Jak wyglądają zdjęcia raka dziąseł? Objawy, które mogą zaniepokoić
Zobacz, jak wyglądają zdjęcia raka dziąseł i poznaj objawy, które mogą zaniepokoić. Dowiedz się, na co zwracać uwagę w zdrowiu jamy ustnej.
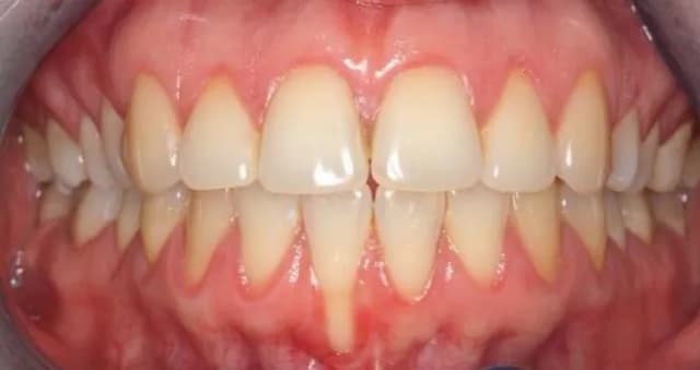
Zobacz, jak wyglądają zdjęcia raka dziąseł i poznaj objawy, które mogą zaniepokoić. Dowiedz się, na co zwracać uwagę w zdrowiu jamy ustnej.
Licówki na zęby co to jest? Dowiedz się, jak mogą poprawić estetykę Twojego uśmiechu i zwiększyć pewność siebie dzięki nowoczesnym rozwiązaniom.
Płukanie jamy ustnej sodą oczyszczoną przynosi wiele korzyści, takich jak redukcja bakterii, poprawa świeżości oddechu i łagodzenie stanów zapalnych.
Skuteczne metody na ból dziąsła po wyrwaniu zęba. Poznaj objawy, które mogą wskazywać na powikłania oraz sprawdź, jak dbać o jamę ustną po zabiegu.
Dowiedz się, co oznacza suchość w jamie ustnej, jej objawy oraz skuteczne metody leczenia, które mogą poprawić Twoje samopoczucie.
Wybór szczoteczki do zębów elektrycznej czy sonicznej ma kluczowe znaczenie dla zdrowia jamy ustnej. Sprawdź, która z nich jest lepsza dla Ciebie!
Czy węgiel aktywny wybiela zęby? Dowiedz się, jakie efekty możesz osiągnąć oraz jakie ryzyka wiążą się z jego stosowaniem. Sprawdź, co mówią dentyści!
Poznaj kluczowe objawy nowotworu jamy ustnej, aby szybko reagować i uniknąć zagrożenia. Sprawdź, na co zwrócić uwagę i jak dbać o zdrowie.
Czy chirurgiczne usuwanie zęba boli? Dowiedz się, jakie odczucia towarzyszą zabiegowi i jak przygotować się na ewentualny ból po usunięciu zęba.
Skuteczne metody na ból dziąsła, które przynoszą ulgę. Dowiedz się, co jest dobre na ból dziąsła i jak zadbać o zdrowie jamy ustnej.
Ile trwa piaskowanie zębów? Dowiedz się, jak długo trwa ten zabieg oraz co wpływa na czas jego trwania i efekty.
Dowiedz się, jak przebić ropień na dziąśle bez ryzyka poważnych komplikacji. Poznaj skuteczne metody i kiedy konieczna jest wizyta u dentysty.
Dowiedz się, jak wygląda ropa na dziąśle, jakie są jej objawy i przyczyny oraz jakie skuteczne metody leczenia mogą pomóc w rozwiązaniu tego problemu.
Znajdź skuteczne metody na podrażnione dziąsła. Dowiedz się, co na podrażnione dziąsła pomoże złagodzić ból i przyspieszyć gojenie.
Poznaj skuteczne metody na wzmocnienie dziąseł. Dowiedz się, jak poprawić ich zdrowie dzięki odpowiedniej pielęgnacji i suplementacji.
Wybierz odpowiedni płyn do płukania jamy ustnej, aby wspierać zdrowie dziąseł i zębów. Sprawdź, jaki płyn do płukania jamy ustnej będzie najlepszy dla Ciebie!
Dowiedz się, dlaczego boli dziąsło po wyrwaniu zęba, jakie objawy są normalne oraz kiedy warto skonsultować się z dentystą. Zadbaj o swoje zdrowie!
Poznaj, co jest w jamie ustnej oraz kluczowe elementy i ich funkcje. Dowiedz się, jak zęby, język i gruczoły ślinowe wpływają na zdrowie.
Dowiedz się, jak płukać jamę ustną wodą utlenioną, aby uniknąć podrażnień. Odkryj skuteczne metody i proporcje dla zdrowej jamy ustnej.
Sprawdź, czy szczoteczka soniczna jest lepsza od elektrycznej. Porównaj ich skuteczność, komfort użytkowania i wybierz idealną dla siebie!
Poznaj objawy przewiania dziąseł i twarzy oraz skuteczne metody ich rozpoznawania i leczenia, aby szybko odzyskać komfort i zdrowie.
Naucz dzieci, jak dbać o zęby dzięki prostym i angażującym metodom. Sprawdź naszą prezentację o zdrowych zębach i stwórz radosne nawyki!
Dowiedz się, jak zatruć nerw w zębie, jakie niesie to niebezpieczeństwa oraz jakie są bezpieczniejsze alternatywy leczenia. Zadbaj o swoje zdrowie jamy ustnej!
Skuteczne metody na ból i krwawienie dziąseł w ciąży. Poznaj bezpieczne sposoby na ulgę i dbaj o zdrowie swoje oraz dziecka.
Poznaj skuteczne metody na spuchnięte dziąsła. Dowiedz się, co jest dobre na spuchnięte dziąsło i jak szybko uzyskać ulgę w dolegliwościach.
Poznaj objawy czerniaka jamy ustnej, aby szybko je rozpoznać i uniknąć powikłań. Dowiedz się, na co zwracać uwagę w swoim zdrowiu.
Poznaj kluczowe objawy ropowicy dna jamy ustnej, które mogą zagrażać życiu. Dowiedz się, jak je rozpoznać i kiedy szukać pomocy medycznej.