Zakażenie wirusem brodawczaka ludzkiego (HPV) w jamie ustnej to temat, który może budzić wiele obaw. Objawy tej infekcji mogą przybierać różne formy, a niektóre z nich są widoczne gołym okiem. Wśród najczęstszych objawów znajdują się brodawki, kłykciny oraz kurzajki, które mogą pojawiać się na języku, wargach czy wewnętrznej stronie policzków. Warto zwrócić uwagę na te zmiany, ponieważ mogą one prowadzić do dyskomfortu, a w niektórych przypadkach także do poważniejszych problemów zdrowotnych.
W artykule omówimy, jak rozpoznać objawy HPV w jamie ustnej, co oznaczają oraz kiedy należy zgłosić się do lekarza. Przedstawimy również informacje na temat asymptomatycznych zakażeń oraz potencjalnych powikłań, które mogą wystąpić w wyniku infekcji. Dzięki temu będziesz mógł lepiej zrozumieć, jak dbać o zdrowie swojej jamy ustnej i kiedy szukać pomocy medycznej.
Kluczowe wnioski:
- Najczęstsze objawy HPV w jamie ustnej to brodawki, kłykciny i kurzajki.
- Objawy te mogą powodować dyskomfort, ból oraz trudności w połykaniu.
- Niektóre osoby mogą być nosicielami wirusa bez widocznych objawów.
- W przypadku zauważenia niepokojących zmian w jamie ustnej, należy jak najszybciej skonsultować się z lekarzem.
- HPV może prowadzić do poważnych powikłań, w tym zmian przedrakowych.
- Profilaktyka i odpowiednie leczenie mogą znacząco zmniejszyć ryzyko zakażenia HPV oraz jego skutków.
Objawy HPV w jamie ustnej - jak je rozpoznać i co oznaczają
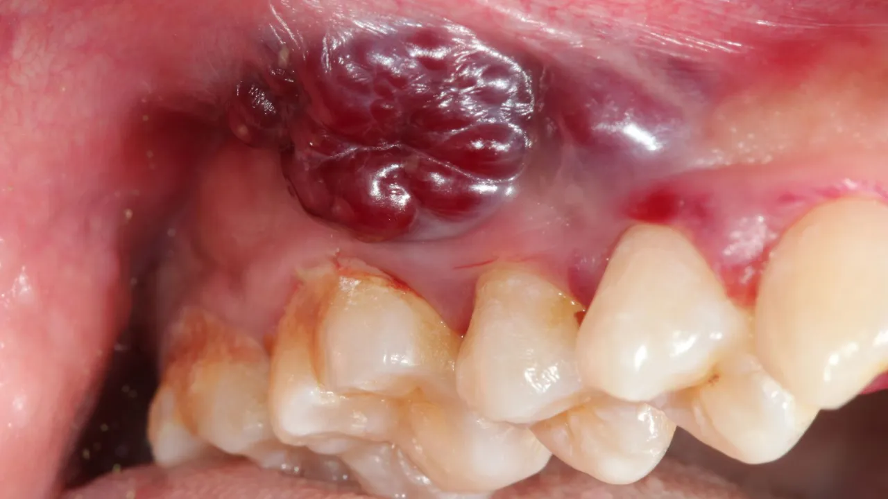
Zakażenie wirusem brodawczaka ludzkiego (HPV) w jamie ustnej może manifestować się w postaci różnych zmian, które są często widoczne gołym okiem. Najczęstsze objawy to brodawki, kłykciny oraz kurzajki, które mogą pojawiać się jako niewielkie, brodawkowate wypukłości. Zmiany te występują na języku, wewnętrznej stronie policzków, dziąsłach lub wargach. Ich kolor może być różowy, czerwonawy, a czasami nawet blady lub białawe.
Te objawy mogą przybierać formę małych, mięsistych guzków o nierównej powierzchni, przypominającej kalafior. U dorosłych, w zależności od wielkości zmian, mogą występować dodatkowe objawy, takie jak ból lub dyskomfort podczas jedzenia i mówienia. Warto zwrócić uwagę na te zmiany, ponieważ mogą one prowadzić do poważniejszych problemów zdrowotnych, szczególnie u osób z obniżoną odpornością.
Brodawki i kłykciny - jak wyglądają i gdzie się pojawiają
Brodawki i kłykciny to jedne z najczęstszych objawów zakażenia HPV w jamie ustnej. Brodawki mogą mieć różne kształty i rozmiary, ale zazwyczaj są małe, mięsiste i mają nierówną powierzchnię. Mogą być zlokalizowane na języku, wargach, dziąsłach oraz wewnętrznej stronie policzków. Z kolei kłykciny to zmiany, które często przypominają kalafior i mogą występować w grupach, co sprawia, że są bardziej widoczne.
- Brodawki pojawiają się najczęściej na języku i wargach.
- Kłykciny mogą być zgrupowane, tworząc większe zmiany.
- Kolor zmian może się różnić, w zależności od osoby.
Dyskomfort i ból - kiedy objawy stają się niepokojące
Objawy zakażenia HPV w jamie ustnej mogą prowadzić do różnych rodzajów dyskomfortu i bólu. W przypadku brodawek i kłykcin, pacjenci mogą odczuwać ból podczas jedzenia, mówienia, a nawet podczas codziennych czynności, takich jak szczotkowanie zębów. W miarę jak zmiany rosną, dyskomfort może się nasilać, co może być sygnałem, że należy skonsultować się z lekarzem. Warto zwrócić uwagę na intensywność bólu oraz towarzyszące objawy, które mogą wskazywać na poważniejsze problemy zdrowotne.
Jeśli ból staje się przewlekły lub towarzyszy mu trudność w połykaniu czy zmiany w głosie, to są to wyraźne sygnały alarmowe. W takich przypadkach warto jak najszybciej zgłosić się do specjalisty, aby wykluczyć inne, poważniejsze schorzenia, takie jak nowotwory. Warto pamiętać, że wczesna diagnoza i interwencja mogą znacząco wpłynąć na dalszy przebieg leczenia.Czytaj więcej: Szczoteczka soniczna Braun czy Philips - która jest lepsza dla Ciebie?
Asymptomatyczne zakażenie HPV - co to oznacza dla zdrowia
Asymptomatyczne zakażenie HPV oznacza, że niektóre osoby mogą być nosicielami wirusa, nie wykazując przy tym żadnych widocznych objawów. Tego rodzaju infekcje mogą być szczególnie niebezpieczne, ponieważ osoby z silnym układem odpornościowym mogą naturalnie eliminować wirusa, nie zdając sobie sprawy z jego obecności. Jednak u osób z obniżoną odpornością wirus może pozostać w organizmie przez dłuższy czas, co zwiększa ryzyko rozwoju poważniejszych problemów zdrowotnych.
Warto zwrócić uwagę, że asymptomatyczne zakażenia mogą prowadzić do przedrakowych zmian, które są trudne do wykrycia bez odpowiednich badań. Dlatego regularne kontrole u lekarza są kluczowe dla wczesnego wykrywania ewentualnych problemów zdrowotnych związanych z HPV.
Dlaczego niektóre osoby nie mają objawów HPV
Brak objawów zakażenia HPV może być spowodowany różnymi czynnikami, w tym genetycznymi oraz związanymi z układem odpornościowym. Osoby z silnym układem odpornościowym mają większe szanse na naturalne zwalczenie wirusa, co sprawia, że nie doświadczają one żadnych widocznych symptomów. Z kolei osoby z osłabionym układem odpornościowym mogą być bardziej narażone na rozwój objawów oraz powikłań.
Inne czynniki, które mogą wpływać na brak objawów, to styl życia, dieta oraz ogólny stan zdrowia. Zrozumienie tych aspektów jest istotne, aby móc lepiej zarządzać swoim zdrowiem i regularnie monitorować ewentualne zmiany, które mogą wystąpić w przyszłości.
Rola układu odpornościowego w eliminacji wirusa
Układ odpornościowy odgrywa kluczową rolę w walce z zakażeniem wirusem brodawczaka ludzkiego (HPV). Gdy wirus dostaje się do organizmu, układ odpornościowy mobilizuje swoje siły, aby zidentyfikować i zniszczyć zakażone komórki. Wiele osób z silnym układem odpornościowym jest w stanie samodzielnie eliminować wirusa, co prowadzi do ustąpienia objawów i braku dalszych powikłań. Mechanizmy obronne, takie jak produkcja przeciwciał oraz aktywacja komórek T, są kluczowe w tej walce.
Jednak nie każdy ma taką samą zdolność do eliminacji HPV. U osób z osłabionym układem odpornościowym, na przykład z powodu chorób autoimmunologicznych lub terapii immunosupresyjnej, wirus może pozostawać w organizmie przez dłuższy czas, co zwiększa ryzyko rozwoju poważniejszych problemów zdrowotnych. Dlatego zrozumienie roli układu odpornościowego w eliminacji wirusa jest kluczowe dla monitorowania i zarządzania zdrowiem w kontekście zakażenia HPV.Kiedy należy zgłosić się do lekarza - sygnały alarmowe
W przypadku zakażenia HPV w jamie ustnej, istnieje kilka sygnałów alarmowych, które powinny skłonić do wizyty u lekarza. Jeśli doświadczasz trwałego bólu w jamie ustnej, trudności w połykaniu lub zmiany w głosie, to są to objawy, które wymagają natychmiastowej uwagi medycznej. Ponadto, jeśli zauważysz, że zmiany w jamie ustnej nie ustępują po kilku tygodniach lub się powiększają, niezwłocznie skonsultuj się z lekarzem. Wczesna diagnoza może pomóc w uniknięciu poważniejszych komplikacji zdrowotnych.
Innym istotnym sygnałem alarmowym jest utrata masy ciała bez wyraźnej przyczyny lub zauważalne zmiany w wyglądzie zmian w jamie ustnej. Takie objawy mogą wskazywać na bardziej poważne schorzenia, takie jak rak jamy ustnej. Warto pamiętać, że niektóre objawy HPV mogą być podobne do objawów innych chorób, dlatego ważne jest, aby nie ignorować żadnych niepokojących symptomów i skonsultować się z lekarzem w celu dalszej diagnostyki.
| Objawy HPV | Objawy raka jamy ustnej |
|---|---|
| Brodawki i kłykciny | Trwałe zmiany w jamie ustnej |
| Dyskomfort podczas jedzenia | Trudności w połykaniu |
| Zmiany w głosie | Utrata masy ciała |
Jak odróżnić objawy HPV od objawów raka jamy ustnej
Rozróżnienie między objawami HPV a objawami raka jamy ustnej jest kluczowe dla prawidłowej diagnozy i leczenia. Objawy HPV, takie jak brodawki i kłykciny, zazwyczaj mają charakterystyczny wygląd i są zlokalizowane w określonych miejscach jamy ustnej. Z kolei objawy raka jamy ustnej mogą obejmować trwałe zmiany w tkankach, które nie ustępują, oraz objawy ogólne, takie jak utrata masy ciała czy chroniczny ból, które nie są typowe dla zakażenia HPV. W przypadku jakichkolwiek wątpliwości, zawsze warto skonsultować się z lekarzem, aby uzyskać dokładną diagnozę.
Co zrobić, gdy wystąpią niepokojące zmiany w jamie ustnej
Jeśli zauważysz niepokojące zmiany w jamie ustnej, pierwszym krokiem powinno być dokładne ich zbadanie. Zwróć uwagę na wszelkie zmiany w kolorze, kształcie lub teksturze, które mogą być nietypowe. Następnie, niezwłocznie umów się na wizytę u lekarza lub dentysty, aby uzyskać profesjonalną ocenę. Warto również prowadzić dziennik objawów, aby móc dokładnie opisać lekarzowi, co zauważyłeś i od kiedy. Pamiętaj, że wczesna interwencja jest kluczowa dla skutecznego leczenia.
Potencjalne powikłania - co może się zdarzyć przy HPV
Infekcja HPV w jamie ustnej może prowadzić do różnych powikłań, które są istotne dla zdrowia. U niektórych osób zmiany spowodowane wirusem mogą przekształcić się w zmiany przedrakowe, co zwiększa ryzyko rozwoju raka jamy ustnej. Takie zmiany mogą być trudne do wykrycia w początkowych stadiach, dlatego regularne kontrole u lekarza są niezwykle ważne. Osoby z obniżoną odpornością są bardziej narażone na rozwój powikłań, ponieważ ich organizm może mieć trudności z eliminowaniem wirusa.
Innym poważnym powikłaniem jest ryzyko rozwoju nowotworów gardła. Zakażenie HPV może prowadzić do zmian w komórkach, które w dłuższym czasie mogą stać się złośliwe. Dlatego istotne jest, aby być świadomym potencjalnych zagrożeń związanych z zakażeniem wirusem i regularnie konsultować się z lekarzem w celu monitorowania stanu zdrowia.
Zmiany przedrakowe - na co zwrócić uwagę
Zmiany przedrakowe związane z HPV mogą przybierać różne formy, ale zazwyczaj są to zmiany o nieregularnej powierzchni, które mogą być różowe lub białawe. Mogą one występować jako małe grudki lub brodawki, które nie ustępują z czasem. Ważne jest, aby zwracać uwagę na wszelkie zmiany, które są trwałe lub rosnące. Wczesne wykrycie takich zmian jest kluczowe dla skutecznego leczenia i zmniejszenia ryzyka rozwoju nowotworu. Regularne wizyty u lekarza oraz samobadanie jamy ustnej mogą pomóc w identyfikacji tych niepokojących zmian.
Jak HPV wpływa na zdrowie gardła i strun głosowych
Infekcja wirusem brodawczaka ludzkiego (HPV) może mieć znaczący wpływ na zdrowie gardła oraz strun głosowych. W przypadku zakażenia HPV w gardle, mogą wystąpić zmiany, które prowadzą do chrypki oraz problemów z mówieniem. Zmiany te mogą być wynikiem rozwoju brodawek lub kłykcin na strunach głosowych, co może powodować dyskomfort i trudności w komunikacji. W skrajnych przypadkach, infekcja HPV może prowadzić do poważniejszych schorzeń, takich jak nowotwory gardła, co podkreśla znaczenie monitorowania zdrowia gardła u osób z zakażeniem HPV.
Profilaktyka i leczenie - jak dbać o zdrowie jamy ustnej
Aby skutecznie dbać o zdrowie jamy ustnej i zmniejszyć ryzyko zakażenia HPV, warto zastosować kilka prostych, ale skutecznych strategii. Regularne wizyty u dentysty oraz dbanie o higienę jamy ustnej to kluczowe elementy profilaktyki. Używanie nici dentystycznej oraz płynów do płukania ust może pomóc w zapobieganiu infekcjom. Ponadto, unikanie palenia tytoniu i nadmiernego spożycia alkoholu również przyczynia się do zdrowia jamy ustnej.W przypadku wystąpienia objawów HPV, takich jak brodawki czy kłykciny, ważne jest, aby skonsultować się z lekarzem w celu ustalenia odpowiedniego planu leczenia. Dostępne metody leczenia obejmują usuwanie zmian chirurgicznie, krioterapię lub stosowanie leków przeciwwirusowych. Wczesna interwencja może znacząco wpłynąć na dalszy przebieg zakażenia i zapobiec poważniejszym powikłaniom.
- Regularne wizyty u dentysty co najmniej dwa razy w roku.
- Używanie nici dentystycznej i płynów do płukania ust.
- Unikanie palenia tytoniu i nadmiernego spożycia alkoholu.
Sposoby na zmniejszenie ryzyka zakażenia HPV
Aby zmniejszyć ryzyko zakażenia HPV, kluczowe są działania profilaktyczne. Szczepienie przeciwko HPV jest jednym z najskuteczniejszych sposobów ochrony przed wirusem. Ponadto, praktykowanie bezpiecznego seksu, w tym stosowanie prezerwatyw, może znacznie zmniejszyć ryzyko zakażenia. Regularne badania oraz edukacja na temat HPV również odgrywają ważną rolę w prewencji.

Leczenie objawów HPV - dostępne metody i terapie
W przypadku wystąpienia objawów HPV w jamie ustnej, dostępne są różne metody leczenia. Zmiany, takie jak brodawki czy kłykciny, mogą być usuwane chirurgicznie, co pozwala na szybkie złagodzenie objawów. Alternatywnie, krioterapia, która polega na zamrażaniu zmian, również jest skuteczną metodą. W niektórych przypadkach lekarz może zalecić stosowanie leków przeciwwirusowych, które pomagają w kontrolowaniu objawów i ograniczają ryzyko nawrotów.
Wykorzystanie technologii w walce z HPV i zdrowiem jamy ustnej
W dzisiejszych czasach technologia odgrywa kluczową rolę w profilaktyce i leczeniu zakażeń wirusem HPV. Innowacyjne aplikacje mobilne mogą pomóc w monitorowaniu zdrowia jamy ustnej, przypominając o regularnych wizytach u dentysty oraz zachęcając do samobadania. Niektóre z tych aplikacji oferują również edukację na temat objawów HPV i metod zapobiegania, co może zwiększyć świadomość użytkowników i skłonić ich do działania w przypadku zauważenia niepokojących zmian.
Dodatkowo, rozwój technologii telemedycyny umożliwia pacjentom szybki dostęp do specjalistów, co jest szczególnie istotne w przypadku wystąpienia objawów zakażenia HPV. Konsultacje online mogą przyspieszyć diagnozę i leczenie, a także zredukować stres związany z wizytą w gabinecie lekarskim. Wykorzystanie nowoczesnych technologii w walce z HPV nie tylko poprawia dostęp do informacji, ale także wspiera pacjentów w dbaniu o zdrowie jamy ustnej w sposób bardziej zorganizowany i świadomy.






