Ile kanałów ma ząb 6 i jak to wpływa na leczenie kanałowe?
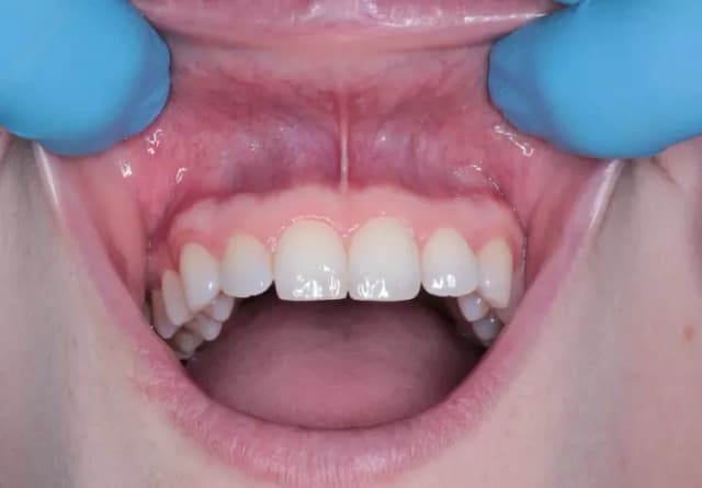
Ile kanałów ma ząb 6? Dowiedz się, jak liczba kanałów wpływa na leczenie kanałowe i co warto wiedzieć przed zabiegiem.
Ile kanałów ma ząb 6? Dowiedz się, jak liczba kanałów wpływa na leczenie kanałowe i co warto wiedzieć przed zabiegiem.
Dowiedz się, czym smarować dziąsło po wyrwaniu zęba, aby złagodzić ból i wspomóc gojenie. Poznaj skuteczne preparaty i naturalne metody.
Dowiedz się, jak długo nie jeść po wyrwaniu zęba, aby uniknąć powikłań. Poznaj zalecenia dotyczące gojenia i dbania o jamę ustną po zabiegu.
Wybierz najlepszą szczoteczkę do zębów! Porównaj szczoteczkę Oral-B i soniczną, aby dowiedzieć się, która lepiej zadba o Twoje zęby.
Poznaj objawy nadwrażliwości zębów, które mogą zaskoczyć. Dowiedz się, jakie czynniki wywołują ból i jak sobie z nim radzić.
Czy szczoteczka soniczna niszczy szkliwo? Dowiedz się, jak prawidłowe użytkowanie może chronić Twoje zęby i wspierać ich zdrowie.
Czy na ból zęba można dostać zwolnienie? Dowiedz się, jakie warunki muszą być spełnione, aby uzyskać L4 i jakie zabiegi mogą to umożliwić.
Skutecznie leczyć chore dziąsła jak leczyć? Poznaj sprawdzone metody, które pomogą Ci uniknąć bólu i problemów z dziąsłami.
Dowiedz się, w jakim wieku rośnie ząb mądrości i jakie czynniki wpływają na jego rozwój. Poznaj zaskakujące fakty o ósemkach!
Dowiedz się, czego nie jeść przy grzybicy jamy ustnej, aby uniknąć bólu i dyskomfortu. Ogranicz cukry, węglowodany rafinowane i alkohol w diecie.
Dowiedz się, czym płukać dziąsła w ciąży, aby uniknąć bólu i problemów. Odkryj bezpieczne płyny i ziołowe płukanki dla zdrowia jamy ustnej.
Skuteczne metody leczenia krwiaka w jamie ustnej jak leczyć? Sprawdź domowe sposoby i kiedy warto skonsultować się z lekarzem.
Ile goi się rana w jamie ustnej? Dowiedz się, kiedy warto udać się do dentysty oraz jakie objawy mogą wskazywać na powikłania.
Sprawdź, czy płyn do płukania jamy ustnej jest szkodliwy dla zdrowia. Dowiedz się, jakie składniki mogą wpływać na Twoje samopoczucie i higienę jamy ustnej.
Poznaj najczęstsze przyczyny suchości w jamie ustnej, jej objawy oraz skutki. Dowiedz się, jak radzić sobie z tym uciążliwym problemem.
Skuteczne metody leczenia ospy w jamie ustnej i łagodzenia bólu. Dowiedz się, jak radzić sobie z objawami i wspierać proces zdrowienia.
Dowiedz się, jak długo boli dziąsło po usunięciu zęba. Poznaj czynniki wpływające na ból oraz skuteczne metody łagodzenia dolegliwości.
Szukasz skutecznej pasty na krwawiące dziąsła? Sprawdź nasze rekomendacje i dowiedz się, jak poprawić zdrowie swoich dziąseł!
Dowiedz się, dlaczego krwawią dziąsła i jakie są najczęstsze przyczyny tego problemu. Odkryj skuteczne rozwiązania, by zadbać o zdrowie jamy ustnej.
Poznaj skuteczne metody na wybielenie zębów w domu. Dowiedz się, co na wybielenie zębów wybrać, aby uniknąć problemów i cieszyć się pięknym uśmiechem.
Poznaj skuteczne metody, jak wykonać pędzlowanie jamy ustnej u dziecka z pleśniawkami, aby zapewnić mu ulgę i szybkie wyleczenie.
Zrozumienie, co oznacza sen o zębach, pomoże Ci odkryć swoje lęki i pragnienia. Dowiedz się, jakie emocje kryją się za tymi snami.
Czy ściąganie szwów z dziąsła boli? Dowiedz się, jakie odczucia towarzyszą temu zabiegowi i jak się przygotować na ewentualny dyskomfort.
Skuteczne metody na uśmierzenie bólu przy rosnącym zębie mądrości. Poznaj sprawdzone sposoby, które przyniosą ulgę i poprawią komfort życia.
Poznaj skuteczne rozwiązania na ból i dowiedz się, jaki antybiotyk na zapalenie dziąseł pomoże w walce z infekcją i przyspieszy leczenie.
Skuteczne metody na ból zęba, które przynoszą szybką ulgę. Dowiedz się, co najlepiej na ból zęba i jak radzić sobie z dolegliwościami.
Dowiedz się, jak wyrwać korzeń zęba w domu bez ryzyka powikłań zdrowotnych. Poznaj bezpieczne metody i alternatywy, które pomogą w leczeniu.