć problemów estetycznych związanych z kamieniem.
| Typ zębów | Wygląd zębów czystych | Wygląd zębów z kamieniem |
|---|---|---|
| Zęby przednie | Śnieżnobiały kolor, gładka powierzchnia | Żółtawe lub brązowe plamy, nierówności |
| Zęby tylne | Gładkie, czyste | Widoczne osady, matowy wygląd |
| Zęby trzonowe | Zdrowe, błyszczące | Przebarwienia, osady, trudności w czyszczeniu |
Najlepsze praktyki higieny jamy ustnej dla zdrowych zębów
Aby zapobiec powstawaniu kamienia nazębnego, kluczowe jest stosowanie odpowiednich praktyk higieny jamy ustnej. Regularne szczotkowanie zębów co najmniej dwa razy dziennie przez co najmniej dwie minuty jest niezbędne do usunięcia płytki nazębnej. Ważne jest, aby używać pasty z fluorem, która wzmacnia szkliwo i wspiera zdrowie zębów. Dodatkowo, nitkowanie zębów powinno być integralną częścią codziennej rutyny, ponieważ pozwala na usunięcie resztek jedzenia i bakterii z trudno dostępnych miejsc, takich jak przestrzenie międzyzębowe. Regularne wizyty u dentysty na profesjonalne czyszczenie zębów również pomagają w eliminacji kamienia nazębnego oraz monitorowaniu stanu zdrowia jamy ustnej.Znaczenie diety w prewencji kamienia nazębnego
Dieta odgrywa kluczową rolę w zapobieganiu powstawaniu kamienia nazębnego. Spożywanie pokarmów bogatych w witaminę C i wapń wspiera zdrowie dziąseł i zębów. Należy unikać nadmiernego spożycia cukrów i węglowodanów, które sprzyjają rozwojowi bakterii odpowiedzialnych za tworzenie płytki nazębnej. Warto wprowadzić do diety produkty, które pomagają w oczyszczaniu zębów, takie jak chrupiące owoce i warzywa. Oto kilka przykładów żywności, która wspiera zdrowie jamy ustnej oraz tych, których należy unikać:- Pokarmy wspierające zdrowie zębów: marchew, jabłka, seler, ogórki.
- Pokarmy do unikania: słodycze, napoje gazowane, białe pieczywo, ciasta.
- Inne zdrowe opcje: nabiał, orzechy, zielone warzywa liściaste.
Czytaj więcej: Czy szczoteczka soniczna wybiela zęby? Odkryj prawdę o jej skuteczności
Innowacyjne metody i technologie w walce z kamieniem nazębnym
W dobie nowoczesnych technologii pojawiają się innowacyjne metody, które mogą znacząco wspierać walkę z kamieniem nazębnym. Jednym z takich rozwiązań są ultradźwiękowe szczoteczki do zębów, które wykorzystują fale dźwiękowe do skuteczniejszego usuwania płytki nazębnej. Dzięki tej technologii można dotrzeć do miejsc, które są trudne do czyszczenia tradycyjnymi metodami, co pozwala na lepsze utrzymanie higieny jamy ustnej. Dodatkowo, smartfony i aplikacje mobilne oferują możliwość monitorowania nawyków higienicznych, przypominając użytkownikom o regularnym szczotkowaniu i nitkowaniu, co może zwiększyć efektywność ich codziennej rutyny.
Warto również zwrócić uwagę na naturalne środki do pielęgnacji jamy ustnej, takie jak olej kokosowy, który dzięki swoim właściwościom antybakteryjnym może wspierać walkę z płytką nazębną. Metoda oil pulling, czyli płukanie ust olejem, zyskuje na popularności jako sposób na poprawę zdrowia jamy ustnej i redukcję kamienia nazębnego. Te nowoczesne podejścia mogą stanowić doskonałe uzupełnienie tradycyjnych praktyk higienicznych, co przyczyni się do lepszego zdrowia zębów i dziąseł w dłuższej perspektywie.






